| UNIPROT | P15104 |
| Иммуноген | RPD761Hu01-Recombinant Glutamine synthetase (GS) |
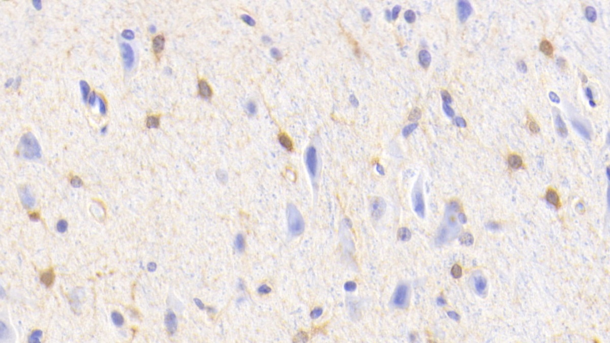
Polyclonal Antibody to Glutamine synthetase (GS) (PAD761Hu01)
Реактивность подтвержденная:
человек
Источник (хозяин):
кролик
Валидировано для:
IHC
WB
Характеристики
Техническое описание
| Русское название | PAD761Hu01 Поликлональное антитело к глутаминсинтетазе (человек) <Cloud-Clone,Китай> |
| Каталожный номер | PAD761Hu01 |
| Название антигена | Glutamine synthetase (GS) |
| UNIPROT | P15104 |
| Иммуноген | RPD761Hu01-Recombinant Glutamine synthetase (GS) |
| Английские синонимы | GLNS, GLUL, Glutamate-Ammonia Ligase, Glutamate decarboxylase |
Реактивность подтвержденная Нужна другая реактивность? |
человек |
| Реактивность предсказываемая | мышь, крыса, свинья |
| Источник (хозяин) | кролик |
| Клональность | поликлональное |
| Рекомбинантное | нет |
| Готовое к использованию | нет |
| Концентрация | 0.2 мг/мл |
| Конъюгат | По запросу: HRP, biotin, PerCP, PE, Cy3, FITC, Cy7, Cy5.5, PE-Cy5, PE-Cy7, PerCp-Cy5.5, APC, Cy5, PE-Cy3, PE-Cy5.5, APC-Cy7, Biotin-APC, FITC-Biotin, TRITC, APC-Cy5, AF488, AF594, AF405, AF555, AF700, AF647, AF750 |
| Валидировано для | IHC WB Иммуногистохимия; Вестерн-блоттинг |
| Рекомендуемые разведения | WB: 0.01-4 мкг/мл; IHC: 5-20 мкг/мл; ICC: 5-20 мкг/мл; Оптимальное разведение определяется конечным потребителем |
| Метод очистки | Антигенспецифическая аффинная хроматография с последующей аффинной хроматографией с белком А |
| Состав буфера | PBS, pH7.4, 0.02% NaN3, 50% глицерин |
| Условия доставки | термобокс с аккумуляторами холода |
| Условия хранения | Сразу после получения аликвотировать и хранить при -20ºС до 24 месяцев. Для частого использования хранить при +4ºС не более 2 недель. Избегать повторения циклов замерзания/оттаивания |
| Срок хранения | 24 месяца |
| Производитель | Cloud-Clone Corp. |
| Ссылка на страницу товара на сайте производителя | http://www.cloud-clone.com/products/PAD761Hu01.html |
|
Артикул
|
Наименование |
Производитель
|
|---|
|
Артикул
|
Наименование |
Производитель
|
|---|
|
Артикул
|
Наименование |
Производитель
|
|---|
|
Артикул
|
Наименование |
Производитель
|
|---|
|
Артикул
|
Наименование |
Производитель
|
|---|
|
Артикул
|
Наименование |
Производитель
|
|---|
Акции и предложения
Популярные продукты:
Mouse Lymphocyte Antigen 96 ELISA kit (E03L0307)
Организм: мышь
Sheep Cytoplasmic protein NCK2(NCK2) ELISA kit (E14C2360)
Организм: овца
Rabbit Cytoplasmic protein NCK2(NCK2) ELISA kit (E04C2360)
Организм: кролик
Mouse Cytoplasmic protein NCK2(NCK2) ELISA kit (E03C2360)
Организм: мышь
Mouse Cytochrome P450 1A1(CYP1A1) ELISA kit (E03C2225)
Организм: мышь
Porcine Carbonic Anhydarse XII (CA12) (E07C0874)
Организм: свинья

