| UNIPROT | P10144 |
| Иммуноген | RPA600Hu01-Recombinant Granzyme B (GZMB) |
Polyclonal Antibody to Granzyme B (GZMB) (PAA600Hu01)
Реактивность подтвержденная:
человек
Источник (хозяин):
кролик
Валидировано для:
IHC
WB
Характеристики
Техническое описание
| Русское название | PAA600Hu01 Поликлональное антитело к GZMB (человек) <Cloud-Clone,Китай> |
| Каталожный номер | PAA600Hu01 |
| Название антигена | Granzyme B (GZMB) |
| UNIPROT | P10144 |
| Иммуноген | RPA600Hu01-Recombinant Granzyme B (GZMB) |
| Английские синонимы | GZM-B, HLP, CTLA1, CCPI, CGL1, CSP-B, CSPB, CTSGL1, SECT, Granzyme 2, Cytotoxic T-Lymphocyte-Associated Serine Esterase 1, Fragmentin 2, Cytotoxic Serine Protease B |
Реактивность подтвержденная Нужна другая реактивность? |
человек |
| Реактивность предсказываемая | мышь, свинья |
| Источник (хозяин) | кролик |
| Клональность | поликлональное |
| Рекомбинантное | нет |
| Готовое к использованию | нет |
| Концентрация | 0.26 мг/мл |
| Конъюгат | По запросу: HRP, biotin, PerCP, PE, Cy3, FITC, Cy7, Cy5.5, PE-Cy5, PE-Cy7, PerCp-Cy5.5, APC, Cy5, PE-Cy3, PE-Cy5.5, APC-Cy7, Biotin-APC, FITC-Biotin, TRITC, APC-Cy5, AF488, AF594, AF405, AF555, AF700, AF647, AF750 |
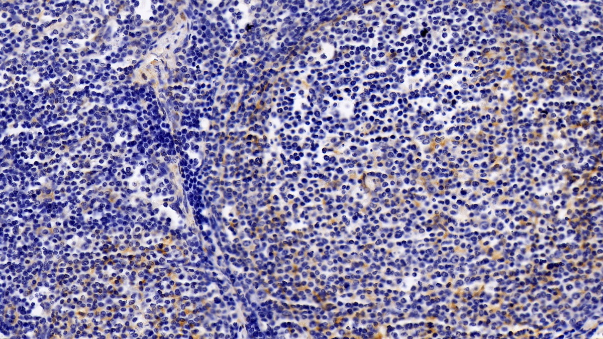
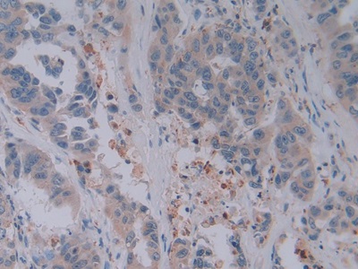
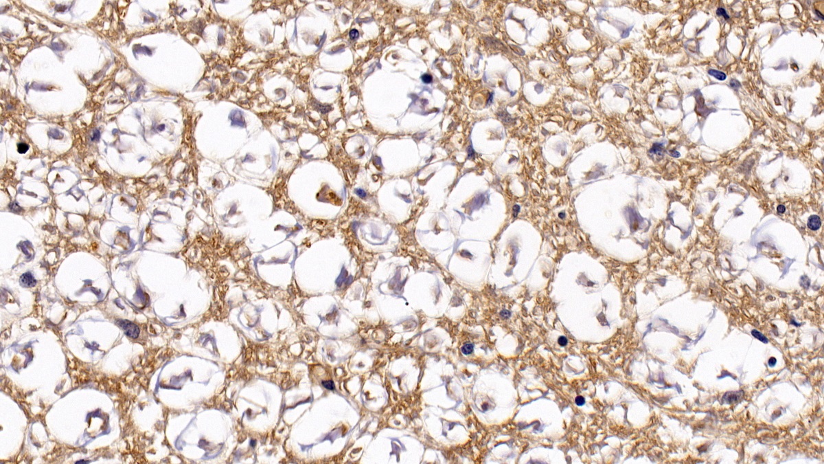
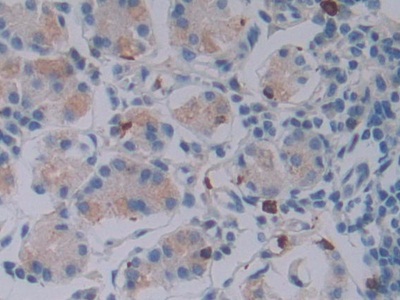
| Валидировано для | IHC WB Иммуногистохимия; Вестерн-блоттинг |
| Рекомендуемые разведения | WB: 0.01-2 мкг/мл; IHC: 5-20 мкг/мл; Оптимальное разведение определяется конечным потребителем |
| Метод очистки | Антигенспецифическая аффинная хроматография с последующей аффинной хроматографией с белком А |
| Состав буфера | PBS, pH7.4, 0.02% NaN3, 50% глицерин |
| Условия доставки | термобокс с аккумуляторами холода |
| Условия хранения | Сразу после получения аликвотировать и хранить при -20ºС до 24 месяцев. Для частого использования хранить при +4ºС не более 2 недель. Избегать повторения циклов замерзания/оттаивания |
| Срок хранения | 24 месяца |
| Производитель | Cloud-Clone Corp. |
| Ссылка на страницу товара на сайте производителя | http://www.cloud-clone.com/products/PAA600Hu01.html |
|
Артикул
|
Наименование |
Производитель
|
|---|
|
Артикул
|
Наименование |
Производитель
|
|---|
|
Артикул
|
Наименование |
Производитель
|
|---|
|
Артикул
|
Наименование |
Производитель
|
|---|
Акции и предложения
Популярные продукты:
Goat Hydroxylysine ELISA kit (E06H0316)
Организм: коза
Mouse Bone Morphogenetic Protein 1 ELISA kit (E03B0393)
Организм: мышь
Диапазон определения: 250-5000 пг/мл
Чувствительность: 1 пг/мл
Диапазон определения: 250-5000 пг/мл
Чувствительность: 1 пг/мл
Monkey Anti mitochondrial antibodies ELISA kit (E09A2090)
Организм: обезьяна
Rabbit Anti Neuronal Nuclear AutoAntibody 2 ELISA kit (E04A0439)
Организм: кролик
Guinea Pig Interleukin 4 ELISA kit (E05I0007)
Организм: морская свинка
Диапазон определения: 50-1000 пг/мл
Чувствительность: 1 пг/мл
Диапазон определения: 50-1000 пг/мл
Чувствительность: 1 пг/мл

