| UNIPROT | Q9ERD9 |
| Иммуноген | RPB547Ra02-Recombinant Indoleamine-2,3-Dioxygenase (IDO) |
Polyclonal Antibody to Indoleamine-2,3-Dioxygenase (IDO) (PAB547Ra02)
Реактивность подтвержденная:
крыса
Источник (хозяин):
кролик
Валидировано для:
IHC
WB
Характеристики
Техническое описание
| Русское название | PAB547Ra02 Поликлональное антитело к IDO (крыса) <Cloud-Clone,Китай> |
| Каталожный номер | PAB547Ra02 |
| Название антигена | Indoleamine-2,3-Dioxygenase (IDO) |
| UNIPROT | Q9ERD9 |
| Иммуноген | RPB547Ra02-Recombinant Indoleamine-2,3-Dioxygenase (IDO) |
| Английские синонимы | CD107B, CD 107B, CD-107B, INDO, Indoleamine-Pyrrole 2,3 Dioxygenase |
Реактивность подтвержденная Нужна другая реактивность? |
крыса |
| Реактивность предсказываемая | мышь |
| Источник (хозяин) | кролик |
| Клональность | поликлональное |
| Рекомбинантное | нет |
| Готовое к использованию | нет |
| Концентрация | 500 мкг/мл |
| Конъюгат | По запросу: HRP, biotin, PerCP, PE, Cy3, FITC, Cy7, Cy5.5, PE-Cy5, PE-Cy7, PerCp-Cy5.5, APC, Cy5, PE-Cy3, PE-Cy5.5, APC-Cy7, Biotin-APC, FITC-Biotin, TRITC, APC-Cy5, AF488, AF594, AF405, AF555, AF700, AF647, AF750 |
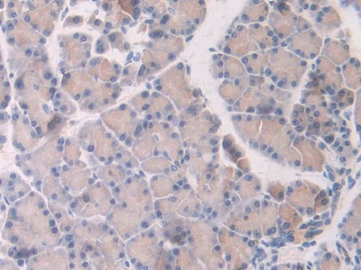
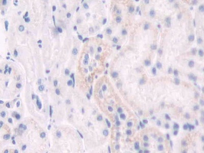
| Валидировано для | IHC WB Иммуногистохимия; Вестерн-блоттинг |
| Рекомендуемые разведения | WB: 0.5-2 мкг/мл; IHC: 5-20 мкг/мл; ICC: 5-20 мкг/мл; Оптимальное разведение определяется конечным потребителем |
| Метод очистки | Антигенспецифическая аффинная хроматография с последующей аффинной хроматографией с белком А |
| Состав буфера | PBS, pH7.4, 0.02% NaN3, 50% глицерин |
| Условия доставки | термобокс с аккумуляторами холода |
| Условия хранения | Сразу после получения аликвотировать и хранить при -20ºС до 24 месяцев. Для частого использования хранить при +4ºС не более 2 недель. Избегать повторения циклов замерзания/оттаивания |
| Срок хранения | 24 месяца |
| Производитель | Cloud-Clone Corp. |
| Ссылка на страницу товара на сайте производителя | http://www.cloud-clone.com/products/PAB547Ra02.html |
|
Артикул
|
Наименование |
Производитель
|
|---|
|
Артикул
|
Наименование |
Производитель
|
|---|
|
Артикул
|
Наименование |
Производитель
|
|---|
|
Артикул
|
Наименование |
Производитель
|
|---|
Акции и предложения
Популярные продукты:
Bovine Iduronate sulfatase ELISA kit (E11I0334)
Организм: корова
Guinea Pig Metaxin 2(MTX2) ELISA kit (E05M0407)
Организм: морская свинка
Goat growth hormone receptor(GHR) ELISA kit (E06G0421)
Организм: коза
Anti-Human GLUT4/SLC2A4 Antibody (SAA1533) (RHD06201)
Источник (хозяин): мышь
Реактивность подтвержденная: человек
Валидировано для: ELISA
Реактивность подтвержденная: человек
Валидировано для: ELISA
Anti-Human ABCA1 Antibody (SAA1535) (RHB67101)
Источник (хозяин): мышь
Реактивность подтвержденная: человек
Валидировано для: ELISA
Реактивность подтвержденная: человек
Валидировано для: ELISA

