| UNIPROT | Q86WN2 |
| Иммуноген | RPD175Hu01-Recombinant Interferon Epsilon (IFNe) |
Polyclonal Antibody to Interferon Epsilon (IFNe) (PAD175Hu01)
Реактивность подтвержденная:
человек
Источник (хозяин):
кролик
Валидировано для:
IHC
Характеристики
Техническое описание
| Русское название | PAD175Hu01 Поликлональное антитело к IFNe (человек) <Cloud-Clone,Китай> |
| Каталожный номер | PAD175Hu01 |
| Название антигена | Interferon Epsilon (IFNe) |
| UNIPROT | Q86WN2 |
| Иммуноген | RPD175Hu01-Recombinant Interferon Epsilon (IFNe) |
| Английские синонимы | IFN-E1 |
Реактивность подтвержденная Нужна другая реактивность? |
человек |
| Реактивность предсказываемая | крыса |
| Источник (хозяин) | кролик |
| Клональность | поликлональное |
| Рекомбинантное | нет |
| Готовое к использованию | нет |
| Концентрация | 0.5 мг/мл |
| Конъюгат | По запросу: HRP, biotin, PerCP, PE, Cy3, FITC, Cy7, Cy5.5, PE-Cy5, PE-Cy7, PerCp-Cy5.5, APC, Cy5, PE-Cy3, PE-Cy5.5, APC-Cy7, Biotin-APC, FITC-Biotin, TRITC, APC-Cy5, AF488, AF594, AF405, AF555, AF700, AF647, AF750 |
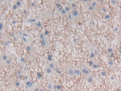
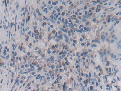
| Валидировано для | IHC Иммуногистохимия |
| Рекомендуемые разведения | WB: 0.01-3 мкг/мл; IHC: 5-30 мкг/мл; ICC: 5-30 мкг/мл; Оптимальное разведение определяется конечным потребителем |
| Метод очистки | Антигенспецифическая аффинная хроматография с последующей аффинной хроматографией с белком А |
| Состав буфера | PBS, pH7.4, 0.02% NaN3, 50% глицерин |
| Условия доставки | термобокс с аккумуляторами холода |
| Условия хранения | Сразу после получения аликвотировать и хранить при -20ºС до 24 месяцев. Для частого использования хранить при +4ºС не более 2 недель. Избегать повторения циклов замерзания/оттаивания |
| Срок хранения | 24 месяца |
| Производитель | Cloud-Clone Corp. |
| Ссылка на страницу товара на сайте производителя | http://www.cloud-clone.com/products/PAD175Hu01.html |
|
Артикул
|
Наименование |
Производитель
|
|---|
|
Артикул
|
Наименование |
Производитель
|
|---|
Акции и предложения
Популярные продукты:
BMP2 Antibody (DF6034)
Источник (хозяин): кролик
Реактивность подтвержденная: человек, мышь, крыса
Валидировано для: IHC, WB
Реактивность подтвержденная: человек, мышь, крыса
Валидировано для: IHC, WB
Anti-CNMD Polyclonal Antibody (PHB32201)
Источник (хозяин): кролик
Реактивность подтвержденная: человек, мышь, крыса
Валидировано для: ELISA, IHC, WB
Реактивность подтвержденная: человек, мышь, крыса
Валидировано для: ELISA, IHC, WB
Anti-IFNE Polyclonal Antibody (PHJ16601)
Источник (хозяин): кролик
Реактивность подтвержденная: человек
Валидировано для: ELISA, IHC, WB
Реактивность подтвержденная: человек
Валидировано для: ELISA, IHC, WB
Anti-Mouse NGF/Beta-NGF Antibody (MEDI578) (RMB91702)
Источник (хозяин): крыса
Реактивность подтвержденная: мышь
Валидировано для: ELISA, FCM, RIA
Реактивность подтвержденная: мышь
Валидировано для: ELISA, FCM, RIA
Recombinant Human IL36A/IL-1F6 Protein, N-His (YHJ75601)
Источник (хозяин): E.coli
Организм: человек
Фрагмент: Met1-Phe158
Теги: N-His
Биоактивность: нет
Организм: человек
Фрагмент: Met1-Phe158
Теги: N-His
Биоактивность: нет
Recombinant Human IFNE Protein, N-His (YHJ16601)
Источник (хозяин): E.coli
Организм: человек
Фрагмент: Gln30-Arg208
Теги: N-His
Биоактивность: нет
Организм: человек
Фрагмент: Gln30-Arg208
Теги: N-His
Биоактивность: нет

