| UNIPROT | Q9UBH0 |
| Иммуноген | RPA566Hu02-Recombinant Interleukin 1 Delta (FIL1d) |
Polyclonal Antibody to Interleukin 1 Delta (FIL1d) (PAA566Hu01)
Реактивность подтвержденная:
человек
Источник (хозяин):
кролик
Валидировано для:
IHC
Характеристики
Техническое описание
| Русское название | PAA566Hu01 Поликлональное антитело к FIL1d (человек) <Cloud-Clone,Китай> |
| Каталожный номер | PAA566Hu01 |
| Название антигена | Interleukin 1 Delta (FIL1d) |
| UNIPROT | Q9UBH0 |
| Иммуноген | RPA566Hu02-Recombinant Interleukin 1 Delta (FIL1d) |
| Английские синонимы | IL1HY1, IL36RN, IL36Ra, IL1RP3, IL1L1, IL1F5, Interleukin 1 Family, Member 5, Interleukin-1 HY1, IL-1 Related Protein 3, Interleukin 36 Receptor Antagonist |
Реактивность подтвержденная Нужна другая реактивность? |
человек |
| Реактивность предсказываемая | мышь, крыса |
| Источник (хозяин) | кролик |
| Клональность | поликлональное |
| Рекомбинантное | нет |
| Готовое к использованию | нет |
| Концентрация | 0.5 мг/мл |
| Конъюгат | По запросу: HRP, biotin, PerCP, PE, Cy3, FITC, Cy7, Cy5.5, PE-Cy5, PE-Cy7, PerCp-Cy5.5, APC, Cy5, PE-Cy3, PE-Cy5.5, APC-Cy7, Biotin-APC, FITC-Biotin, TRITC, APC-Cy5, AF488, AF594, AF405, AF555, AF700, AF647, AF750 |
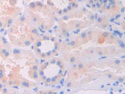
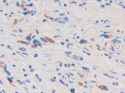
| Валидировано для | IHC Иммуногистохимия |
| Рекомендуемые разведения | WB: 0.5-2 мкг/мл; IHC: 5-20 мкг/мл; ICC: 5-20 мкг/мл; Оптимальное разведение определяется конечным потребителем |
| Метод очистки | Антигенспецифическая аффинная хроматография с последующей аффинной хроматографией с белком А |
| Состав буфера | 0.01M PBS, pH7.4, 0.05% Proclin-300, 50% глицерин |
| Условия доставки | термобокс с аккумуляторами холода |
| Условия хранения | Сразу после получения аликвотировать и хранить при -20ºС до 24 месяцев. Для частого использования хранить при +4ºС не более 2 недель. Избегать повторения циклов замерзания/оттаивания |
| Срок хранения | 24 месяца |
| Производитель | Cloud-Clone Corp. |
| Ссылка на страницу товара на сайте производителя | http://www.cloud-clone.com/products/PAA566Hu01.html |
|
Артикул
|
Наименование |
Производитель
|
|---|
|
Артикул
|
Наименование |
Производитель
|
|---|
|
Артикул
|
Наименование |
Производитель
|
|---|
|
Артикул
|
Наименование |
Производитель
|
|---|
Акции и предложения
Популярные продукты:
Anti-Transforming Growth Factor Beta 1 (TGFb1) Polyclonal Antibody (FAA124Po01)
Источник (хозяин): кролик
Реактивность подтвержденная: свинья
Валидировано для: FCM
Реактивность подтвержденная: свинья
Валидировано для: FCM
ELISA Kit DIY Materials for Myeloid Differentiation Factor 88 (MyD88) (KSB707Hu01)
Организм: человек
Диапазон определения: 15.6-1000 пг/мл
Чувствительность: 6.0 пг/мл
Диапазон определения: 15.6-1000 пг/мл
Чувствительность: 6.0 пг/мл
Polyclonal Antibody to Melanoma Antigen Family A3 (MAGEA3) (PAQ282Hu02)
Источник (хозяин): кролик
Реактивность подтвержденная: человек
Валидировано для: WB
Реактивность подтвержденная: человек
Валидировано для: WB
Rat Zinc finger protein GLI2(GLI2) ELISA kit (E02Z0010)
Организм: крыса

