| UNIPROT | Q62689 |
| Иммуноген | RPF494Ra02-Recombinant Janus Kinase 2 (JAK2) |
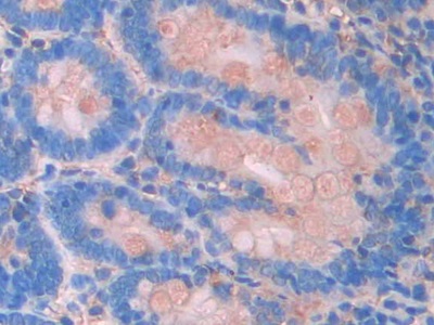
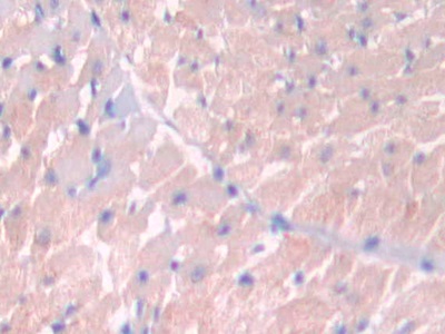
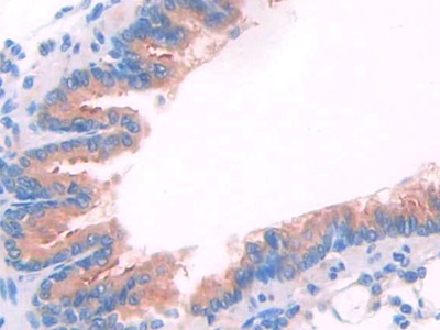
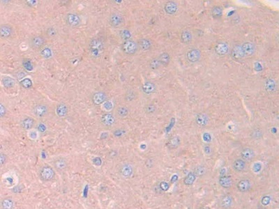
Polyclonal Antibody to Janus Kinase 2 (JAK2) (PAF494Ra02)
Реактивность подтвержденная:
крыса
Источник (хозяин):
кролик
Валидировано для:
ICC
IHC
WB
Характеристики
Техническое описание
| Русское название | PAF494Ra02 Поликлональное антитело к JAK2 (крыса) <Cloud-Clone,Китай> |
| Каталожный номер | PAF494Ra02 |
| Название антигена | Janus Kinase 2 (JAK2) |
| UNIPROT | Q62689 |
| Иммуноген | RPF494Ra02-Recombinant Janus Kinase 2 (JAK2) |
| Английские синонимы | JTK10, Tyrosine-protein kinase JAK2 |
| Русские синонимы | JAK2 |
Реактивность подтвержденная Нужна другая реактивность? |
крыса |
| Источник (хозяин) | кролик |
| Клональность | поликлональное |
| Рекомбинантное | нет |
| Готовое к использованию | нет |
| Концентрация | 0.5 мг/мл |
| Конъюгат | По запросу: HRP, biotin, PerCP, PE, Cy3, FITC, Cy7, Cy5.5, PE-Cy5, PE-Cy7, PerCp-Cy5.5, APC, Cy5, PE-Cy3, PE-Cy5.5, APC-Cy7, Biotin-APC, FITC-Biotin, TRITC, APC-Cy5, AF488, AF594, AF405, AF555, AF700, AF647, AF750 |
| Валидировано для | ICC IHC WB Иммуноцитохимия; Иммуногистохимия; Вестерн-блоттинг |
| Рекомендуемые разведения | WB: 0.5-2 мкг/мл; IHC: 5-20 мкг/мл; ICC: 5-20 мкг/мл; Оптимальное разведение определяется конечным потребителем |
| Метод очистки | Антигенспецифическая аффинная хроматография с последующей аффинной хроматографией с белком А |
| Состав буфера | 0.01M PBS, pH7.4, 0.05% Proclin-300, 50% глицерин |
| Условия доставки | термобокс с аккумуляторами холода |
| Условия хранения | Сразу после получения аликвотировать и хранить при -20ºС до 24 месяцев. Для частого использования хранить при +4ºС не более 2 недель. Избегать повторения циклов замерзания/оттаивания |
| Срок хранения | 24 месяца |
| Производитель | Cloud-Clone Corp. |
| Ссылка на страницу товара на сайте производителя | http://www.cloud-clone.com/products/PAF494Ra02.html |
|
Артикул
|
Наименование |
Производитель
|
|---|
|
Артикул
|
Наименование |
Производитель
|
|---|
|
Артикул
|
Наименование |
Производитель
|
|---|
|
Артикул
|
Наименование |
Производитель
|
|---|
|
Артикул
|
Наименование |
Производитель
|
|---|
|
Артикул
|
Наименование |
Производитель
|
|---|
|
Артикул
|
Наименование |
Производитель
|
|---|
Акции и предложения
Популярные продукты:
Anti-Mouse TNC Antibody (SAb2380) (RMD64001)
Источник (хозяин): мышь
Реактивность подтвержденная: мышь
Валидировано для: ELISA, IHC, SPR
Реактивность подтвержденная: мышь
Валидировано для: ELISA, IHC, SPR
Anti-Human CD63/LAMP3 Antibody (Fs0321), APC (FHC37632)
Источник (хозяин): мышь
Реактивность подтвержденная: человек
Валидировано для: ELISA, FCM, WB
Реактивность подтвержденная: человек
Валидировано для: ELISA, FCM, WB
Chicken Glutamate Decarboxylase Acid ELISA kit (E12G0297)
Организм: курица
Mouse High mobility group protein 17 ELISA kit (E03H0256)
Организм: мышь
Sheep Glucose 6 Phosphate Dehydrogenase ELISA kit (E14G0379)
Организм: овца

