| UNIPROT | P01042 |
| Иммуноген | RPB267Hu01-Recombinant Kininogen 1 (KNG1) |
Polyclonal Antibody to Kininogen 1 (KNG1) (PAB267Hu01)
Реактивность подтвержденная:
человек
Источник (хозяин):
кролик
Валидировано для:
IHC
WB
Характеристики
Техническое описание
| Русское название | PAB267Hu01 Поликлональное антитело к KNG1 (человек) <Cloud-Clone,Китай> |
| Каталожный номер | PAB267Hu01 |
| Название антигена | Kininogen 1 (KNG1) |
| UNIPROT | P01042 |
| Иммуноген | RPB267Hu01-Recombinant Kininogen 1 (KNG1) |
| Английские синонимы | BDK, KNG, HMWK, Alpha-2-Thiol Proteinase Inhibitor, Bradykinin, Kallidin, Fitzgerald factor, High molecular weight kininogen, Williams-Fitzgerald-Flaujeac factor, Ile-Ser-Bradykinin |
Реактивность подтвержденная Нужна другая реактивность? |
человек |
| Реактивность предсказываемая | свинья |
| Источник (хозяин) | кролик |
| Клональность | поликлональное |
| Рекомбинантное | нет |
| Готовое к использованию | нет |
| Концентрация | 1 мг/мл |
| Конъюгат | По запросу: HRP, biotin, PerCP, PE, Cy3, FITC, Cy7, Cy5.5, PE-Cy5, PE-Cy7, PerCp-Cy5.5, APC, Cy5, PE-Cy3, PE-Cy5.5, APC-Cy7, Biotin-APC, FITC-Biotin, TRITC, APC-Cy5, AF488, AF594, AF405, AF555, AF700, AF647, AF750 |
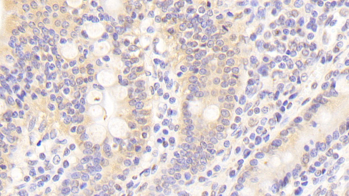
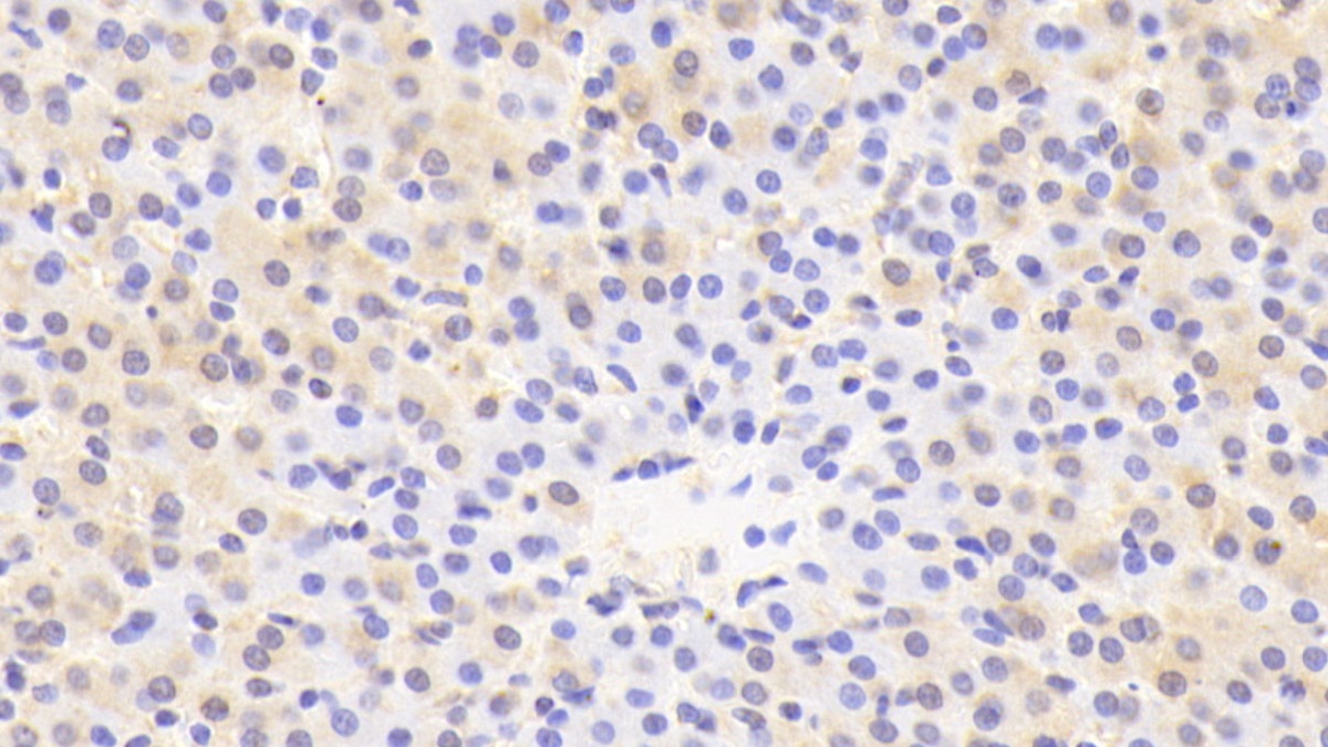
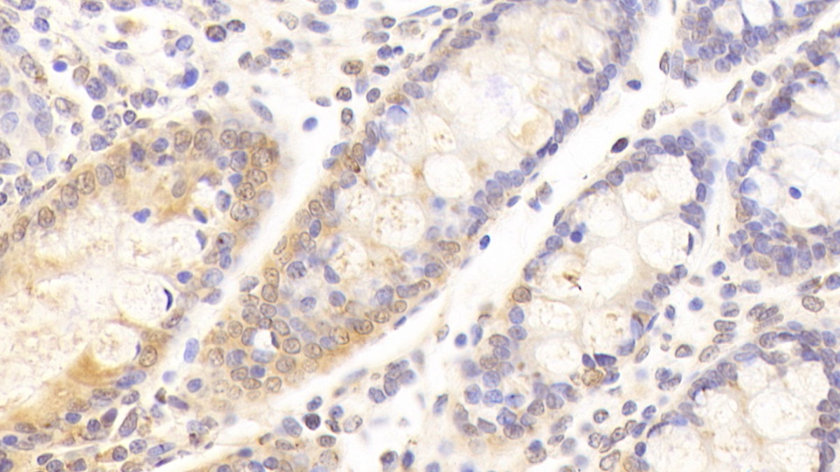
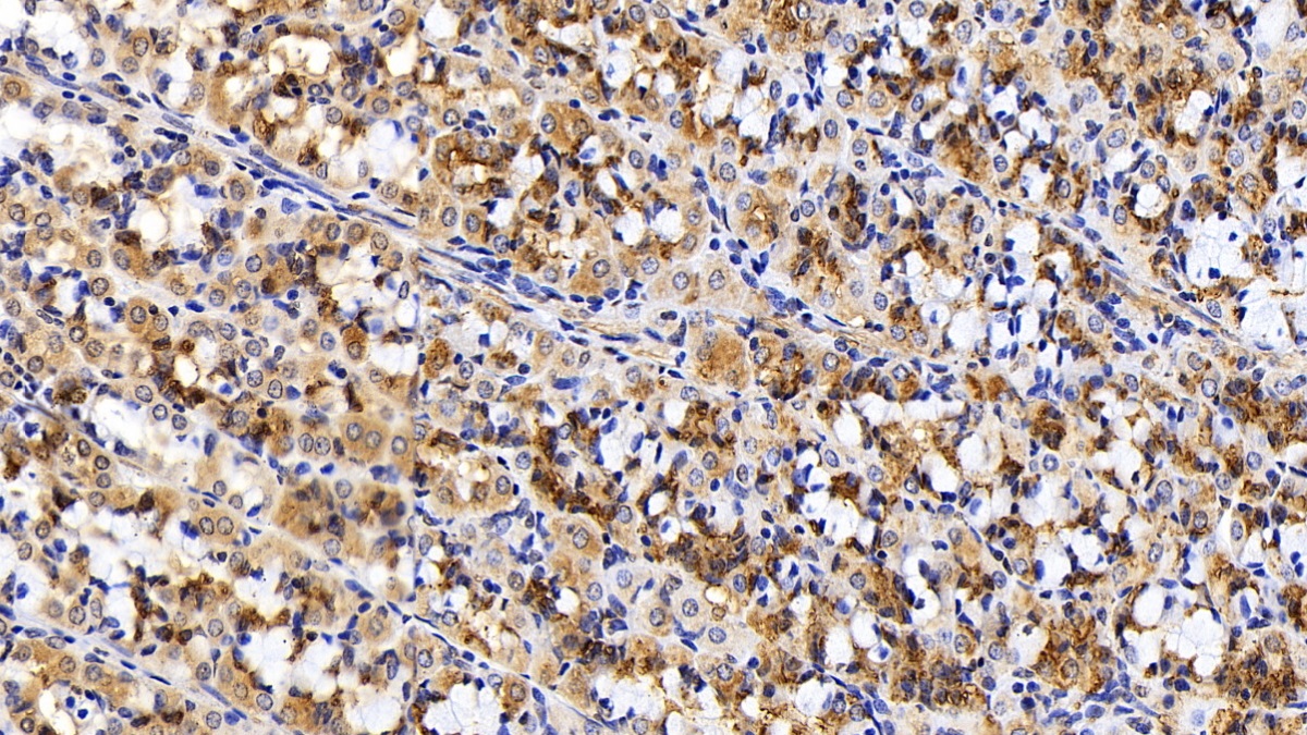
| Валидировано для | IHC WB Иммуногистохимия; Вестерн-блоттинг |
| Рекомендуемые разведения | WB: 0.5-2 мкг/мл; IHC: 5-20 мкг/мл; ICC: 5-20 мкг/мл; Оптимальное разведение определяется конечным потребителем |
| Метод очистки | Антигенспецифическая аффинная хроматография с последующей аффинной хроматографией с белком А |
| Состав буфера | PBS, pH7.4, 0.02% NaN3, 50% глицерин |
| Условия доставки | термобокс с аккумуляторами холода |
| Условия хранения | Сразу после получения аликвотировать и хранить при -20ºС до 24 месяцев. Для частого использования хранить при +4ºС не более 2 недель. Избегать повторения циклов замерзания/оттаивания |
| Срок хранения | 24 месяца |
| Производитель | Cloud-Clone Corp. |
| Ссылка на страницу товара на сайте производителя | http://www.cloud-clone.com/products/PAB267Hu01.html |
|
Артикул
|
Наименование |
Производитель
|
|---|
|
Артикул
|
Наименование |
Производитель
|
|---|
|
Артикул
|
Наименование |
Производитель
|
|---|
|
Артикул
|
Наименование |
Производитель
|
|---|
Акции и предложения
Популярные продукты:
Anti-Clostridium tetani tetX/Tetanus toxin Antibody (SAA0853) (RXX08802)
Источник (хозяин): человек
Реактивность подтвержденная: бактерии
Валидировано для: ELISA
Реактивность подтвержденная: бактерии
Валидировано для: ELISA
Recombinant Human PADI2 Protein, N-Strep (EHK12001)
Источник (хозяин): клетки млекопитающих
Организм: человек
Фрагмент: Met1-Pro665
Теги: N-Strep
Биоактивность: нет
Организм: человек
Фрагмент: Met1-Pro665
Теги: N-Strep
Биоактивность: нет
Recombinant Human CD70 Protein, N-Fc (EHE01901)
Источник (хозяин): клетки млекопитающих
Организм: человек
Фрагмент: Gln39-Pro193
Теги: N-Fc
Биоактивность: нет
Организм: человек
Фрагмент: Gln39-Pro193
Теги: N-Fc
Биоактивность: нет
FITC Anti-Human CD11b Antibody[ICRF44] (FCE2957)
Источник (хозяин): мышь
Реактивность подтвержденная: человек
Валидировано для: FCM
Реактивность подтвержденная: человек
Валидировано для: FCM
Anti-HPV B19 NS1/Non-structural protein 1 Antibody (R4D73) (RVV19701)
Источник (хозяин): мышь
Реактивность подтвержденная: вирусы
Валидировано для: ELISA, FCM, IF
Реактивность подтвержденная: вирусы
Валидировано для: ELISA, FCM, IF

