| UNIPROT | Q7L5Y9 |
| Иммуноген | RPB436Hu01-Recombinant Macrophage Erythroblast Attacher (MAEA) |
Polyclonal Antibody to Macrophage Erythroblast Attacher (MAEA) (PAB436Hu01)
Реактивность подтвержденная:
человек
Источник (хозяин):
кролик
Валидировано для:
IHC
WB
Характеристики
Техническое описание
| Русское название | PAB436Hu01 Поликлональное антитело к MAEA (человек) <Cloud-Clone,Китай> |
| Каталожный номер | PAB436Hu01 |
| Название антигена | Macrophage Erythroblast Attacher (MAEA) |
| UNIPROT | Q7L5Y9 |
| Иммуноген | RPB436Hu01-Recombinant Macrophage Erythroblast Attacher (MAEA) |
| Английские синонимы | EMP, HLC10, PIG5, Cell proliferation-inducing gene 5 protein, Erythroblast macrophage protein, Human lung cancer oncogene 10 protein |
Реактивность подтвержденная Нужна другая реактивность? |
человек |
| Реактивность предсказываемая | мышь, крыса |
| Источник (хозяин) | кролик |
| Клональность | поликлональное |
| Рекомбинантное | нет |
| Готовое к использованию | нет |
| Концентрация | 500 мкг/мл |
| Конъюгат | По запросу: HRP, biotin, PerCP, PE, Cy3, FITC, Cy7, Cy5.5, PE-Cy5, PE-Cy7, PerCp-Cy5.5, APC, Cy5, PE-Cy3, PE-Cy5.5, APC-Cy7, Biotin-APC, FITC-Biotin, TRITC, APC-Cy5, AF488, AF594, AF405, AF555, AF700, AF647, AF750 |
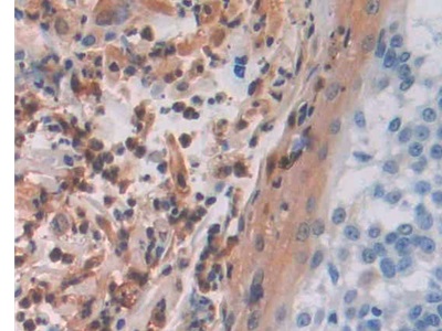
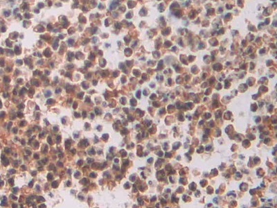
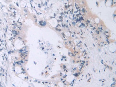
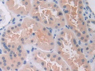
| Валидировано для | IHC WB Иммуногистохимия; Вестерн-блоттинг |
| Рекомендуемые разведения | WB: 0.01-2 мкг/мл; IHC: 5-20 мкг/мл; ICC: 5-20 мкг/мл; Оптимальное разведение определяется конечным потребителем |
| Метод очистки | Антигенспецифическая аффинная хроматография с последующей аффинной хроматографией с белком А |
| Состав буфера | PBS, pH7.4, 0.02% NaN3, 50% глицерин |
| Условия доставки | термобокс с аккумуляторами холода |
| Условия хранения | Сразу после получения аликвотировать и хранить при -20ºС до 24 месяцев. Для частого использования хранить при +4ºС не более 2 недель. Избегать повторения циклов замерзания/оттаивания |
| Срок хранения | 24 месяца |
| Производитель | Cloud-Clone Corp. |
| Ссылка на страницу товара на сайте производителя | http://www.cloud-clone.com/products/PAB436Hu01.html |
|
Артикул
|
Наименование |
Производитель
|
|---|
|
Артикул
|
Наименование |
Производитель
|
|---|
Акции и предложения
Популярные продукты:
ATP Chemiluminescence Assay Kit (Double Reagent) (E-BC-F300)
Организм: для всех
Диапазон определения: 0.002 мкмоль/л
Чувствительность: 0.002-1 мкмоль/л
Диапазон определения: 0.002 мкмоль/л
Чувствительность: 0.002-1 мкмоль/л
Multiplex Assay Kit for Chemokine C-C-Motif Receptor 2 (CCR2) (LMA914Hu)
Организм: человек
Диапазон определения: 0.01-10 нг/мл
Чувствительность: 0.003 нг/мл
Диапазон определения: 0.01-10 нг/мл
Чувствительность: 0.003 нг/мл
Chicken CTD Phosphatase 1 ELISA kit (E12C0049)
Организм: курица
Mouse Cystine glutamate transporter ELISA kit (E03S0443)
Организм: мышь
Human Alanine glyoxylate aminotransferase 2, mitochondrial(AGXT2) ELISA kit (E01A1329)
Организм: человек
Диапазон определения: 100-2500 пг/мл
Чувствительность: 1 пг/мл
Диапазон определения: 100-2500 пг/мл
Чувствительность: 1 пг/мл
Rabbit Inhibin B ELISA kit (E04I0005)
Организм: кролик

