| UNIPROT | Q99616 |
| Иммуноген | RPA216Hu01-Recombinant Monocyte Chemotactic Protein 4 (MCP4) |
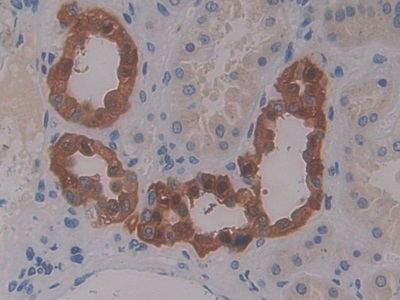
Polyclonal Antibody to Monocyte Chemotactic Protein 4 (MCP4) (PAA216Hu01)
Реактивность подтвержденная:
человек
Источник (хозяин):
кролик
Валидировано для:
IHC
Характеристики
Техническое описание
| Русское название | PAA216Hu01 Поликлональное антитело к MCP4 (человек) <Cloud-Clone,Китай> |
| Каталожный номер | PAA216Hu01 |
| Название антигена | Monocyte Chemotactic Protein 4 (MCP4) |
| UNIPROT | Q99616 |
| Иммуноген | RPA216Hu01-Recombinant Monocyte Chemotactic Protein 4 (MCP4) |
| Английские синонимы | CCL13, SCYA13, NCC1, SCYL1, CKb10, Chemokine C-C-Motif Ligand 13, Small Inducible Cytokine Subfamily A(Cys-Cys)Member 13, CK-beta-10, Monocyte chemoattractant 4 |
Реактивность подтвержденная Нужна другая реактивность? |
человек |
| Источник (хозяин) | кролик |
| Клональность | поликлональное |
| Рекомбинантное | нет |
| Готовое к использованию | нет |
| Концентрация | 0.5 мг/мл |
| Конъюгат | По запросу: HRP, biotin, PerCP, PE, Cy3, FITC, Cy7, Cy5.5, PE-Cy5, PE-Cy7, PerCp-Cy5.5, APC, Cy5, PE-Cy3, PE-Cy5.5, APC-Cy7, Biotin-APC, FITC-Biotin, TRITC, APC-Cy5, AF488, AF594, AF405, AF555, AF700, AF647, AF750 |
| Валидировано для | IHC Иммуногистохимия |
| Рекомендуемые разведения | WB: 0.5-2 мкг/мл; 1:360-1340; IHC: 5-20 мкг/мл; 1:36-134; ICC: 5-20 мкг/мл; 1:36-134; Оптимальное разведение определяется конечным потребителем |
| Метод очистки | Антигенспецифическая аффинная хроматография с последующей аффинной хроматографией с белком А |
| Состав буфера | PBS, pH7.4, 0.02% NaN3, 50% глицерин |
| Условия доставки | термобокс с аккумуляторами холода |
| Условия хранения | Сразу после получения аликвотировать и хранить при -20ºС до 24 месяцев. Для частого использования хранить при +4ºС не более 2 недель. Избегать повторения циклов замерзания/оттаивания |
| Срок хранения | 24 месяца |
| Производитель | Cloud-Clone Corp. |
| Ссылка на страницу товара на сайте производителя | http://www.cloud-clone.com/products/PAA216Hu01.html |
|
Артикул
|
Наименование |
Производитель
|
|---|
|
Артикул
|
Наименование |
Производитель
|
|---|
|
Артикул
|
Наименование |
Производитель
|
|---|
|
Артикул
|
Наименование |
Производитель
|
|---|
Акции и предложения
Популярные продукты:
Chicken Interleukin 1 Alpha ELISA kit (E12I0802)
Организм: курица
Goat Interleukin 1 Alpha ELISA kit (E06I0802)
Организм: коза
Active Interleukin 1 Alpha (IL1a) (APA071Hu03)
Источник (хозяин): E.coli
Организм: человек
Фрагмент: Met1-Ala271
Теги: N-концевой His-Tag
Биоактивность: да
Организм: человек
Фрагмент: Met1-Ala271
Теги: N-концевой His-Tag
Биоактивность: да
Polyclonal Antibody to Interleukin 1 Alpha (IL1a) (PAA071Cp02)
Источник (хозяин): кролик
Реактивность подтвержденная: коза
Валидировано для: ICC, IHC, WB
Реактивность подтвержденная: коза
Валидировано для: ICC, IHC, WB
Polyclonal Antibody to Interleukin 1 Alpha (IL1a) (PAA071Gu01)
Источник (хозяин): кролик
Реактивность подтвержденная: морская свинка
Валидировано для: ICC, IHC, WB
Реактивность подтвержденная: морская свинка
Валидировано для: ICC, IHC, WB
Recombinant Interleukin 1 Alpha (IL1a) (RPA071Gu01)
Источник (хозяин): E.coli
Организм: морская свинка
Фрагмент: Ser111-Glu204
Теги: N-концевой His-Tag
Биоактивность: нет
Организм: морская свинка
Фрагмент: Ser111-Glu204
Теги: N-концевой His-Tag
Биоактивность: нет

