| UNIPROT | XP_013845199.1 |
| Иммуноген | RPA705Po01-Recombinant Mucin 2 (MUC2) |
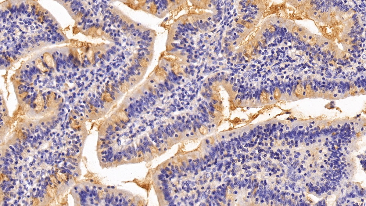
Polyclonal Antibody to Mucin 2 (MUC2) (PAA705Po01)
Реактивность подтвержденная:
свинья
Источник (хозяин):
кролик
Валидировано для:
IHC
WB
Характеристики
Техническое описание
| Русское название | PAA705Po01 Поликлональное антитело к MUC2 (свинья) <Cloud-Clone,Китай> |
| Каталожный номер | PAA705Po01 |
| Название антигена | Mucin 2 (MUC2) |
| UNIPROT | XP_013845199.1 |
| Иммуноген | RPA705Po01-Recombinant Mucin 2 (MUC2) |
| Английские синонимы | MLP, SMUC, Oligomeric Mucus/Gel-Forming, Mucin 2,Intestinal/Tracheal |
Реактивность подтвержденная Нужна другая реактивность? |
свинья |
| Реактивность предсказываемая | мышь |
| Источник (хозяин) | кролик |
| Клональность | поликлональное |
| Рекомбинантное | нет |
| Готовое к использованию | нет |
| Концентрация | 0.5 мг/мл |
| Конъюгат | По запросу: HRP, biotin, PerCP, PE, Cy3, FITC, Cy7, Cy5.5, PE-Cy5, PE-Cy7, PerCp-Cy5.5, APC, Cy5, PE-Cy3, PE-Cy5.5, APC-Cy7, Biotin-APC, FITC-Biotin, TRITC, APC-Cy5, AF488, AF594, AF405, AF555, AF700, AF647, AF750 |
| Валидировано для | IHC WB Иммуногистохимия; Вестерн-блоттинг |
| Рекомендуемые разведения | WB: 0.01-2 мкг/мл; IHC: 3-20 мкг/мл; Оптимальное разведение определяется конечным потребителем |
| Метод очистки | Антигенспецифическая аффинная хроматография с последующей аффинной хроматографией с белком А |
| Состав буфера | 0.01M PBS, pH7.4, 0.05% Proclin-300, 50% глицерин |
| Условия доставки | термобокс с аккумуляторами холода |
| Условия хранения | Сразу после получения аликвотировать и хранить при -20ºС до 24 месяцев. Для частого использования хранить при +4ºС не более 2 недель. Избегать повторения циклов замерзания/оттаивания |
| Срок хранения | 24 месяца |
| Производитель | Cloud-Clone Corp. |
| Ссылка на страницу товара на сайте производителя | http://www.cloud-clone.com/products/PAA705Po01.html |
|
Артикул
|
Наименование |
Производитель
|
|---|
|
Артикул
|
Наименование |
Производитель
|
|---|
|
Артикул
|
Наименование |
Производитель
|
|---|
|
Артикул
|
Наименование |
Производитель
|
|---|
|
Артикул
|
Наименование |
Производитель
|
|---|
|
Артикул
|
Наименование |
Производитель
|
|---|
|
Артикул
|
Наименование |
Производитель
|
|---|
Акции и предложения
Популярные продукты:
ELISA Kit DIY Materials for Chemokine (C-X-C Motif) Ligand 2 (CXCL2) (KSB603Hu01)
Организм: человек
Диапазон определения: 15.6-1000 пг/мл
Чувствительность: 5.6 пг/мл
Диапазон определения: 15.6-1000 пг/мл
Чувствительность: 5.6 пг/мл
Human Cytoskeleton associated protein 5(CKAP5) ELISA kit (E01C1742)
Организм: человек
Диапазон определения: 2.5-50 нг/мл
Чувствительность: 0.1 нг/мл
Диапазон определения: 2.5-50 нг/мл
Чувствительность: 0.1 нг/мл
Monkey Activating Transcription Factor 7 ELISA kit (E09A0537)
Организм: обезьяна
Recombinant Human Neurotrophin-3/NTF3 Protein (PKSH032803)
Источник (хозяин): E.coli
Организм: человек
Фрагмент: Tyr139-Thr 257
Теги: без тега
Биоактивность: нет
Организм: человек
Фрагмент: Tyr139-Thr 257
Теги: без тега
Биоактивность: нет
Anti-DVL2 Polyclonal Antibody (PHA25402)
Источник (хозяин): кролик
Реактивность подтвержденная: человек, мышь, крыса
Валидировано для: ELISA, IHC, WB
Реактивность подтвержденная: человек, мышь, крыса
Валидировано для: ELISA, IHC, WB

