| UNIPROT | P07196 |
| Иммуноген | RPE038Hu02-Recombinant Neurofilament, Light Polypeptide (NEFL) |
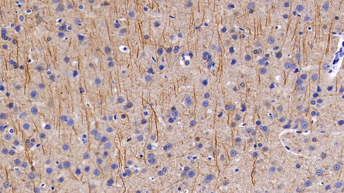
Polyclonal Antibody to Neurofilament, Light Polypeptide (NEFL) (PAE038Hu02)
Реактивность подтвержденная:
человек
Источник (хозяин):
кролик
Валидировано для:
IHC
WB
Характеристики
Техническое описание
| Русское название | PAE038Hu02 Поликлональное антитело к NEFL (человек) <Cloud-Clone,Китай> |
| Каталожный номер | PAE038Hu02 |
| Название антигена | Neurofilament, Light Polypeptide (NEFL) |
| UNIPROT | P07196 |
| Иммуноген | RPE038Hu02-Recombinant Neurofilament, Light Polypeptide (NEFL) |
| Английские синонимы | CMT1F, CMT2E, NF-L, NF68, NFL, 68 kDa neurofilament protein, Neurofilament triplet L protein |
Реактивность подтвержденная Нужна другая реактивность? |
человек |
| Реактивность предсказываемая | крыса, свинья |
| Источник (хозяин) | кролик |
| Клональность | поликлональное |
| Рекомбинантное | нет |
| Готовое к использованию | нет |
| Концентрация | 0.5 мг/мл |
| Конъюгат | По запросу: HRP, biotin, PerCP, PE, Cy3, FITC, Cy7, Cy5.5, PE-Cy5, PE-Cy7, PerCp-Cy5.5, APC, Cy5, PE-Cy3, PE-Cy5.5, APC-Cy7, Biotin-APC, FITC-Biotin, TRITC, APC-Cy5, AF488, AF594, AF405, AF555, AF700, AF647, AF750 |
| Валидировано для | IHC WB Иммуногистохимия; Вестерн-блоттинг |
| Рекомендуемые разведения | WB: 0.01-2 мкг/мл; IHC: 5-20 мкг/мл; ICC: 5-20 мкг/мл; Оптимальное разведение определяется конечным потребителем |
| Метод очистки | Антигенспецифическая аффинная хроматография с последующей аффинной хроматографией с белком А |
| Состав буфера | PBS, pH7.4, 0.02% NaN3, 50% глицерин |
| Условия доставки | термобокс с аккумуляторами холода |
| Условия хранения | Сразу после получения аликвотировать и хранить при -20ºС до 24 месяцев. Для частого использования хранить при +4ºС не более 2 недель. Избегать повторения циклов замерзания/оттаивания |
| Срок хранения | 24 месяца |
| Производитель | Cloud-Clone Corp. |
| Ссылка на страницу товара на сайте производителя | http://www.cloud-clone.com/products/PAE038Hu02.html |
|
Артикул
|
Наименование |
Производитель
|
|---|
|
Артикул
|
Наименование |
Производитель
|
|---|
|
Артикул
|
Наименование |
Производитель
|
|---|
|
Артикул
|
Наименование |
Производитель
|
|---|
|
Артикул
|
Наименование |
Производитель
|
|---|
Акции и предложения
Популярные продукты:
ELISA Kit for Meteorin (METRN) (SEH662Hu)
Организм: человек
Диапазон определения: 0.156-10 нг/мл
Чувствительность: 0.55 нг/мл
Диапазон определения: 0.156-10 нг/мл
Чувствительность: 0.55 нг/мл
ELISA Kit for Neurofilament, Light Polypeptide (NEFL) (CEE038Po)
Организм: свинья
Диапазон определения: 123.5-10,000 пг/мл
Чувствительность: 0.117 нг/мл
Диапазон определения: 123.5-10,000 пг/мл
Чувствительность: 0.117 нг/мл
Monkey Nicotinamide N methyltransferase(NNMT) ELISA kit (E09N0553)
Организм: обезьяна
Sheep Inositol oxygenase(MIOX) ELISA kit (E14I0452)
Организм: овца
Rabbit Myosin 11(MYH11) ELISA kit (E04M0414)
Организм: кролик

