| UNIPROT | P97333 |
| Иммуноген | RPA692Mu01-Recombinant Neuropilin 1 (NRP1) |
Polyclonal Antibody to Neuropilin 1 (NRP1) (PAA692Mu01)
Реактивность подтвержденная:
мышь
Источник (хозяин):
кролик
Валидировано для:
IHC
WB
Характеристики
Техническое описание
| Русское название | PAA692Mu01 Поликлональное антитело к NRP1 (мышь) <Cloud-Clone,Китай> |
| Каталожный номер | PAA692Mu01 |
| Название антигена | Neuropilin 1 (NRP1) |
| UNIPROT | P97333 |
| Иммуноген | RPA692Mu01-Recombinant Neuropilin 1 (NRP1) |
| Английские синонимы | CD304, CD 304, CD-304, BDCA4, VEGF165R, Vascular endothelial cell growth factor 165 receptor |
Реактивность подтвержденная Нужна другая реактивность? |
мышь |
| Реактивность предсказываемая | человек, крыса |
| Источник (хозяин) | кролик |
| Клональность | поликлональное |
| Рекомбинантное | нет |
| Готовое к использованию | нет |
| Концентрация | 0.5 мг/мл |
| Конъюгат | По запросу: HRP, biotin, PerCP, PE, Cy3, FITC, Cy7, Cy5.5, PE-Cy5, PE-Cy7, PerCp-Cy5.5, APC, Cy5, PE-Cy3, PE-Cy5.5, APC-Cy7, Biotin-APC, FITC-Biotin, TRITC, APC-Cy5, AF488, AF594, AF405, AF555, AF700, AF647, AF750 |
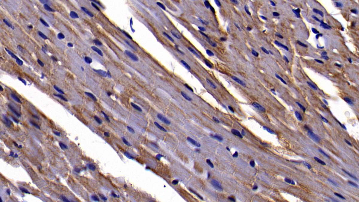
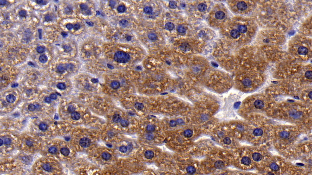
| Валидировано для | IHC WB Иммуногистохимия; Вестерн-блоттинг |
| Рекомендуемые разведения | WB: 0.01-2 мкг/мл; IHC: 5-20 мкг/мл; ICC: 5-20 мкг/мл; Оптимальное разведение определяется конечным потребителем |
| Метод очистки | Антигенспецифическая аффинная хроматография с последующей аффинной хроматографией с белком А |
| Состав буфера | PBS, pH7.4, 0.02% NaN3, 50% глицерин |
| Условия доставки | термобокс с аккумуляторами холода |
| Условия хранения | Сразу после получения аликвотировать и хранить при -20ºС до 24 месяцев. Для частого использования хранить при +4ºС не более 2 недель. Избегать повторения циклов замерзания/оттаивания |
| Срок хранения | 24 месяца |
| Производитель | Cloud-Clone Corp. |
| Ссылка на страницу товара на сайте производителя | http://www.cloud-clone.com/products/PAA692Mu01.html |
|
Артикул
|
Наименование |
Производитель
|
|---|
|
Артикул
|
Наименование |
Производитель
|
|---|
|
Артикул
|
Наименование |
Производитель
|
|---|
|
Артикул
|
Наименование |
Производитель
|
|---|
|
Артикул
|
Наименование |
Производитель
|
|---|
Акции и предложения
Популярные продукты:
Anti-Desmoglein 3 Antibody (AK23) (RHE01406)
Источник (хозяин): человек
Реактивность подтвержденная: человек, мышь
Валидировано для: ELISA, IF, IP
Реактивность подтвержденная: человек, мышь
Валидировано для: ELISA, IF, IP
Rabbit Calmodulin like protein 6(CALML6) ELISA kit (E04C1327)
Организм: кролик
Guinea Pig Hypoxia Up Regulated 1 ELISA kit (E05H0132)
Организм: морская свинка
Guinea Pig Interleukin 6 receptor ELISA kit (E05I0206)
Организм: морская свинка
Anti-Human SAA Monoclonal Antibody (1A318) (MHC65506)
Источник (хозяин): мышь
Реактивность подтвержденная: человек
Реактивность подтвержденная: человек

