| UNIPROT | O60462 |
| Иммуноген | RPD042Hu01-Recombinant Neuropilin 2 (NRP2) |
Polyclonal Antibody to Neuropilin 2 (NRP2) (PAD042Hu01)
Реактивность подтвержденная:
человек
Источник (хозяин):
кролик
Валидировано для:
IHC
Характеристики
Техническое описание
| Русское название | PAD042Hu01 Поликлональное антитело к NRP2 (человек) <Cloud-Clone,Китай> |
| Каталожный номер | PAD042Hu01 |
| Название антигена | Neuropilin 2 (NRP2) |
| UNIPROT | O60462 |
| Иммуноген | RPD042Hu01-Recombinant Neuropilin 2 (NRP2) |
| Английские синонимы | NP2, NPN2, VEGF165R2, VEGF165-R2, Vascular endothelial cell growth factor 165 receptor 2 |
Реактивность подтвержденная Нужна другая реактивность? |
человек |
| Источник (хозяин) | кролик |
| Клональность | поликлональное |
| Рекомбинантное | нет |
| Готовое к использованию | нет |
| Концентрация | 0.5 мг/мл |
| Конъюгат | По запросу: HRP, biotin, PerCP, PE, Cy3, FITC, Cy7, Cy5.5, PE-Cy5, PE-Cy7, PerCp-Cy5.5, APC, Cy5, PE-Cy3, PE-Cy5.5, APC-Cy7, Biotin-APC, FITC-Biotin, TRITC, APC-Cy5, AF488, AF594, AF405, AF555, AF700, AF647, AF750 |
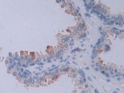
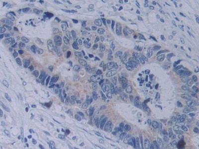
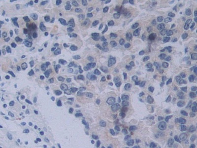
| Валидировано для | IHC Иммуногистохимия |
| Рекомендуемые разведения | WB: 0.5-2 мкг/мл; 1:220-900; IHC: 5-20 мкг/мл; 1:22-90; ICC: 5-20 мкг/мл; 1:22-90; Оптимальное разведение определяется конечным потребителем |
| Метод очистки | Антигенспецифическая аффинная хроматография с последующей аффинной хроматографией с белком А |
| Состав буфера | 0.01M PBS, pH7.4, 0.05% Proclin-300, 50% глицерин |
| Условия доставки | термобокс с аккумуляторами холода |
| Условия хранения | Сразу после получения аликвотировать и хранить при -20ºС до 24 месяцев. Для частого использования хранить при +4ºС не более 2 недель. Избегать повторения циклов замерзания/оттаивания |
| Срок хранения | 24 месяца |
| Производитель | Cloud-Clone Corp. |
| Ссылка на страницу товара на сайте производителя | http://www.cloud-clone.com/products/PAD042Hu01.html |
|
Артикул
|
Наименование |
Производитель
|
|---|
|
Артикул
|
Наименование |
Производитель
|
|---|
|
Артикул
|
Наименование |
Производитель
|
|---|
|
Артикул
|
Наименование |
Производитель
|
|---|
|
Артикул
|
Наименование |
Производитель
|
|---|
Акции и предложения
Популярные продукты:
Sheep Stathmin 2(STMN2) ELISA kit (E14S0414)
Организм: овца
Chicken Stathmin 2(STMN2) ELISA kit (E12S0414)
Организм: курица
Bovine Stathmin 2(STMN2) ELISA kit (E11S0414)
Организм: корова
Canine Stathmin 2(STMN2) ELISA kit (E08S0414)
Организм: собака
Rabbit Stathmin 2(STMN2) ELISA kit (E04S0414)
Организм: кролик
Mouse Stathmin 2(STMN2) ELISA kit (E03S0414)
Организм: мышь

