| UNIPROT | Q99466 |
| Иммуноген | RPL149Hu01-Recombinant Notch Homolog 4 (NOTCH4) |
Polyclonal Antibody to Notch Homolog 4 (NOTCH4) (PAL149Hu01)
Реактивность подтвержденная:
человек
Источник (хозяин):
кролик
Валидировано для:
IHC
WB
Характеристики
Техническое описание
| Русское название | PAL149Hu01 Поликлональное антитело к NOTCH4 (человек) <Cloud-Clone,Китай> |
| Каталожный номер | PAL149Hu01 |
| Название антигена | Notch Homolog 4 (NOTCH4) |
| UNIPROT | Q99466 |
| Иммуноген | RPL149Hu01-Recombinant Notch Homolog 4 (NOTCH4) |
| Английские синонимы | INT3, Neurogenic locus notch homolog protein 4 |
Реактивность подтвержденная Нужна другая реактивность? |
человек |
| Реактивность предсказываемая | крыса |
| Источник (хозяин) | кролик |
| Клональность | поликлональное |
| Рекомбинантное | нет |
| Готовое к использованию | нет |
| Концентрация | 0.5 мг/мл |
| Конъюгат | По запросу: HRP, biotin, PerCP, PE, Cy3, FITC, Cy7, Cy5.5, PE-Cy5, PE-Cy7, PerCp-Cy5.5, APC, Cy5, PE-Cy3, PE-Cy5.5, APC-Cy7, Biotin-APC, FITC-Biotin, TRITC, APC-Cy5, AF488, AF594, AF405, AF555, AF700, AF647, AF750 |
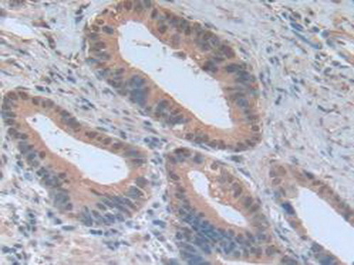
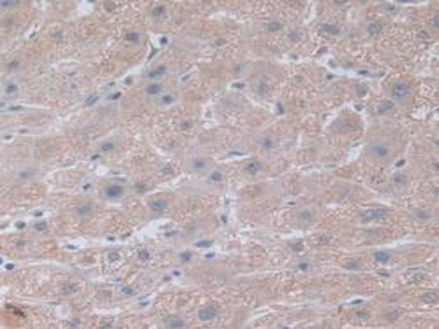
| Валидировано для | IHC WB Иммуногистохимия; Вестерн-блоттинг |
| Рекомендуемые разведения | WB: 0.01-2 мкг/мл; IHC: 5-20 мкг/мл; ICC: 5-20 мкг/мл; Оптимальное разведение определяется конечным потребителем |
| Метод очистки | Антигенспецифическая аффинная хроматография с последующей аффинной хроматографией с белком А |
| Состав буфера | PBS, pH7.4, 0.02% NaN3, 50% глицерин |
| Условия доставки | термобокс с аккумуляторами холода |
| Условия хранения | Сразу после получения аликвотировать и хранить при -20ºС до 24 месяцев. Для частого использования хранить при +4ºС не более 2 недель. Избегать повторения циклов замерзания/оттаивания |
| Срок хранения | 24 месяца |
| Производитель | Cloud-Clone Corp. |
| Ссылка на страницу товара на сайте производителя | http://www.cloud-clone.com/products/PAL149Hu01.html |
|
Артикул
|
Наименование |
Производитель
|
|---|
|
Артикул
|
Наименование |
Производитель
|
|---|
|
Артикул
|
Наименование |
Производитель
|
|---|
|
Артикул
|
Наименование |
Производитель
|
|---|
Акции и предложения
Популярные продукты:
Anti-Apolipoprotein A1 (APOA1) Polyclonal Antibody (FAA519Po01)
Источник (хозяин): кролик
Реактивность подтвержденная: свинья
Валидировано для: FCM
Реактивность подтвержденная: свинья
Валидировано для: FCM
Monkey Lactic Acid ELISA kit (E09L0004)
Организм: обезьяна
Chicken Biotinidase(BTD) ELISA kit (E12B0868)
Организм: курица
Sheep Arylsulfatase K(ARSK) ELISA kit (E14A1692)
Организм: овца
Guinea Pig Arylsulfatase K(ARSK) ELISA kit (E05A1692)
Организм: морская свинка
Canine claudin 14,CLDN14 ELISA kit (E08C0969)
Организм: собака

