| UNIPROT | O75694 |
| Иммуноген | RPB157Hu01-Recombinant Nucleoporin 155 (NUP155) |
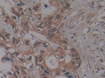
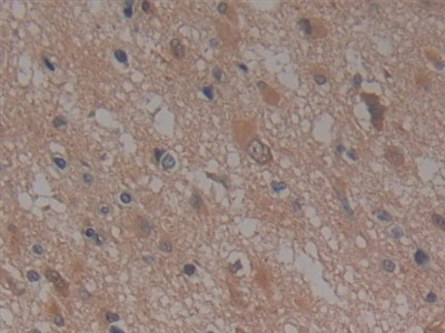
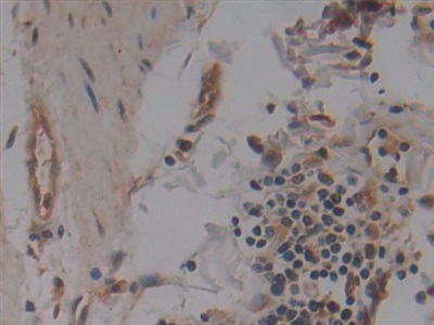
Polyclonal Antibody to Nucleoporin 155 (NUP155) (PAB157Hu01)
Реактивность подтвержденная:
человек
Источник (хозяин):
кролик
Валидировано для:
IHC
WB
Характеристики
Техническое описание
| Русское название | PAB157Hu01 Поликлональное антитело к NUP155 (человек) <Cloud-Clone,Китай> |
| Каталожный номер | PAB157Hu01 |
| Название антигена | Nucleoporin 155kDa (NUP155) |
| UNIPROT | O75694 |
| Иммуноген | RPB157Hu01-Recombinant Nucleoporin 155 (NUP155) |
| Английские синонимы | N155 |
Реактивность подтвержденная Нужна другая реактивность? |
человек |
| Источник (хозяин) | кролик |
| Клональность | поликлональное |
| Рекомбинантное | нет |
| Готовое к использованию | нет |
| Концентрация | 0.5 мг/мл |
| Конъюгат | По запросу: HRP, biotin, PerCP, PE, Cy3, FITC, Cy7, Cy5.5, PE-Cy5, PE-Cy7, PerCp-Cy5.5, APC, Cy5, PE-Cy3, PE-Cy5.5, APC-Cy7, Biotin-APC, FITC-Biotin, TRITC, APC-Cy5, AF488, AF594, AF405, AF555, AF700, AF647, AF750 |
| Валидировано для | IHC WB Иммуногистохимия; Вестерн-блоттинг |
| Рекомендуемые разведения | WB: 0.01-5 мкг/мл; IHC: 5-20 мкг/мл; Оптимальное разведение определяется конечным потребителем |
| Метод очистки | Антигенспецифическая аффинная хроматография с последующей аффинной хроматографией с белком А |
| Состав буфера | 0.01M PBS, pH7.4, 0.05% Proclin-300, 50% глицерин |
| Условия доставки | термобокс с аккумуляторами холода |
| Условия хранения | Сразу после получения аликвотировать и хранить при -20ºС до 24 месяцев. Для частого использования хранить при +4ºС не более 2 недель. Избегать повторения циклов замерзания/оттаивания |
| Срок хранения | 24 месяца |
| Производитель | Cloud-Clone Corp. |
| Ссылка на страницу товара на сайте производителя | http://www.cloud-clone.com/products/PAB157Hu01.html |
|
Артикул
|
Наименование |
Производитель
|
|---|
|
Артикул
|
Наименование |
Производитель
|
|---|
|
Артикул
|
Наименование |
Производитель
|
|---|
Акции и предложения
Популярные продукты:
Anti-Human CD94/KLRD1 Antibody (Fs0381), FITC (FHG45611)
Источник (хозяин): человек
Реактивность подтвержденная: человек
Валидировано для: ELISA, FCM, FuncS
Реактивность подтвержденная: человек
Валидировано для: ELISA, FCM, FuncS
Anti-Human CD94/KLRD1 Antibody (Fs0381), AF488 (FHG45615)
Источник (хозяин): человек
Реактивность подтвержденная: человек
Валидировано для: ELISA, FCM, FuncS
Реактивность подтвержденная: человек
Валидировано для: ELISA, FCM, FuncS
ELISA Kit DIY Materials for Cancer/Testis Antigen 1B (CTAG1B) (KSJ316Hu01)
Организм: человек
Диапазон определения: 0.156-10 нг/мл
Чувствительность: 0.060 нг/мл
Диапазон определения: 0.156-10 нг/мл
Чувствительность: 0.060 нг/мл
ELISA Kit DIY Materials for Nuclear Factor Kappa B (NFkB) (KSB824Ga01)
Организм: курица
Диапазон определения: 0.156-10 нг/мл
Чувствительность: 0.055 нг/мл
Диапазон определения: 0.156-10 нг/мл
Чувствительность: 0.055 нг/мл
Monoclonal Antibody to Cytokeratin 15 (CK15) (MAA517Hu22)
Источник (хозяин): мышь
Реактивность подтвержденная: человек
Валидировано для: WB
Реактивность подтвержденная: человек
Валидировано для: WB
Monoclonal Antibody to Mesothelin (MSLN) (MAH615Hu27)
Источник (хозяин): мышь
Реактивность подтвержденная: человек
Валидировано для: WB
Реактивность подтвержденная: человек
Валидировано для: WB

