| UNIPROT | Q8R480 |
| Иммуноген | RPB110Mu01-Recombinant Nucleoporin 85 (NUP85) |
Polyclonal Antibody to Nucleoporin 85 (NUP85) (PAB110Mu01)
Реактивность подтвержденная:
мышь
Источник (хозяин):
кролик
Валидировано для:
IHC
WB
Характеристики
Техническое описание
| Русское название | PAB110Mu01 Поликлональное антитело к NUP85 (мышь) <Cloud-Clone,Китай> |
| Каталожный номер | PAB110Mu01 |
| Название антигена | Nucleoporin 85kDa (NUP85) |
| UNIPROT | Q8R480 |
| Иммуноген | RPB110Mu01-Recombinant Nucleoporin 85 (NUP85) |
| Английские синонимы | Nup75, FROUNT, Nuclear pore complex protein Nup85, Pericentrin-1 |
Реактивность подтвержденная Нужна другая реактивность? |
мышь |
| Источник (хозяин) | кролик |
| Клональность | поликлональное |
| Рекомбинантное | нет |
| Готовое к использованию | нет |
| Концентрация | 500 мкг/мл |
| Конъюгат | По запросу: HRP, biotin, PerCP, PE, Cy3, FITC, Cy7, Cy5.5, PE-Cy5, PE-Cy7, PerCp-Cy5.5, APC, Cy5, PE-Cy3, PE-Cy5.5, APC-Cy7, Biotin-APC, FITC-Biotin, TRITC, APC-Cy5, AF488, AF594, AF405, AF555, AF700, AF647, AF750 |
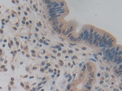
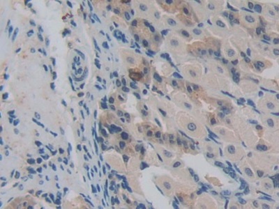
| Валидировано для | IHC WB Иммуногистохимия; Вестерн-блоттинг |
| Рекомендуемые разведения | WB: 0.01-2 мкг/мл; IHC: 5-20 мкг/мл; ICC: 5-20 мкг/мл; Оптимальное разведение определяется конечным потребителем |
| Метод очистки | Антигенспецифическая аффинная хроматография с последующей аффинной хроматографией с белком А |
| Состав буфера | PBS, pH7.4, 0.02% NaN3, 50% глицерин |
| Условия доставки | термобокс с аккумуляторами холода |
| Условия хранения | Сразу после получения аликвотировать и хранить при -20ºС до 24 месяцев. Для частого использования хранить при +4ºС не более 2 недель. Избегать повторения циклов замерзания/оттаивания |
| Срок хранения | 24 месяца |
| Производитель | Cloud-Clone Corp. |
| Ссылка на страницу товара на сайте производителя | http://www.cloud-clone.com/products/PAB110Mu01.html |
|
Артикул
|
Наименование |
Производитель
|
|---|
|
Артикул
|
Наименование |
Производитель
|
|---|
Акции и предложения
Популярные продукты:
ACSL4/FACL4 Antibody (DF12141)
Источник (хозяин): кролик
Реактивность подтвержденная: человек, мышь, крыса
Валидировано для: IHC, WB, IF, ICC
Реактивность подтвержденная: человек, мышь, крыса
Валидировано для: IHC, WB, IF, ICC
InVivoMAb Anti-Mouse CD8α Antibody (2.43) (VMB96002)
Источник (хозяин): крыса
Реактивность подтвержденная: мышь
Валидировано для: Depletion, ELISA, WB
Реактивность подтвержденная: мышь
Валидировано для: Depletion, ELISA, WB
ELISA Kit for CD200 Receptor 1 (CD200R1) (SEN341Hu)
Организм: человек
Диапазон определения: 0.156-10 нг/мл
Чувствительность: 0.058 нг/мл
Диапазон определения: 0.156-10 нг/мл
Чувствительность: 0.058 нг/мл
Guinea Pig Proteasome subunit β type 5 ELISA kit (E05P1263)
Организм: морская свинка
Mouse β crystallin B3(CRYBB3) ELISA kit (E03B0893)
Организм: мышь

