| UNIPROT | O00300 |
| Иммуноген | RPA108Hu01-Recombinant Osteoprotegerin (OPG) |
Polyclonal Antibody to Osteoprotegerin (OPG) (PAA108Hu01)
Реактивность подтвержденная:
человек
Источник (хозяин):
кролик
Валидировано для:
IHC
Характеристики
Техническое описание
| Русское название | PAA108Hu01 Поликлональное антитело к OPG (человек) <Cloud-Clone,Китай> |
| Каталожный номер | PAA108Hu01 |
| Название антигена | Osteoprotegerin (OPG) |
| UNIPROT | O00300 |
| Иммуноген | RPA108Hu01-Recombinant Osteoprotegerin (OPG) |
| Английские синонимы | TNFRSF11B, TNFRSF11-B, OCIF, OPG, TR1, Tumor Necrosis Factor Receptor Superfamily Member 11b, Osteoclastogenesis Inhibitory Factor |
Реактивность подтвержденная Нужна другая реактивность? |
человек |
| Реактивность предсказываемая | свинья |
| Источник (хозяин) | кролик |
| Клональность | поликлональное |
| Рекомбинантное | нет |
| Готовое к использованию | нет |
| Концентрация | 1 мг/мл |
| Конъюгат | По запросу: HRP, biotin, PerCP, PE, Cy3, FITC, Cy7, Cy5.5, PE-Cy5, PE-Cy7, PerCp-Cy5.5, APC, Cy5, PE-Cy3, PE-Cy5.5, APC-Cy7, Biotin-APC, FITC-Biotin, TRITC, APC-Cy5, AF488, AF594, AF405, AF555, AF700, AF647, AF750 |
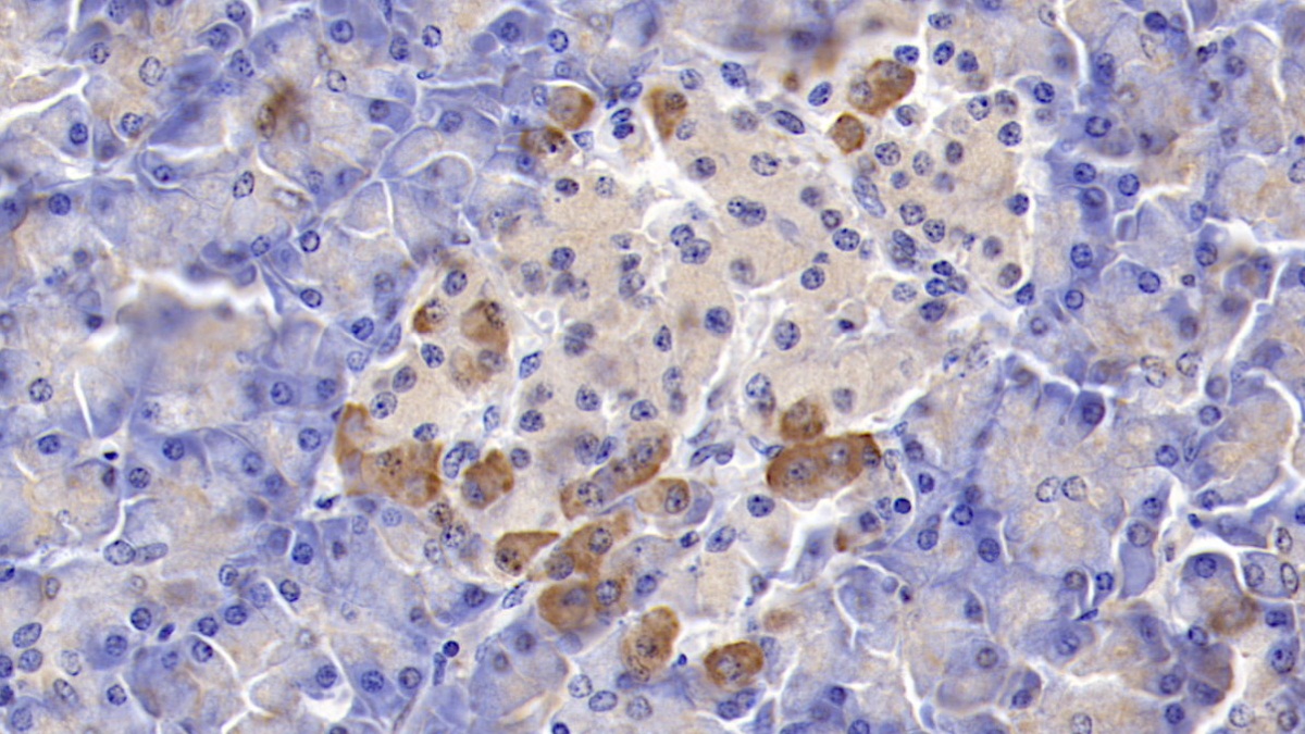
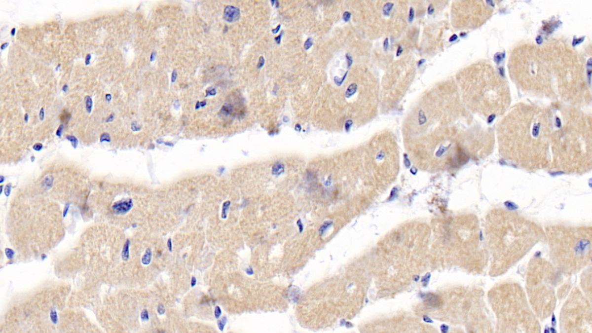
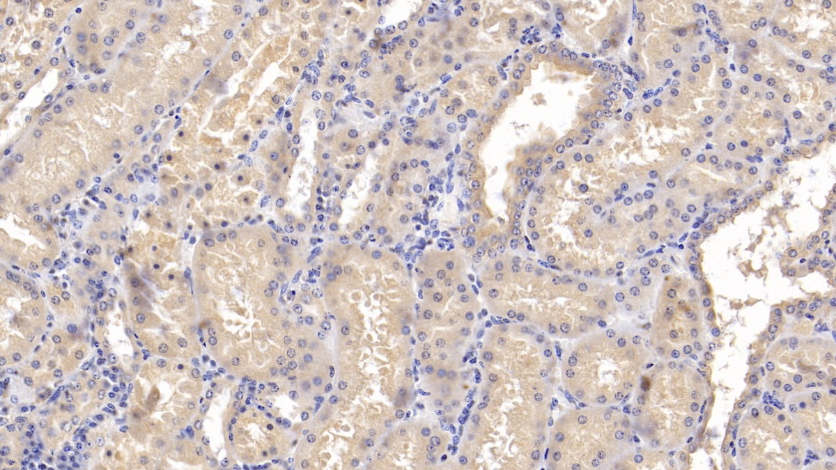
| Валидировано для | IHC Иммуногистохимия |
| Рекомендуемые разведения | WB: 0.5-2 мкг/мл; IHC: 5-20 мкг/мл; ICC: 5-20 мкг/мл; Оптимальное разведение определяется конечным потребителем |
| Метод очистки | Антигенспецифическая аффинная хроматография с последующей аффинной хроматографией с белком А |
| Состав буфера | PBS, pH7.4, 0.02% NaN3, 50% глицерин |
| Условия доставки | термобокс с аккумуляторами холода |
| Условия хранения | Сразу после получения аликвотировать и хранить при -20ºС до 24 месяцев. Для частого использования хранить при +4ºС не более 2 недель. Избегать повторения циклов замерзания/оттаивания |
| Срок хранения | 24 месяца |
| Производитель | Cloud-Clone Corp. |
| Ссылка на страницу товара на сайте производителя | http://www.cloud-clone.com/products/PAA108Hu01.html |
|
Артикул
|
Наименование |
Производитель
|
|---|
|
Артикул
|
Наименование |
Производитель
|
|---|
|
Артикул
|
Наименование |
Производитель
|
|---|
|
Артикул
|
Наименование |
Производитель
|
|---|
|
Артикул
|
Наименование |
Производитель
|
|---|
|
Артикул
|
Наименование |
Производитель
|
|---|
|
Артикул
|
Наименование |
Производитель
|
|---|
|
Артикул
|
Наименование |
Производитель
|
|---|
|
Артикул
|
Наименование |
Производитель
|
|---|
Акции и предложения
Популярные продукты:
Human Carbamazepine ELISA kit (E01C2722)
Организм: человек
Диапазон определения: 5-100 нг/мл
Диапазон определения: 5-100 нг/мл
Canine 5-Hydroxytryptophan ELISA kit (E08H1454)
Организм: собака
Human Ameloblastin(AMBN) ELISA kit (E01A1415)
Организм: человек
Диапазон определения: 0.5-10 нг/мл
Чувствительность: 0.1 нг/мл
Диапазон определения: 0.5-10 нг/мл
Чувствительность: 0.1 нг/мл
Sheep Astrotactin 2(ASTN2) ELISA kit (E14A1734)
Организм: овца

