| UNIPROT | Q96FW1 |
| Иммуноген | RPL838Hu01-Recombinant Otubain 1 (OTUB1) |
Polyclonal Antibody to Otubain 1 (OTUB1) (PAL838Hu01)
Реактивность подтвержденная:
человек
Источник (хозяин):
кролик
Валидировано для:
FCM
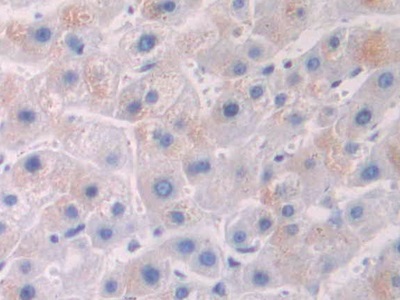
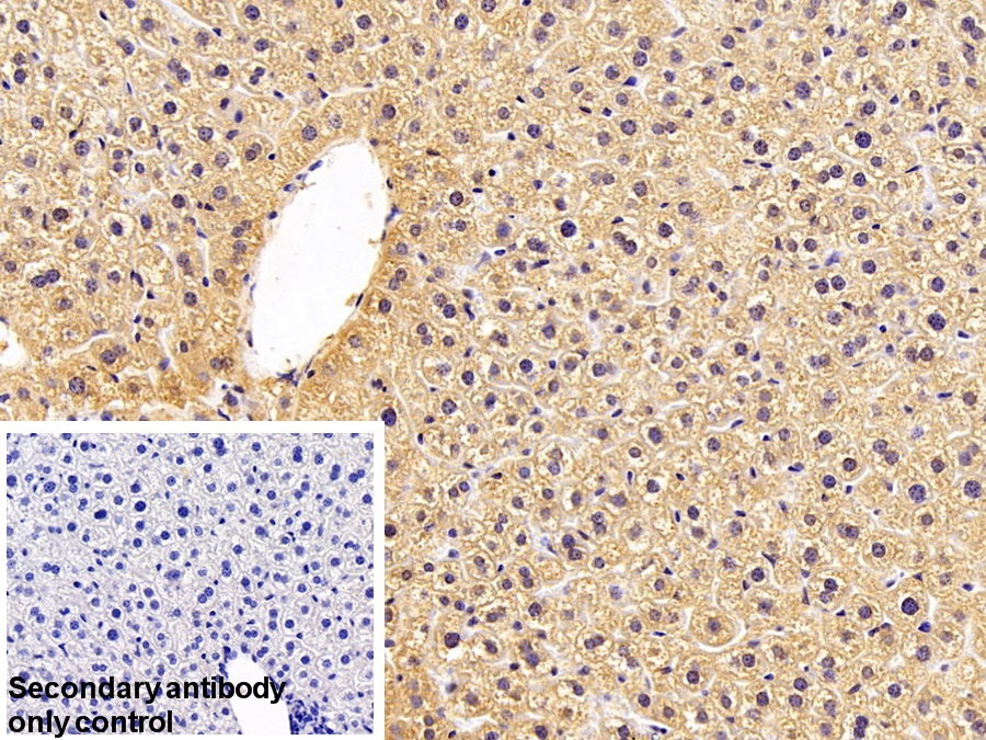
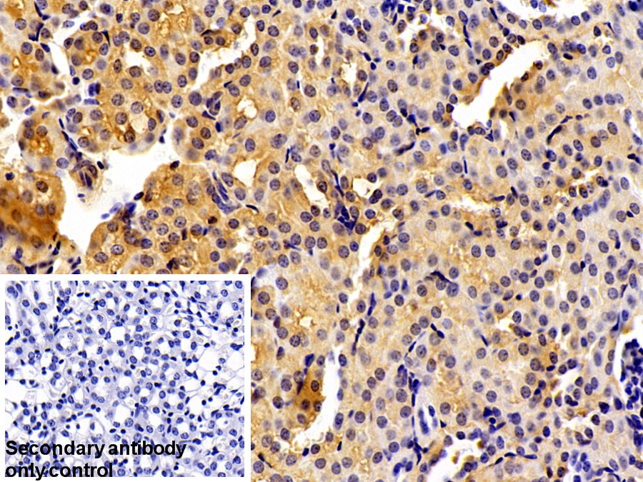
IHC
WB
Характеристики
Техническое описание
| Русское название | PAL838Hu01 Поликлональное антитело к OTUB1 (человек) <Cloud-Clone,Китай> |
| Каталожный номер | PAL838Hu01 |
| Название антигена | Otubain 1 (OTUB1) |
| UNIPROT | Q96FW1 |
| Иммуноген | RPL838Hu01-Recombinant Otubain 1 (OTUB1) |
| Английские синонимы | HSPC263, OTB1, OTU1, OTU Domain,Ubiquitin Aldehyde Binding 1, Deubiquitinating enzyme OTUB1, Ubiquitin-specific-processing protease OTUB1 |
Реактивность подтвержденная Нужна другая реактивность? |
человек |
| Реактивность предсказываемая | мышь, крыса, свинья |
| Источник (хозяин) | кролик |
| Клональность | поликлональное |
| Рекомбинантное | нет |
| Готовое к использованию | нет |
| Концентрация | 0.5 мг/мл |
| Конъюгат | По запросу: HRP, biotin, PerCP, PE, Cy3, FITC, Cy7, Cy5.5, PE-Cy5, PE-Cy7, PerCp-Cy5.5, APC, Cy5, PE-Cy3, PE-Cy5.5, APC-Cy7, Biotin-APC, FITC-Biotin, TRITC, APC-Cy5, AF488, AF594, AF405, AF555, AF700, AF647, AF750 |
| Валидировано для | FCM IHC WB Проточная цитометрия; Иммуногистохимия; Вестерн-блоттинг |
| Рекомендуемые разведения | WB: 0.01-2 мкг/мл; IHC: 5-20 мкг/мл; ICC: 5-20 мкг/мл; FCM: 20 мкг/мл; Оптимальное разведение определяется конечным потребителем |
| Метод очистки | Антигенспецифическая аффинная хроматография с последующей аффинной хроматографией с белком А |
| Состав буфера | PBS, pH7.4, 0.02% NaN3, 50% глицерин |
| Условия доставки | термобокс с аккумуляторами холода |
| Условия хранения | Сразу после получения аликвотировать и хранить при -20ºС до 24 месяцев. Для частого использования хранить при +4ºС не более 2 недель. Избегать повторения циклов замерзания/оттаивания |
| Срок хранения | 24 месяца |
| Производитель | Cloud-Clone Corp. |
| Ссылка на страницу товара на сайте производителя | http://www.cloud-clone.com/products/PAL838Hu01.html |
|
Артикул
|
Наименование |
Производитель
|
|---|
|
Артикул
|
Наименование |
Производитель
|
|---|
|
Артикул
|
Наименование |
Производитель
|
|---|
|
Артикул
|
Наименование |
Производитель
|
|---|
Акции и предложения
Популярные продукты:
Monoclonal Antibody to Calbindin (CALB) (MAG438Hu24)
Источник (хозяин): мышь
Реактивность подтвержденная: человек
Валидировано для: WB
Реактивность подтвержденная: человек
Валидировано для: WB
Monkey Succinic Acid ELISA Kit (E09S0475)
Организм: обезьяна
Bovine Neuregulin 4 ELISA kit (E11N0602)
Организм: корова
Human 17 Alpha Hydroxylase ELISA kit (E01S0049)
Организм: человек
Диапазон определения: 1-25 нг/мл
Чувствительность: 0.1 нг/мл
Диапазон определения: 1-25 нг/мл
Чувствительность: 0.1 нг/мл

