| UNIPROT | P27169 |
| Иммуноген | RPA243Hu01-Recombinant Paraoxonase 1 (PON1) |
Polyclonal Antibody to Paraoxonase 1 (PON1) (PAA243Hu01)
Реактивность подтвержденная:
человек
Источник (хозяин):
кролик
Валидировано для:
IHC
WB
Характеристики
Публикации
Техническое описание
| Русское название | PAA243Hu01 Поликлональное антитело к PON1 (человек) <Cloud-Clone,Китай> |
| Каталожный номер | PAA243Hu01 |
| Название антигена | Paraoxonase 1 (PON1) |
| UNIPROT | P27169 |
| Иммуноген | RPA243Hu01-Recombinant Paraoxonase 1 (PON1) |
| Английские синонимы | ESA, PON, Esterase A, Serum paraoxonase/arylesterase 1, Aromatic esterase 1, A-esterase 1, Serum aryldialkylphosphatase 1 |
Реактивность подтвержденная Нужна другая реактивность? |
человек |
| Реактивность предсказываемая | свинья |
| Источник (хозяин) | кролик |
| Клональность | поликлональное |
| Рекомбинантное | нет |
| Готовое к использованию | нет |
| Концентрация | 0.24 мг/мл |
| Конъюгат | По запросу: HRP, biotin, PerCP, PE, Cy3, FITC, Cy7, Cy5.5, PE-Cy5, PE-Cy7, PerCp-Cy5.5, APC, Cy5, PE-Cy3, PE-Cy5.5, APC-Cy7, Biotin-APC, FITC-Biotin, TRITC, APC-Cy5, AF488, AF594, AF405, AF555, AF700, AF647, AF750 |
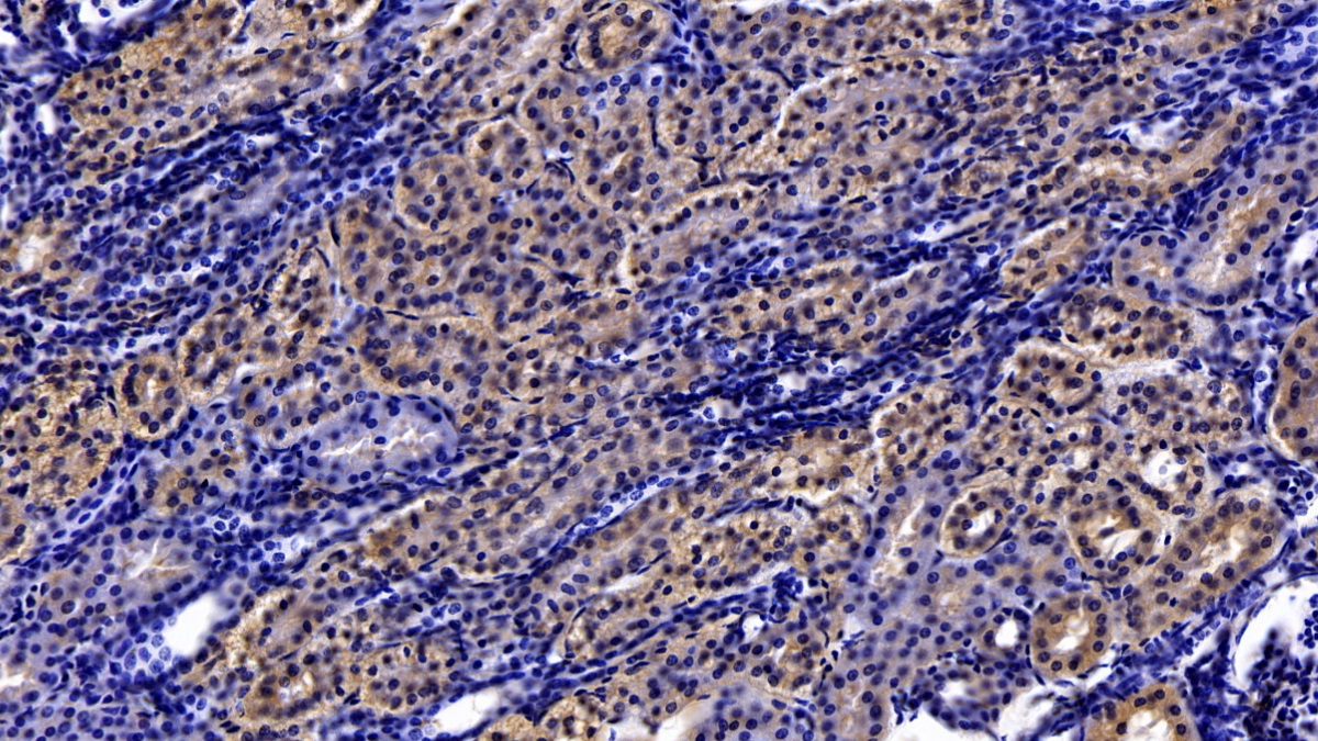
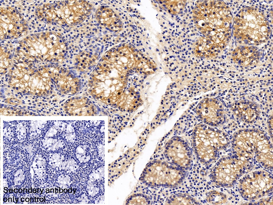
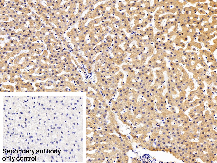
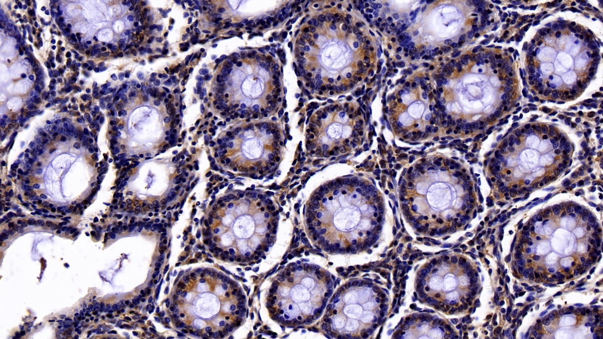
| Валидировано для | IHC WB Иммуногистохимия; Вестерн-блоттинг |
| Рекомендуемые разведения | WB: 0.01-2 мкг/мл; IHC: 5-20 мкг/мл; ICC: 5-20 мкг/мл; Оптимальное разведение определяется конечным потребителем |
| Метод очистки | Антигенспецифическая аффинная хроматография с последующей аффинной хроматографией с белком А |
| Состав буфера | 0.01M PBS, pH7.4, 0.05% Proclin-300, 50% глицерин |
| Условия доставки | термобокс с аккумуляторами холода |
| Условия хранения | Сразу после получения аликвотировать и хранить при -20ºС до 24 месяцев. Для частого использования хранить при +4ºС не более 2 недель. Избегать повторения циклов замерзания/оттаивания |
| Срок хранения | 24 месяца |
| Производитель | Cloud-Clone Corp. |
| Ссылка на страницу товара на сайте производителя | http://www.cloud-clone.com/products/PAA243Hu01.html |
|
Артикул
|
Наименование |
Производитель
|
|---|
|
Артикул
|
Наименование |
Производитель
|
|---|
|
Артикул
|
Наименование |
Производитель
|
|---|
|
Артикул
|
Наименование |
Производитель
|
|---|
|
Артикул
|
Наименование |
Производитель
|
|---|
Акции и предложения
Популярные продукты:
Anti-CD185/CXCR5 Antibody (JB11-40), PerCP (FHD99924)
Источник (хозяин): кролик
Реактивность подтвержденная: человек, мышь, крыса
Валидировано для: FCM, WB
Реактивность подтвержденная: человек, мышь, крыса
Валидировано для: FCM, WB
Chicken Tropomyosin Alpha 4 chain ELISA kit (E12T0895)
Организм: курица
Bovine Tropomyosin Alpha 4 chain ELISA kit (E11T0895)
Организм: корова
InVivoMAb Anti-Human/Mouse CD191/CCR1 Antibody (Iv0288) (VMD99301)
Источник (хозяин): мышь
Реактивность подтвержденная: человек, мышь
Валидировано для: ELISA, FCM, NEUT
Реактивность подтвержденная: человек, мышь
Валидировано для: ELISA, FCM, NEUT
Anti-Mouse EDA1 Antibody (Fs0332) (VMK86401)
Источник (хозяин): мышь
Реактивность подтвержденная: мышь
Валидировано для: ELISA, FCM, NEUT, WB
Реактивность подтвержденная: мышь
Валидировано для: ELISA, FCM, NEUT, WB
Monoclonal Antibody to Nexilin (NEXN) (MAH548Mu21)
Источник (хозяин): мышь
Реактивность подтвержденная: мышь
Валидировано для: WB
Реактивность подтвержденная: мышь
Валидировано для: WB

