| UNIPROT | Q9Y285 |
| Иммуноген | RPG123Hu01-Recombinant Phenylalanyl tRNA Synthetase Alpha (FARSa) |
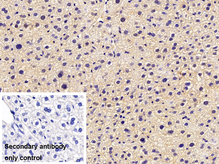
Polyclonal Antibody to Phenylalanyl tRNA Synthetase Alpha (FARSa) (PAG123Hu01)
Реактивность подтвержденная:
человек
Источник (хозяин):
кролик
Валидировано для:
IHC
WB
Характеристики
Техническое описание
| Русское название | PAG123Hu01 Поликлональное антитело к FARSa (человек) <Cloud-Clone,Китай> |
| Каталожный номер | PAG123Hu01 |
| Название антигена | Phenylalanyl tRNA Synthetase Alpha (FARSa) |
| UNIPROT | Q9Y285 |
| Иммуноген | RPG123Hu01-Recombinant Phenylalanyl tRNA Synthetase Alpha (FARSa) |
| Английские синонимы | CML33, FARSL, FARSLA, FRSA, PheHA, Phenylalanine tRNA Ligase 1,Alpha,Cytoplasmic |
Реактивность подтвержденная Нужна другая реактивность? |
человек |
| Источник (хозяин) | кролик |
| Клональность | поликлональное |
| Рекомбинантное | нет |
| Готовое к использованию | нет |
| Концентрация | 500 мкг/мл |
| Конъюгат | По запросу: HRP, biotin, PerCP, PE, Cy3, FITC, Cy7, Cy5.5, PE-Cy5, PE-Cy7, PerCp-Cy5.5, APC, Cy5, PE-Cy3, PE-Cy5.5, APC-Cy7, Biotin-APC, FITC-Biotin, TRITC, APC-Cy5, AF488, AF594, AF405, AF555, AF700, AF647, AF750 |
| Валидировано для | IHC WB Иммуногистохимия; Вестерн-блоттинг |
| Рекомендуемые разведения | WB: 0.2-2 мкг/мл; 1:250-2500; IHC: 5-20 мкг/мл; 1:25-100; ICC: 5-20 мкг/мл; 1:25-100; Оптимальное разведение определяется конечным потребителем |
| Метод очистки | Антигенспецифическая аффинная хроматография с последующей аффинной хроматографией с белком А |
| Состав буфера | PBS, pH7.4, 0.02% NaN3, 50% глицерин |
| Условия доставки | термобокс с аккумуляторами холода |
| Условия хранения | Сразу после получения аликвотировать и хранить при -20ºС до 24 месяцев. Для частого использования хранить при +4ºС не более 2 недель. Избегать повторения циклов замерзания/оттаивания |
| Срок хранения | 24 месяца |
| Производитель | Cloud-Clone Corp. |
| Ссылка на страницу товара на сайте производителя | http://www.cloud-clone.com/products/PAG123Hu01.html |
|
Артикул
|
Наименование |
Производитель
|
|---|
Акции и предложения
Популярные продукты:
Anti-IKZF1 Antibody (R3S45) (RHG52102)
Источник (хозяин): мышь
Реактивность подтвержденная: человек
Валидировано для: ELISA, FCM, IF
Реактивность подтвержденная: человек
Валидировано для: ELISA, FCM, IF
Anti-PRKCD Antibody (R3R16) (RHG05506)
Источник (хозяин): мышь
Реактивность подтвержденная: человек
Валидировано для: IHC, IP, WB
Реактивность подтвержденная: человек
Валидировано для: IHC, IP, WB
Polyclonal Antibody to Phenylalanyl tRNA Synthetase Alpha (FARSa) (PAG123Hu01)
Источник (хозяин): кролик
Реактивность подтвержденная: человек
Валидировано для: IHC, WB
Реактивность подтвержденная: человек
Валидировано для: IHC, WB
Polyclonal Antibody to Interleukin 4 (IL4) (PAA077Ov01)
Источник (хозяин): кролик
Реактивность подтвержденная: овца
Валидировано для: ICC, IHC, IP, WB
Реактивность подтвержденная: овца
Валидировано для: ICC, IHC, IP, WB
Polyclonal Antibody to Polymeric Immunoglobulin Receptor (PIGR) (PAB074Mu01)
Источник (хозяин): кролик
Реактивность подтвержденная: мышь
Валидировано для: IHC
Реактивность подтвержденная: мышь
Валидировано для: IHC

