| UNIPROT | P00558 |
| Иммуноген | RPG304Hu01-Recombinant Phosphoglycerate Kinase 1 (PGK1) |
Polyclonal Antibody to Phosphoglycerate Kinase 1 (PGK1) (PAG304Hu01)
Реактивность подтвержденная:
человек
Источник (хозяин):
кролик
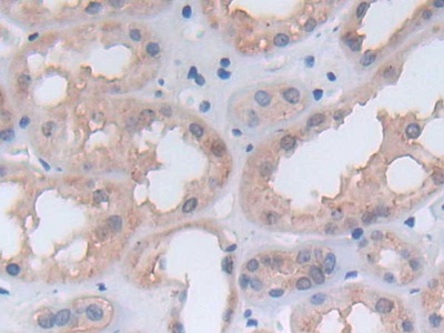
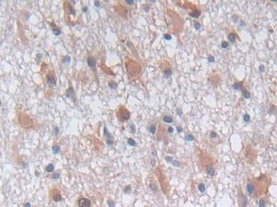
Валидировано для:
IHC
WB
Характеристики
Техническое описание
| Русское название | PAG304Hu01 Поликлональное антитело к PGK1 (человек) <Cloud-Clone,Китай> |
| Каталожный номер | PAG304Hu01 |
| Название антигена | Phosphoglycerate Kinase 1 (PGK1) |
| UNIPROT | P00558 |
| Иммуноген | RPG304Hu01-Recombinant Phosphoglycerate Kinase 1 (PGK1) |
| Английские синонимы | MIG10, PGKA, PRP 2, Cell migration-inducing gene 10 protein, Primer recognition protein 2 |
Реактивность подтвержденная Нужна другая реактивность? |
человек |
| Реактивность предсказываемая | мышь |
| Источник (хозяин) | кролик |
| Клональность | поликлональное |
| Рекомбинантное | нет |
| Готовое к использованию | нет |
| Концентрация | 0.5 мг/мл |
| Конъюгат | По запросу: HRP, biotin, PerCP, PE, Cy3, FITC, Cy7, Cy5.5, PE-Cy5, PE-Cy7, PerCp-Cy5.5, APC, Cy5, PE-Cy3, PE-Cy5.5, APC-Cy7, Biotin-APC, FITC-Biotin, TRITC, APC-Cy5, AF488, AF594, AF405, AF555, AF700, AF647, AF750 |
| Валидировано для | IHC WB Иммуногистохимия; Вестерн-блоттинг |
| Рекомендуемые разведения | WB: 0.01-2 мкг/мл; IHC: 5-30 мкг/мл; IF: 5-20 мкг/мл; Оптимальное разведение определяется конечным потребителем |
| Метод очистки | Антигенспецифическая аффинная хроматография с последующей аффинной хроматографией с белком А |
| Состав буфера | 0.01M PBS, pH7.4, 0.05% Proclin-300, 50% глицерин |
| Условия доставки | термобокс с аккумуляторами холода |
| Условия хранения | Сразу после получения аликвотировать и хранить при -20ºС до 24 месяцев. Для частого использования хранить при +4ºС не более 2 недель. Избегать повторения циклов замерзания/оттаивания |
| Срок хранения | 24 месяца |
| Производитель | Cloud-Clone Corp. |
| Ссылка на страницу товара на сайте производителя | http://www.cloud-clone.com/products/PAG304Hu01.html |
|
Артикул
|
Наименование |
Производитель
|
|---|
|
Артикул
|
Наименование |
Производитель
|
|---|
Акции и предложения
Популярные продукты:
Monoclonal Antibody to Pepsinogen A (PGA) (MAA165Ra22)
Источник (хозяин): мышь
Реактивность подтвержденная: крыса
Валидировано для: WB
Реактивность подтвержденная: крыса
Валидировано для: WB
Chicken Glycocalicin ELISA kit (E12G0097)
Организм: курица
Anti-HIV-2 p26 Antibody (SAb2369) (RVV19309)
Источник (хозяин): мышь
Реактивность подтвержденная: вирусы
Валидировано для: CLIA, ELISA
Реактивность подтвержденная: вирусы
Валидировано для: CLIA, ELISA
Anti-GGGGS Linker Antibody (R4E06) (RGP16001)
Источник (хозяин): кролик
Реактивность подтвержденная: для всех
Валидировано для: ELISA, FCM, ICC, IF, IHC, WB
Реактивность подтвержденная: для всех
Валидировано для: ELISA, FCM, ICC, IF, IHC, WB
Sheep 14-3-3 protein gamma(YWHAG) ELISA kit (E14Y0006)
Организм: овца
Porcine 14-3-3 protein gamma(YWHAG) ELISA kit (E07Y0006)
Организм: свинья

