| UNIPROT | Q9NRX4 |
| Иммуноген | RPH413Hu01-Recombinant Phosphohistidine Phosphatase 1 (PHPT1) |
Polyclonal Antibody to Phosphohistidine Phosphatase 1 (PHPT1) (PAH413Hu01)
Реактивность подтвержденная:
человек
Источник (хозяин):
кролик
Валидировано для:
IHC
WB
Характеристики
Техническое описание
| Русское название | PAH413Hu01 Поликлональное антитело к PHPT1 (человек) <Cloud-Clone,Китай> |
| Каталожный номер | PAH413Hu01 |
| Название антигена | Phosphohistidine Phosphatase 1 (PHPT1) |
| UNIPROT | Q9NRX4 |
| Иммуноген | RPH413Hu01-Recombinant Phosphohistidine Phosphatase 1 (PHPT1) |
| Английские синонимы | PHP14, Phosphohistidine Phosphatase 14kDa, Sex-Regulated Protein Janus-a, Protein janus-A homolog |
Реактивность подтвержденная Нужна другая реактивность? |
человек |
| Реактивность предсказываемая | мышь, крыса |
| Источник (хозяин) | кролик |
| Клональность | поликлональное |
| Рекомбинантное | нет |
| Готовое к использованию | нет |
| Концентрация | 500 мкг/мл |
| Конъюгат | По запросу: HRP, biotin, PerCP, PE, Cy3, FITC, Cy7, Cy5.5, PE-Cy5, PE-Cy7, PerCp-Cy5.5, APC, Cy5, PE-Cy3, PE-Cy5.5, APC-Cy7, Biotin-APC, FITC-Biotin, TRITC, APC-Cy5, AF488, AF594, AF405, AF555, AF700, AF647, AF750 |
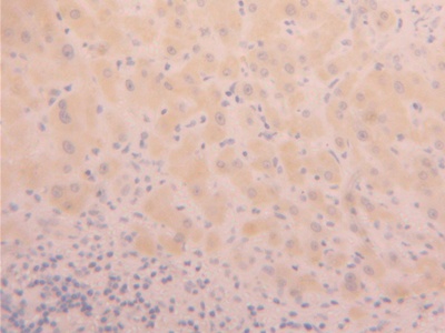
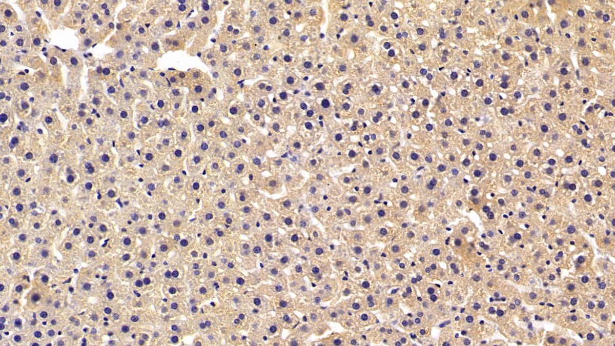
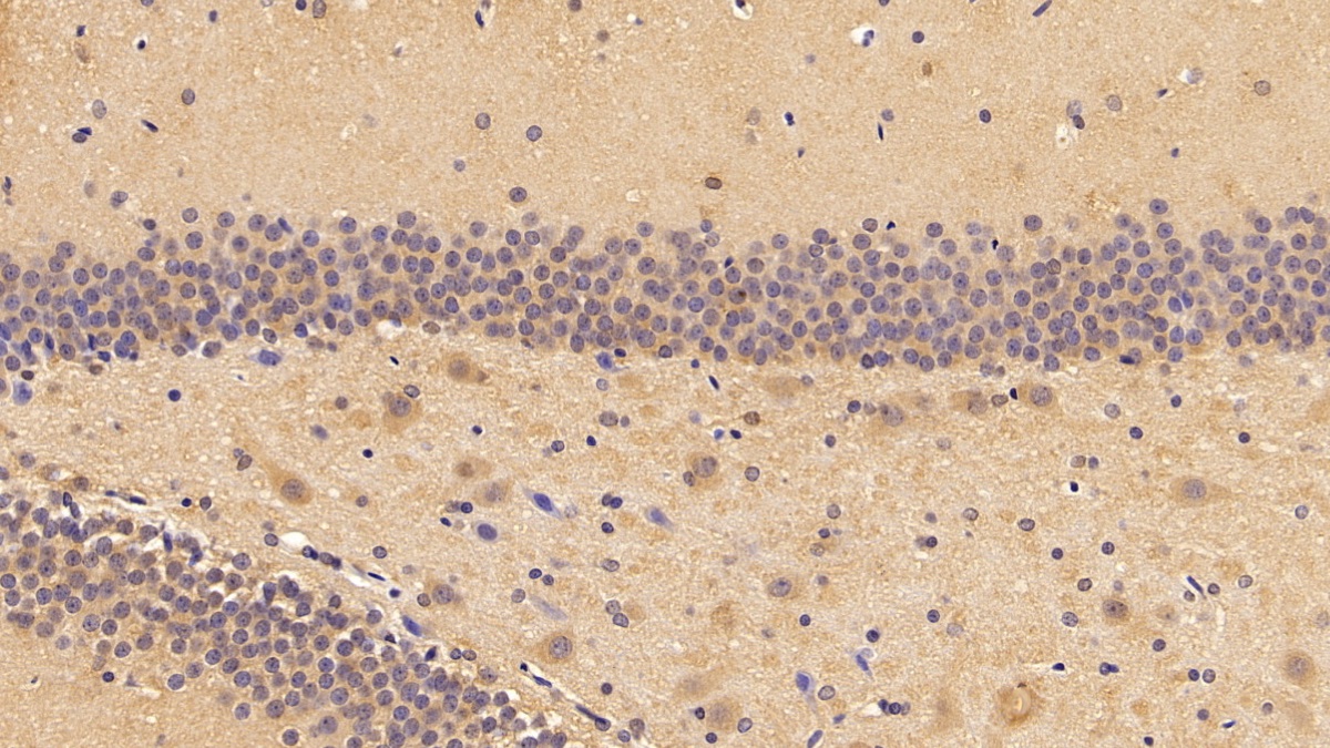
| Валидировано для | IHC WB Иммуногистохимия; Вестерн-блоттинг |
| Рекомендуемые разведения | WB: 0.01-2 мкг/мл; IHC: 5-20 мкг/мл; ICC: 5-20 мкг/мл; Оптимальное разведение определяется конечным потребителем |
| Метод очистки | Антигенспецифическая аффинная хроматография с последующей аффинной хроматографией с белком А |
| Состав буфера | 0.01M PBS, pH7.4, 0.05% Proclin-300, 50% глицерин |
| Условия доставки | термобокс с аккумуляторами холода |
| Условия хранения | Сразу после получения аликвотировать и хранить при -20ºС до 24 месяцев. Для частого использования хранить при +4ºС не более 2 недель. Избегать повторения циклов замерзания/оттаивания |
| Срок хранения | 24 месяца |
| Производитель | Cloud-Clone Corp. |
| Ссылка на страницу товара на сайте производителя | http://www.cloud-clone.com/products/PAH413Hu01.html |
|
Артикул
|
Наименование |
Производитель
|
|---|
|
Артикул
|
Наименование |
Производитель
|
|---|
|
Артикул
|
Наименование |
Производитель
|
|---|
|
Артикул
|
Наименование |
Производитель
|
|---|
Акции и предложения
Популярные продукты:
ELISA Kit DIY Materials for Methionine Sulfoxide Reductase A (MSRA) (KSC629Hu01)
Организм: человек
Диапазон определения: 0.156-10 нг/мл
Чувствительность: 0.055 нг/мл
Диапазон определения: 0.156-10 нг/мл
Чувствительность: 0.055 нг/мл
Sheep AF4/FMR2 family member 4(AFF4) ELISA kit (E14A1303)
Организм: овца
Rabbit Cystatin F(CST7) ELISA kit (E04C2126)
Организм: кролик
Rat Cortexin 1(CTXN1) ELISA kit (E02C2175)
Организм: крыса
Monkey Mitochondrial fission 1 protein ELISA kit (E09F0458)
Организм: обезьяна
Mouse Centromere protein U(MLF1IP) ELISA kit (E03C0942)
Организм: мышь

