| UNIPROT | P13667 |
| Иммуноген | RPD774Hu01-Recombinant Protein Disulfide Isomerase A4 (PDIA4) |
Polyclonal Antibody to Protein Disulfide Isomerase A4 (PDIA4) (PAD774Hu01)
Реактивность подтвержденная:
человек
Источник (хозяин):
кролик
Валидировано для:
IHC
WB
Характеристики
Техническое описание
| Русское название | PAD774Hu01 Поликлональное антитело к PDIA4 (человек) <Cloud-Clone,Китай> |
| Каталожный номер | PAD774Hu01 |
| Название антигена | Protein Disulfide Isomerase A4 (PDIA4) |
| UNIPROT | P13667 |
| Иммуноген | RPD774Hu01-Recombinant Protein Disulfide Isomerase A4 (PDIA4) |
| Английские синонимы | PDI-A4, ERP70, ERP72, Protein Disulfide Isomerase-Associated 4, Endoplasmic reticulum resident protein 70 |
Реактивность подтвержденная Нужна другая реактивность? |
человек |
| Реактивность предсказываемая | свинья |
| Источник (хозяин) | кролик |
| Клональность | поликлональное |
| Рекомбинантное | нет |
| Готовое к использованию | нет |
| Концентрация | 0.5 мг/мл |
| Конъюгат | По запросу: HRP, biotin, PerCP, PE, Cy3, FITC, Cy7, Cy5.5, PE-Cy5, PE-Cy7, PerCp-Cy5.5, APC, Cy5, PE-Cy3, PE-Cy5.5, APC-Cy7, Biotin-APC, FITC-Biotin, TRITC, APC-Cy5, AF488, AF594, AF405, AF555, AF700, AF647, AF750 |
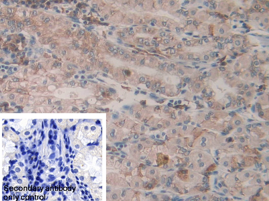
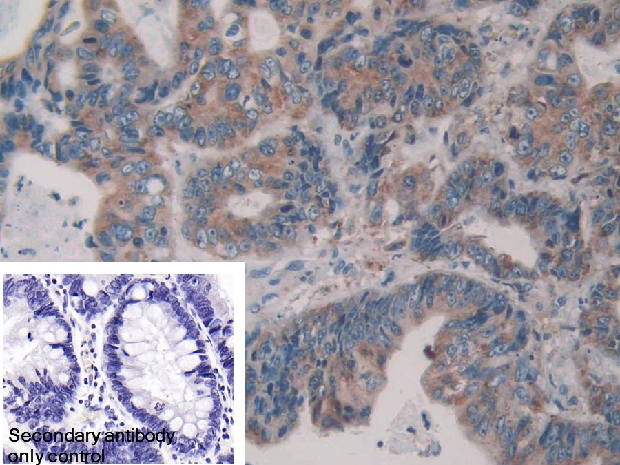
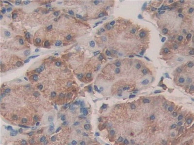
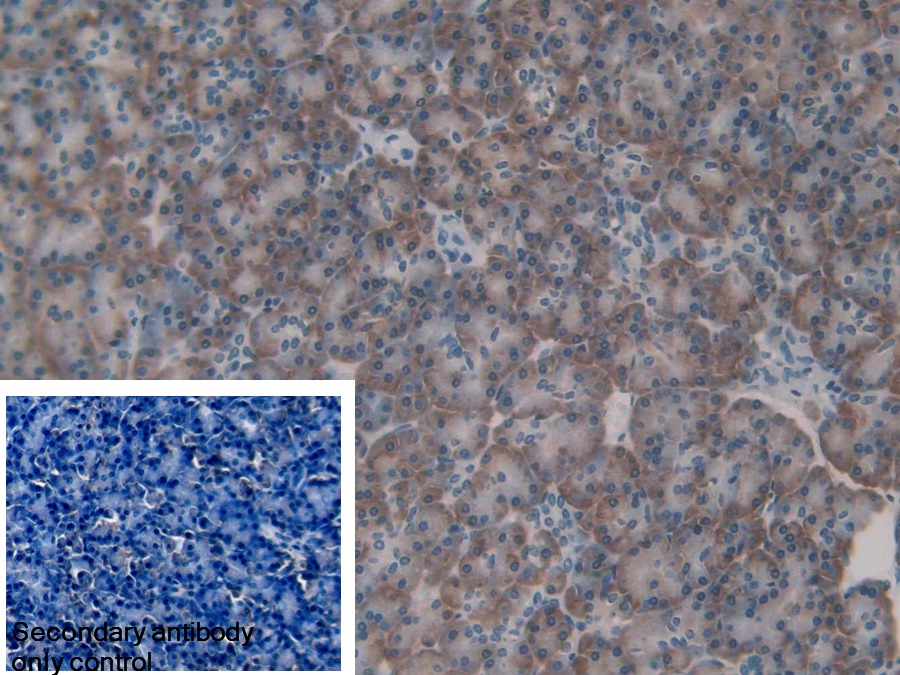
| Валидировано для | IHC WB Иммуногистохимия; Вестерн-блоттинг |
| Рекомендуемые разведения | WB: 0.5-3 мкг/мл; IHC: 5-20 мкг/мл; IF: 5-20 мкг/мл; Оптимальное разведение определяется конечным потребителем |
| Метод очистки | Антигенспецифическая аффинная хроматография с последующей аффинной хроматографией с белком А |
| Состав буфера | 0.01M PBS, pH7.4, 0.05% Proclin-300, 50% глицерин |
| Условия доставки | термобокс с аккумуляторами холода |
| Условия хранения | Сразу после получения аликвотировать и хранить при -20ºС до 24 месяцев. Для частого использования хранить при +4ºС не более 2 недель. Избегать повторения циклов замерзания/оттаивания |
| Срок хранения | 24 месяца |
| Производитель | Cloud-Clone Corp. |
| Ссылка на страницу товара на сайте производителя | http://www.cloud-clone.com/products/PAD774Hu01.html |
|
Артикул
|
Наименование |
Производитель
|
|---|
|
Артикул
|
Наименование |
Производитель
|
|---|
|
Артикул
|
Наименование |
Производитель
|
|---|
|
Артикул
|
Наименование |
Производитель
|
|---|
Акции и предложения
Популярные продукты:
Anti-GATA Binding Protein 3 (GATA3) Monoclonal Antibody (FAA410Hu02)
Источник (хозяин): мышь
Реактивность подтвержденная: человек
Валидировано для: FCM
Реактивность подтвержденная: человек
Валидировано для: FCM
Multiplex Assay Kit for Scavenger Receptor Class B Member 1 (SCARB1) (LMH194Mu)
Организм: мышь
Диапазон определения: 0.01-10 нг/мл
Чувствительность: 0.003 нг/мл
Диапазон определения: 0.01-10 нг/мл
Чувствительность: 0.003 нг/мл
Human β Endorphin ELISA kit (E01E0181)
Организм: человек
Диапазон определения: 5-100 нг/мл
Чувствительность: 1 нг/мл
Диапазон определения: 5-100 нг/мл
Чувствительность: 1 нг/мл
Recombinant Human CMBL Protein (His Tag) (PKSH031130)
Источник (хозяин): E.coli
Организм: человек
Фрагмент: Met 1-Met 245
Теги: N-His
Биоактивность: нет
Организм: человек
Фрагмент: Met 1-Met 245
Теги: N-His
Биоактивность: нет
Recombinant Human CMPK1 Protein (His Tag) (PKSH030319)
Источник (хозяин): клетки насекомых
Организм: человек
Фрагмент: Met 1-Gly 196
Теги: N-His
Биоактивность: нет
Организм: человек
Фрагмент: Met 1-Gly 196
Теги: N-His
Биоактивность: нет
Recombinant Human CNDP1 Protein (His Tag) (PKSH031891)
Источник (хозяин): HEK293
Организм: человек
Фрагмент: Ser27-His507
Теги: C-His
Биоактивность: да
Организм: человек
Фрагмент: Ser27-His507
Теги: C-His
Биоактивность: да

