| UNIPROT | Q8K183 |
| Иммуноген | RPB724Mu01-Recombinant Pyridoxal Kinase (PDXK) |
Polyclonal Antibody to Pyridoxal Kinase (PDXK) (PAB724Mu01)
Реактивность подтвержденная:
мышь
Источник (хозяин):
кролик
Валидировано для:
IHC
WB
Характеристики
Техническое описание
| Русское название | PAB724Mu01 Поликлональное антитело к PDXK (мышь) <Cloud-Clone,Китай> |
| Каталожный номер | PAB724Mu01 |
| Название антигена | Pyridoxal Kinase (PDXK) |
| UNIPROT | Q8K183 |
| Иммуноген | RPB724Mu01-Recombinant Pyridoxal Kinase (PDXK) |
| Английские синонимы | PKH, PNK, C21orf124, C21orf97, PRED79, Pyridoxine Kinase, Vitamin B6 Kinase |
Реактивность подтвержденная Нужна другая реактивность? |
мышь |
| Реактивность предсказываемая | человек, крыса |
| Источник (хозяин) | кролик |
| Клональность | поликлональное |
| Рекомбинантное | нет |
| Готовое к использованию | нет |
| Концентрация | 0.92 мг/мл |
| Конъюгат | По запросу: HRP, biotin, PerCP, PE, Cy3, FITC, Cy7, Cy5.5, PE-Cy5, PE-Cy7, PerCp-Cy5.5, APC, Cy5, PE-Cy3, PE-Cy5.5, APC-Cy7, Biotin-APC, FITC-Biotin, TRITC, APC-Cy5, AF488, AF594, AF405, AF555, AF700, AF647, AF750 |
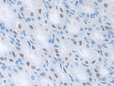
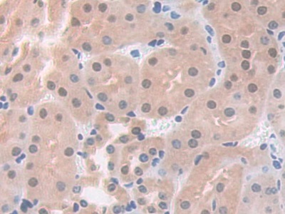
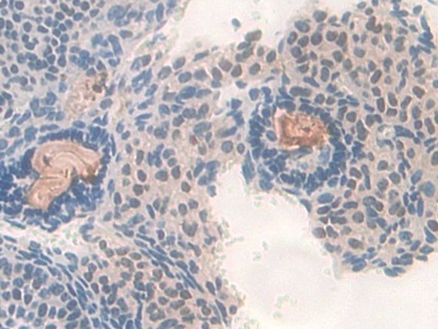
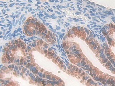
| Валидировано для | IHC WB Иммуногистохимия; Вестерн-блоттинг |
| Рекомендуемые разведения | WB: 0.01-2 мкг/мл; 1:460-1800; IHC: 5-20 мкг/мл; 1:46-180; ICC: 5-20 мкг/мл; 1:46-180; Оптимальное разведение определяется конечным потребителем |
| Метод очистки | Антигенспецифическая аффинная хроматография с последующей аффинной хроматографией с белком А |
| Состав буфера | PBS, pH7.4, 0.02% NaN3, 50% глицерин |
| Условия доставки | термобокс с аккумуляторами холода |
| Условия хранения | Сразу после получения аликвотировать и хранить при -20ºС до 24 месяцев. Для частого использования хранить при +4ºС не более 2 недель. Избегать повторения циклов замерзания/оттаивания |
| Срок хранения | 24 месяца |
| Производитель | Cloud-Clone Corp. |
| Ссылка на страницу товара на сайте производителя | http://www.cloud-clone.com/products/PAB724Mu01.html |
|
Артикул
|
Наименование |
Производитель
|
|---|
|
Артикул
|
Наименование |
Производитель
|
|---|
|
Артикул
|
Наименование |
Производитель
|
|---|
|
Артикул
|
Наименование |
Производитель
|
|---|
Акции и предложения
Популярные продукты:
Anti-Cytokeratin 18 (CK18) Polyclonal Antibody (FAB231Mu01)
Источник (хозяин): кролик
Реактивность подтвержденная: мышь
Валидировано для: FCM
Реактивность подтвержденная: мышь
Валидировано для: FCM
Monoclonal Antibody to Thrombomodulin (TM) (MAA529Hu26)
Источник (хозяин): мышь
Реактивность подтвержденная: человек
Валидировано для: WB
Реактивность подтвержденная: человек
Валидировано для: WB
Guinea Pig Endoribonuclease Dicer ELISA Kit (E05D0330)
Организм: морская свинка
Rat Ceramide kinase(CERK) ELISA kit (E02C1622)
Организм: крыса

