| UNIPROT | O35331 |
| Иммуноген | RPB724Ra01-Recombinant Pyridoxal Kinase (PDXK) |
Polyclonal Antibody to Pyridoxal Kinase (PDXK) (PAB724Ra01)
Реактивность подтвержденная:
крыса
Источник (хозяин):
кролик
Валидировано для:
IHC
WB
Характеристики
Техническое описание
| Русское название | PAB724Ra01 Поликлональное антитело к PDXK (крыса) <Cloud-Clone,Китай> |
| Каталожный номер | PAB724Ra01 |
| Название антигена | Pyridoxal Kinase (PDXK) |
| UNIPROT | O35331 |
| Иммуноген | RPB724Ra01-Recombinant Pyridoxal Kinase (PDXK) |
| Английские синонимы | PKH, PNK, C21orf124, C21orf97, PRED79, Pyridoxine Kinase, Vitamin B6 Kinase |
Реактивность подтвержденная Нужна другая реактивность? |
крыса |
| Реактивность предсказываемая | человек, мышь |
| Источник (хозяин) | кролик |
| Клональность | поликлональное |
| Рекомбинантное | нет |
| Готовое к использованию | нет |
| Концентрация | 0.5 мг/мл |
| Конъюгат | По запросу: HRP, biotin, PerCP, PE, Cy3, FITC, Cy7, Cy5.5, PE-Cy5, PE-Cy7, PerCp-Cy5.5, APC, Cy5, PE-Cy3, PE-Cy5.5, APC-Cy7, Biotin-APC, FITC-Biotin, TRITC, APC-Cy5, AF488, AF594, AF405, AF555, AF700, AF647, AF750 |
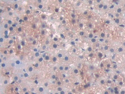
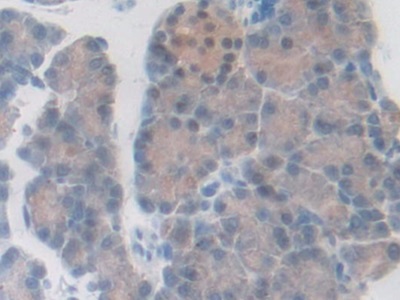
| Валидировано для | IHC WB Иммуногистохимия; Вестерн-блоттинг |
| Рекомендуемые разведения | WB: 0.5-2 мкг/мл; 1:250-1000; IHC: 5-20 мкг/мл; 1:25-100; ICC: 5-20 мкг/мл; 1:25-100; Оптимальное разведение определяется конечным потребителем |
| Метод очистки | Антигенспецифическая аффинная хроматография с последующей аффинной хроматографией с белком А |
| Состав буфера | PBS, pH7.4, 0.02% NaN3, 50% глицерин |
| Условия доставки | термобокс с аккумуляторами холода |
| Условия хранения | Сразу после получения аликвотировать и хранить при -20ºС до 24 месяцев. Для частого использования хранить при +4ºС не более 2 недель. Избегать повторения циклов замерзания/оттаивания |
| Срок хранения | 24 месяца |
| Производитель | Cloud-Clone Corp. |
| Ссылка на страницу товара на сайте производителя | http://www.cloud-clone.com/products/PAB724Ra01.html |
|
Артикул
|
Наименование |
Производитель
|
|---|
|
Артикул
|
Наименование |
Производитель
|
|---|
|
Артикул
|
Наименование |
Производитель
|
|---|
|
Артикул
|
Наименование |
Производитель
|
|---|
Акции и предложения
Популярные продукты:
Bovine Ceramide kinase(CERK) ELISA kit (E11C1622)
Организм: корова
Guinea Pig Ceramide kinase(CERK) ELISA kit (E05C1622)
Организм: морская свинка
Guinea Pig calpain 6(CAPN6) ELISA kit (E05C1362)
Организм: морская свинка
Chicken Total Spleen tyosine kinase ELISA kit (E12S0190)
Организм: курица
Sheep Aquaporin-7(AQP7) ELISA kit (E14A1617)
Организм: овца
Canine Pyridoxal kinase(PDXK) ELISA kit (E08P0837)
Организм: собака

