| UNIPROT | Q9BXY4 |
| Иммуноген | RPM173Hu01-Recombinant R-Spondin 3 (RSPO3) |
Polyclonal Antibody to R-Spondin 3 (RSPO3) (PAM173Hu01)
Реактивность подтвержденная:
человек
Источник (хозяин):
кролик
Валидировано для:
IHC
WB
Характеристики
Техническое описание
| Русское название | PAM173Hu01 Поликлональное антитело к RSPO3 (человек) <Cloud-Clone,Китай> |
| Каталожный номер | PAM173Hu01 |
| Название антигена | R-Spondin 3 (RSPO3) |
| UNIPROT | Q9BXY4 |
| Иммуноген | RPM173Hu01-Recombinant R-Spondin 3 (RSPO3) |
| Английские синонимы | CRISTIN1, PWTSR, THSD2, Thrombospondin,Type I,Domain Containing 2, Protein with TSP type-1 repeat, Roof plate-specific spondin-3 |
Реактивность подтвержденная Нужна другая реактивность? |
человек |
| Реактивность предсказываемая | крыса, свинья |
| Источник (хозяин) | кролик |
| Клональность | поликлональное |
| Рекомбинантное | нет |
| Готовое к использованию | нет |
| Концентрация | 0.5 мг/мл |
| Конъюгат | По запросу: HRP, biotin, PerCP, PE, Cy3, FITC, Cy7, Cy5.5, PE-Cy5, PE-Cy7, PerCp-Cy5.5, APC, Cy5, PE-Cy3, PE-Cy5.5, APC-Cy7, Biotin-APC, FITC-Biotin, TRITC, APC-Cy5, AF488, AF594, AF405, AF555, AF700, AF647, AF750 |
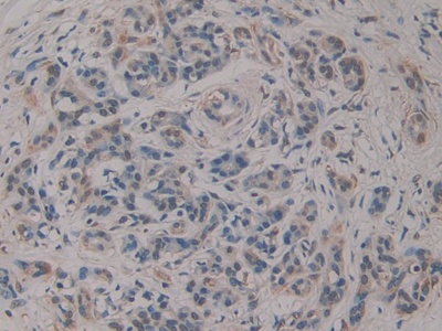
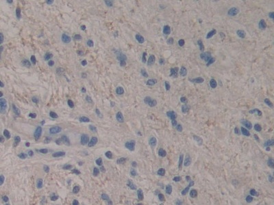
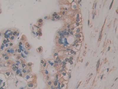
| Валидировано для | IHC WB Иммуногистохимия; Вестерн-блоттинг |
| Рекомендуемые разведения | WB: 0.5-5 мкг/мл; IHC: 5-50 мкг/мл; ICC: 5-50 мкг/мл; Оптимальное разведение определяется конечным потребителем |
| Метод очистки | Антигенспецифическая аффинная хроматография с последующей аффинной хроматографией с белком А |
| Состав буфера | 0.01M PBS, pH7.4, 0.05% Proclin-300, 50% глицерин |
| Условия доставки | термобокс с аккумуляторами холода |
| Условия хранения | Сразу после получения аликвотировать и хранить при -20ºС до 24 месяцев. Для частого использования хранить при +4ºС не более 2 недель. Избегать повторения циклов замерзания/оттаивания |
| Срок хранения | 24 месяца |
| Производитель | Cloud-Clone Corp. |
| Ссылка на страницу товара на сайте производителя | http://www.cloud-clone.com/products/PAM173Hu01.html |
|
Артикул
|
Наименование |
Производитель
|
|---|
|
Артикул
|
Наименование |
Производитель
|
|---|
Акции и предложения
Популярные продукты:
ELISA Kit DIY Materials for Interleukin 31 (IL31) (KSB179Mu01)
Организм: мышь
Диапазон определения: 6.25-400 пг/мл
Чувствительность: 2.36 пг/мл
Диапазон определения: 6.25-400 пг/мл
Чувствительность: 2.36 пг/мл
Monoclonal Antibody to Cluster Of Differentiation 1a (CD1a) (MAB175Hu26)
Источник (хозяин): мышь
Реактивность подтвержденная: человек
Валидировано для: ICC, IF
Реактивность подтвержденная: человек
Валидировано для: ICC, IF
Porcine Endoribonuclease Dicer ELISA Kit (E07D0330)
Организм: свинья
Guinea Pig Astrotactin 1(ASTN1) ELISA kit (E05A1733)
Организм: морская свинка
Bovine Dimethylglycine Dehydrogenase ELISA kit (E11D0562)
Организм: корова
Canine calpain 6(CAPN6) ELISA kit (E08C1362)
Организм: собака

