| UNIPROT | P51606 |
| Иммуноген | RPC764Hu01-Recombinant Renin Binding Protein (RENBP) |
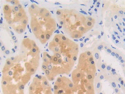
Polyclonal Antibody to Renin Binding Protein (RENBP) (PAC764Hu01)
Реактивность подтвержденная:
человек
Источник (хозяин):
кролик
Валидировано для:
IHC
Характеристики
Техническое описание
| Русское название | PAC764Hu01 Поликлональное антитело к RENBP (человек) <Cloud-Clone,Китай> |
| Каталожный номер | PAC764Hu01 |
| Название антигена | Renin Binding Protein (RENBP) |
| UNIPROT | P51606 |
| Иммуноген | RPC764Hu01-Recombinant Renin Binding Protein (RENBP) |
| Английские синонимы | RBP, RNBP, AGE, N-Acylglucosamine 2-Epimerase, GlcNAc 2-Epimerase, N-Acetyl-D-Glucosamine 2-Epimerase |
Реактивность подтвержденная Нужна другая реактивность? |
человек |
| Реактивность предсказываемая | мышь |
| Источник (хозяин) | кролик |
| Клональность | поликлональное |
| Рекомбинантное | нет |
| Готовое к использованию | нет |
| Концентрация | 0.5 мг/мл |
| Конъюгат | По запросу: HRP, biotin, PerCP, PE, Cy3, FITC, Cy7, Cy5.5, PE-Cy5, PE-Cy7, PerCp-Cy5.5, APC, Cy5, PE-Cy3, PE-Cy5.5, APC-Cy7, Biotin-APC, FITC-Biotin, TRITC, APC-Cy5, AF488, AF594, AF405, AF555, AF700, AF647, AF750 |
| Валидировано для | IHC Иммуногистохимия |
| Рекомендуемые разведения | WB: 0.01-2 мкг/мл; IHC: 5-20 мкг/мл; ICC: 5-20 мкг/мл; Оптимальное разведение определяется конечным потребителем |
| Метод очистки | Антигенспецифическая аффинная хроматография с последующей аффинной хроматографией с белком А |
| Состав буфера | PBS, pH7.4, 0.02% NaN3, 50% глицерин |
| Условия доставки | термобокс с аккумуляторами холода |
| Условия хранения | Сразу после получения аликвотировать и хранить при -20ºС до 24 месяцев. Для частого использования хранить при +4ºС не более 2 недель. Избегать повторения циклов замерзания/оттаивания |
| Срок хранения | 24 месяца |
| Производитель | Cloud-Clone Corp. |
| Ссылка на страницу товара на сайте производителя | http://www.cloud-clone.com/products/PAC764Hu01.html |
|
Артикул
|
Наименование |
Производитель
|
|---|
|
Артикул
|
Наименование |
Производитель
|
|---|
Акции и предложения
Популярные продукты:
Guinea Pig Collagen Type XI Alpha 1 ELISA kit (E05C0342)
Организм: морская свинка
Rabbit Integrin β 6(ITGB6) ELISA kit (E04I0444)
Организм: кролик
Guinea Pig C X C chemokine receptor type 5(CXCR5) ELISA kit (E05C2198)
Организм: морская свинка
Guinea Pig C X C chemokine receptor type 6(CXCR6) ELISA kit (E05C2199)
Организм: морская свинка
Monkey Chemokine C C motif ligand 2 ELISA kit (E09C0231)
Организм: обезьяна

