| UNIPROT | P04843 |
| Иммуноген | RPC769Hu03-Recombinant Ribophorin I (RPN1) |
Polyclonal Antibody to Ribophorin I (RPN1) (PAC769Hu03)
Реактивность подтвержденная:
человек
Источник (хозяин):
кролик
Валидировано для:
IHC
WB
Характеристики
Техническое описание
| Русское название | PAC769Hu03 Поликлональное антитело к RPN1 (человек) <Cloud-Clone,Китай> |
| Каталожный номер | PAC769Hu03 |
| Название антигена | Ribophorin I (RPN1) |
| UNIPROT | P04843 |
| Иммуноген | RPC769Hu03-Recombinant Ribophorin I (RPN1) |
| Английские синонимы | RPNI, OST1, RBPH1, Dolichyl-Diphosphooligosaccharide-Protein Glycosyltransferase Subunit 1, Dolichyl-diphosphooligosaccharide protein glycosyltransferase 67 kDa subunit |
Реактивность подтвержденная Нужна другая реактивность? |
человек |
| Реактивность предсказываемая | мышь, крыса, свинья |
| Источник (хозяин) | кролик |
| Клональность | поликлональное |
| Рекомбинантное | нет |
| Готовое к использованию | нет |
| Концентрация | 500 мкг/мл |
| Конъюгат | По запросу: HRP, biotin, PerCP, PE, Cy3, FITC, Cy7, Cy5.5, PE-Cy5, PE-Cy7, PerCp-Cy5.5, APC, Cy5, PE-Cy3, PE-Cy5.5, APC-Cy7, Biotin-APC, FITC-Biotin, TRITC, APC-Cy5, AF488, AF594, AF405, AF555, AF700, AF647, AF750 |
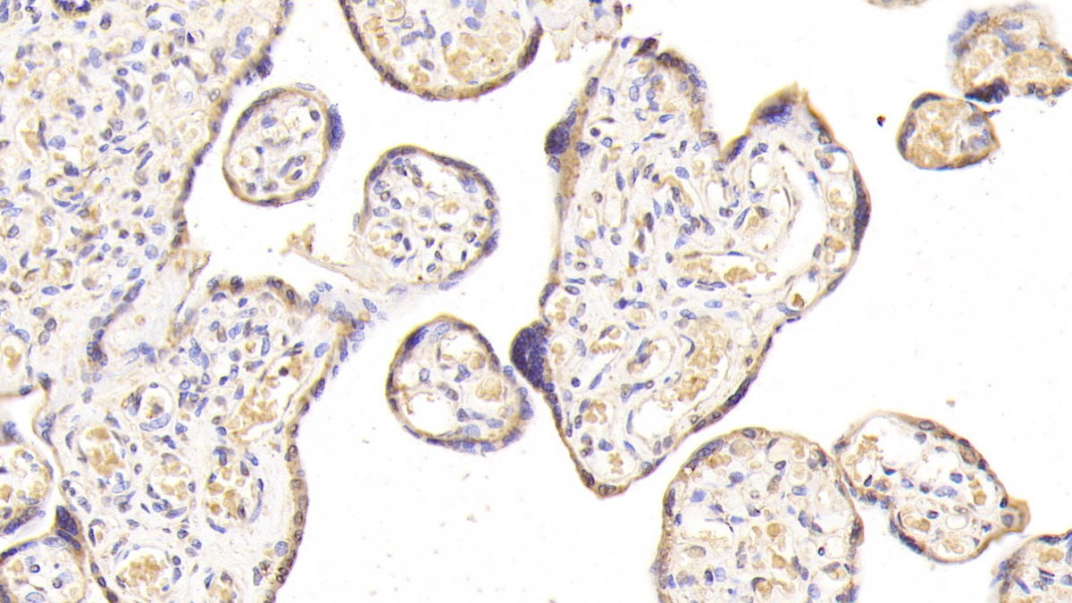
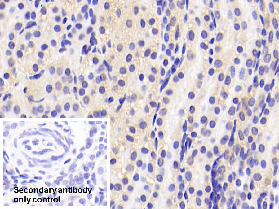
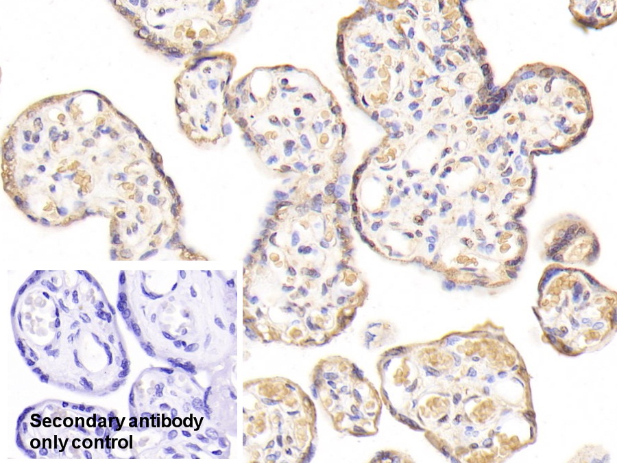
| Валидировано для | IHC WB Иммуногистохимия; Вестерн-блоттинг |
| Рекомендуемые разведения | WB: 0.2-2 мкг/мл; 1:250-2500; IHC: 5-20 мкг/мл; 1:25-100; ICC: 5-20 мкг/мл; 1:25-100; Оптимальное разведение определяется конечным потребителем |
| Метод очистки | Антигенспецифическая аффинная хроматография с последующей аффинной хроматографией с белком А |
| Состав буфера | 0.01M PBS, pH7.4, 0.05% Proclin-300, 50% глицерин |
| Условия доставки | термобокс с аккумуляторами холода |
| Условия хранения | Сразу после получения аликвотировать и хранить при -20ºС до 24 месяцев. Для частого использования хранить при +4ºС не более 2 недель. Избегать повторения циклов замерзания/оттаивания |
| Срок хранения | 24 месяца |
| Производитель | Cloud-Clone Corp. |
| Ссылка на страницу товара на сайте производителя | http://www.cloud-clone.com/products/PAC769Hu03.html |
|
Артикул
|
Наименование |
Производитель
|
|---|
|
Артикул
|
Наименование |
Производитель
|
|---|
|
Артикул
|
Наименование |
Производитель
|
|---|
|
Артикул
|
Наименование |
Производитель
|
|---|
|
Артикул
|
Наименование |
Производитель
|
|---|
Акции и предложения
Популярные продукты:
Chicken Beta-Carotene ELISA Kit (E12B1086)
Организм: курица
Guinea Pig Beta-Carotene ELISA Kit (E05B1086)
Организм: морская свинка
Canine Nurim(NRM) ELISA kit (E08N0565)
Организм: собака
Rat Nurim(NRM) ELISA kit (E02N0565)
Организм: крыса
Mouse Deoxypyridinoline ELISA kit (E03D0033)
Организм: мышь
Диапазон определения: 25-500 нмоль/мл
Чувствительность: 1 нмоль/мл
Диапазон определения: 25-500 нмоль/мл
Чувствительность: 1 нмоль/мл
Anti-Mouse EPOR Antibody (Fs0378) (FMD32810)
Источник (хозяин): мышь
Реактивность подтвержденная: мышь
Валидировано для: ELISA, FCM
Реактивность подтвержденная: мышь
Валидировано для: ELISA, FCM

