| UNIPROT | P22681 |
| Иммуноген | RPE942Hu01-Recombinant Ring Finger Protein 55 (RNF55) |
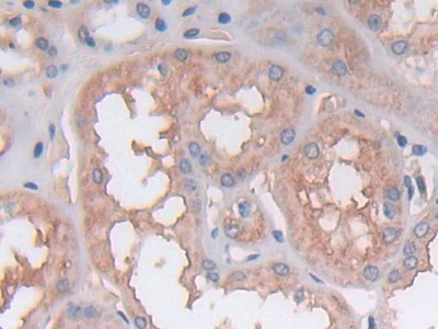
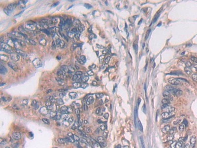
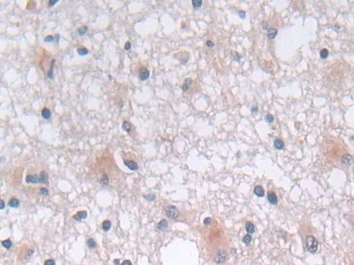
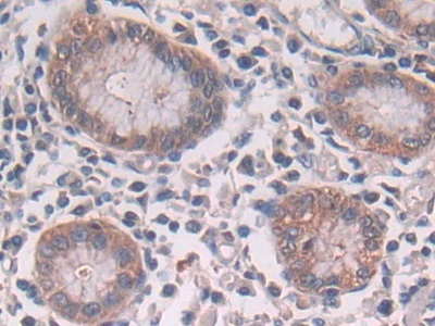
Polyclonal Antibody to Ring Finger Protein 55 (RNF55) (PAE942Hu01)
Реактивность подтвержденная:
человек
Источник (хозяин):
кролик
Валидировано для:
IHC
Характеристики
Техническое описание
| Русское название | PAE942Hu01 Поликлональное антитело к RNF55 (человек) <Cloud-Clone,Китай> |
| Каталожный номер | PAE942Hu01 |
| Название антигена | Ring Finger Protein 55 (RNF55) |
| UNIPROT | P22681 |
| Иммуноген | RPE942Hu01-Recombinant Ring Finger Protein 55 (RNF55) |
| Английские синонимы | CBL, C-CBL, CBL2, Cas-Br-M(Murine)Ecotropic Retroviral Transforming Sequence, Casitas B-lineage Lymphoma, Proto-oncogene c-Cbl, Signal transduction protein CBL |
Реактивность подтвержденная Нужна другая реактивность? |
человек |
| Источник (хозяин) | кролик |
| Клональность | поликлональное |
| Рекомбинантное | нет |
| Готовое к использованию | нет |
| Концентрация | 500 мкг/мл |
| Конъюгат | По запросу: HRP, biotin, PerCP, PE, Cy3, FITC, Cy7, Cy5.5, PE-Cy5, PE-Cy7, PerCp-Cy5.5, APC, Cy5, PE-Cy3, PE-Cy5.5, APC-Cy7, Biotin-APC, FITC-Biotin, TRITC, APC-Cy5, AF488, AF594, AF405, AF555, AF700, AF647, AF750 |
| Валидировано для | IHC Иммуногистохимия |
| Рекомендуемые разведения | WB: 0.2-2 мкг/мл; 1:250-2500; IHC: 5-20 мкг/мл; 1:25-100; ICC: 5-20 мкг/мл; 1:25-100; Оптимальное разведение определяется конечным потребителем |
| Метод очистки | Антигенспецифическая аффинная хроматография с последующей аффинной хроматографией с белком А |
| Состав буфера | 0.01M PBS, pH7.4, 0.05% Proclin-300, 50% глицерин |
| Условия доставки | термобокс с аккумуляторами холода |
| Условия хранения | Сразу после получения аликвотировать и хранить при -20ºС до 24 месяцев. Для частого использования хранить при +4ºС не более 2 недель. Избегать повторения циклов замерзания/оттаивания |
| Срок хранения | 24 месяца |
| Производитель | Cloud-Clone Corp. |
| Ссылка на страницу товара на сайте производителя | http://www.cloud-clone.com/products/PAE942Hu01.html |
|
Артикул
|
Наименование |
Производитель
|
|---|
|
Артикул
|
Наименование |
Производитель
|
|---|
|
Артикул
|
Наименование |
Производитель
|
|---|
|
Артикул
|
Наименование |
Производитель
|
|---|
|
Артикул
|
Наименование |
Производитель
|
|---|
Акции и предложения
Популярные продукты:
ELISA Kit for Interleukin 6 Receptor (IL6R) (SEB815Mu)
Организм: мышь
Диапазон определения: 0.312-20 нг/мл
Чувствительность: 0.125 нг/мл
Диапазон определения: 0.312-20 нг/мл
Чувствительность: 0.125 нг/мл
ELISA Kit DIY Materials for Orexin (OX) (KSA346Mu01)
Организм: мышь
Диапазон определения: 6.17-500 пг/мл
Чувствительность: 2.13 пг/мл
Диапазон определения: 6.17-500 пг/мл
Чувствительность: 2.13 пг/мл
ELISA Kit DIY Materials for Pregnancy Associated Plasma Protein A (PAPPA) (KSA800Hu01)
Организм: человек
Диапазон определения: 31.2-2000 пг/мл
Чувствительность: 11.5 пг/мл
Диапазон определения: 31.2-2000 пг/мл
Чувствительность: 11.5 пг/мл
ELISA Kit for Hepcidin (Hepc) (SEB979Bo)
Организм: корова
Диапазон определения: 31.2-2,000 пг/мл
Чувствительность: 0.117 нг/мл
Диапазон определения: 31.2-2,000 пг/мл
Чувствительность: 0.117 нг/мл
Rat Calsenilin(KCNIP3) ELISA kit (E02C2313)
Организм: крыса
Mouse Copine 7(CPNE7) ELISA kit (E03C2016)
Организм: мышь

