| UNIPROT | F6RUR3 |
| Иммуноген | RPH097Bo01-Recombinant Sulfite Oxidase (SUOX) |
Polyclonal Antibody to Sulfite Oxidase (SUOX) (PAH097Bo01)
Реактивность подтвержденная:
корова
Источник (хозяин):
кролик
Валидировано для:
IHC
WB
Характеристики
Техническое описание
| Русское название | PAH097Bo01 Поликлональное антитело к SUOX (корова) <Cloud-Clone,Китай> |
| Каталожный номер | PAH097Bo01 |
| Название антигена | Sulfite Oxidase (SUOX) |
| UNIPROT | F6RUR3 |
| Иммуноген | RPH097Bo01-Recombinant Sulfite Oxidase (SUOX) |
Реактивность подтвержденная Нужна другая реактивность? |
корова |
| Реактивность предсказываемая | мышь, крыса |
| Источник (хозяин) | кролик |
| Клональность | поликлональное |
| Рекомбинантное | нет |
| Готовое к использованию | нет |
| Концентрация | 500 мкг/мл |
| Конъюгат | По запросу: HRP, biotin, PerCP, PE, Cy3, FITC, Cy7, Cy5.5, PE-Cy5, PE-Cy7, PerCp-Cy5.5, APC, Cy5, PE-Cy3, PE-Cy5.5, APC-Cy7, Biotin-APC, FITC-Biotin, TRITC, APC-Cy5, AF488, AF594, AF405, AF555, AF700, AF647, AF750 |
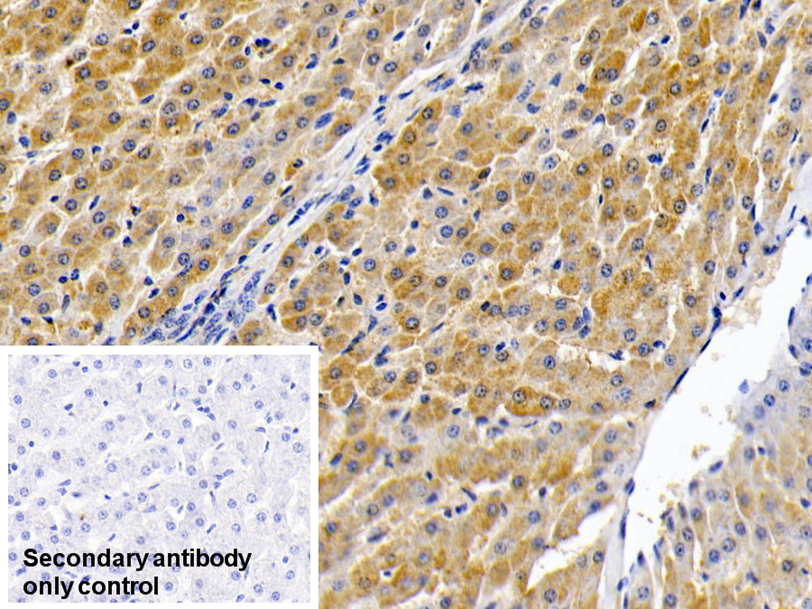
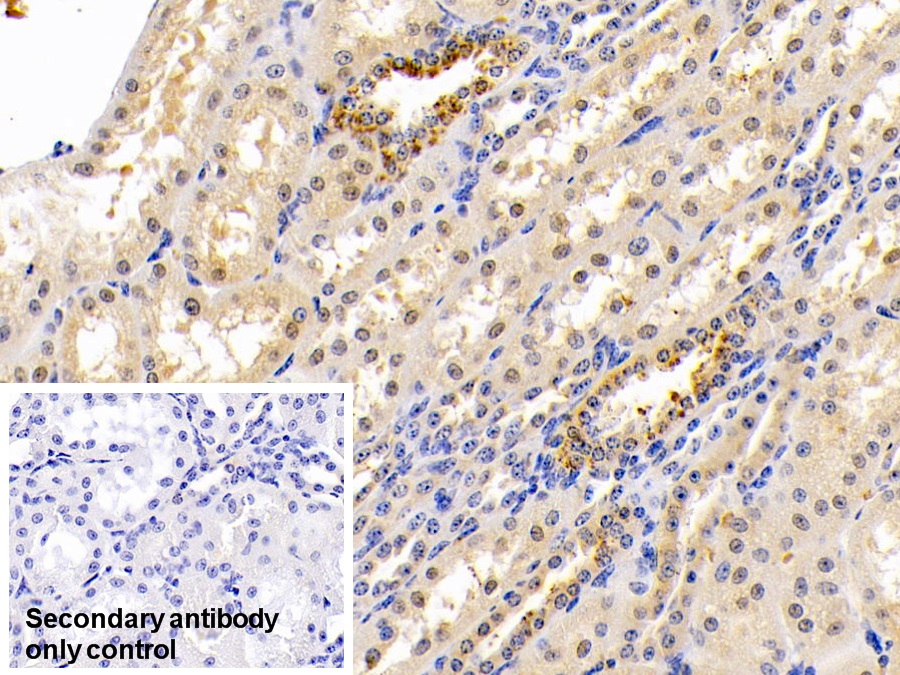
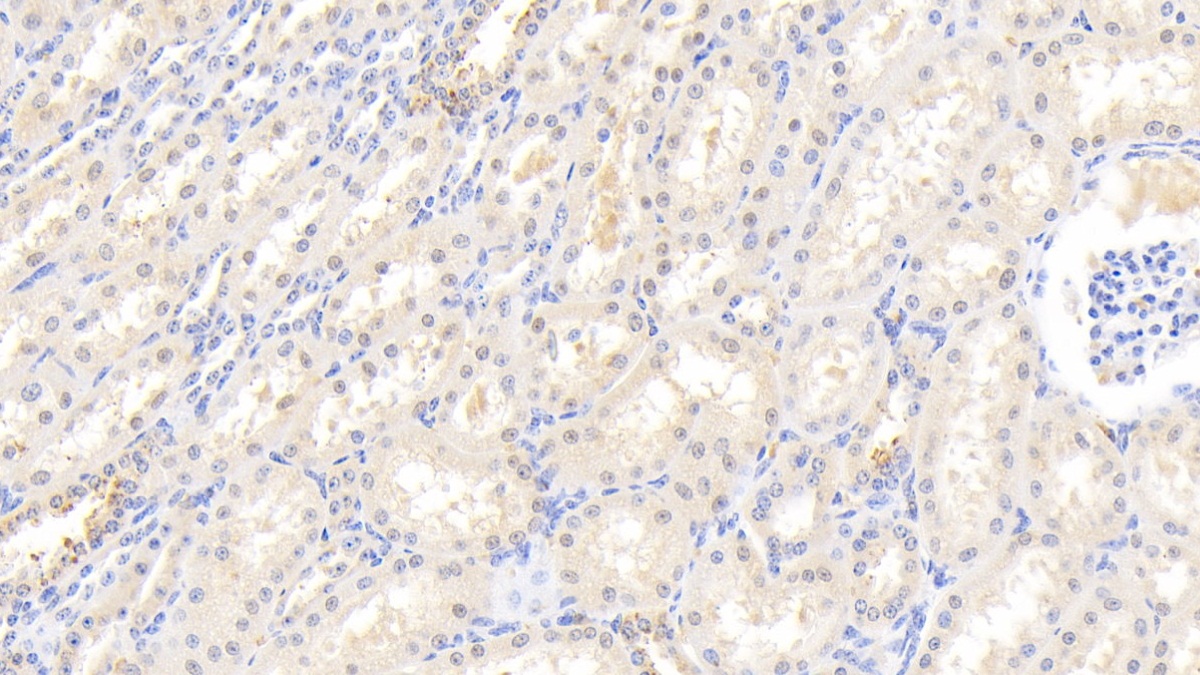
| Валидировано для | IHC WB Иммуногистохимия; Вестерн-блоттинг |
| Рекомендуемые разведения | WB: 0.2-2 мкг/мл; 1:250-2500; IHC: 5-20 мкг/мл; 1:25-100; ICC: 5-20 мкг/мл; 1:25-100; Оптимальное разведение определяется конечным потребителем |
| Метод очистки | Антигенспецифическая аффинная хроматография с последующей аффинной хроматографией с белком А |
| Состав буфера | 0.01M PBS, pH7.4, 0.05% Proclin-300, 50% глицерин |
| Условия доставки | термобокс с аккумуляторами холода |
| Условия хранения | Сразу после получения аликвотировать и хранить при -20ºС до 24 месяцев. Для частого использования хранить при +4ºС не более 2 недель. Избегать повторения циклов замерзания/оттаивания |
| Срок хранения | 24 месяца |
| Производитель | Cloud-Clone Corp. |
| Ссылка на страницу товара на сайте производителя | http://www.cloud-clone.com/products/PAH097Bo01.html |
|
Артикул
|
Наименование |
Производитель
|
|---|
|
Артикул
|
Наименование |
Производитель
|
|---|
|
Артикул
|
Наименование |
Производитель
|
|---|
|
Артикул
|
Наименование |
Производитель
|
|---|
|
Артикул
|
Наименование |
Производитель
|
|---|
|
Артикул
|
Наименование |
Производитель
|
|---|
Акции и предложения
Популярные продукты:
Chicken Sulfite oxidase, mitochondrial(SUOX) ELISA kit (E12S0425)
Организм: курица
Sheep Pyridoxal kinase(PDXK) ELISA kit (E14P0837)
Организм: овца
Chicken Heat Shock Protein 40 ELISA kit (E12H0292)
Организм: курица
Mouse Active caspase 3 ELISA kit (E03A0015)
Организм: мышь
Диапазон определения: 1-25 нг/мл
Чувствительность: 0.1 нг/мл
Диапазон определения: 1-25 нг/мл
Чувствительность: 0.1 нг/мл
Recombinant LSDV RPO30/LSDV035 Protein, N-His (YVV32501)
Источник (хозяин): E.coli
Организм: вирусы
Фрагмент: Asp19-Leu148
Теги: N-His
Биоактивность: нет
Организм: вирусы
Фрагмент: Asp19-Leu148
Теги: N-His
Биоактивность: нет
Biotin-Linked Polyclonal Antibody to Kallikrein 7 (KLK7) (LAB910Ra71)
Источник (хозяин): кролик
Реактивность подтвержденная: крыса
Валидировано для: IHC, WB
Реактивность подтвержденная: крыса
Валидировано для: IHC, WB

