| UNIPROT | P29401 |
| Иммуноген | RPH019Hu01-Recombinant Transketolase (TKT) |
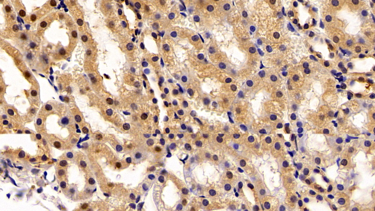
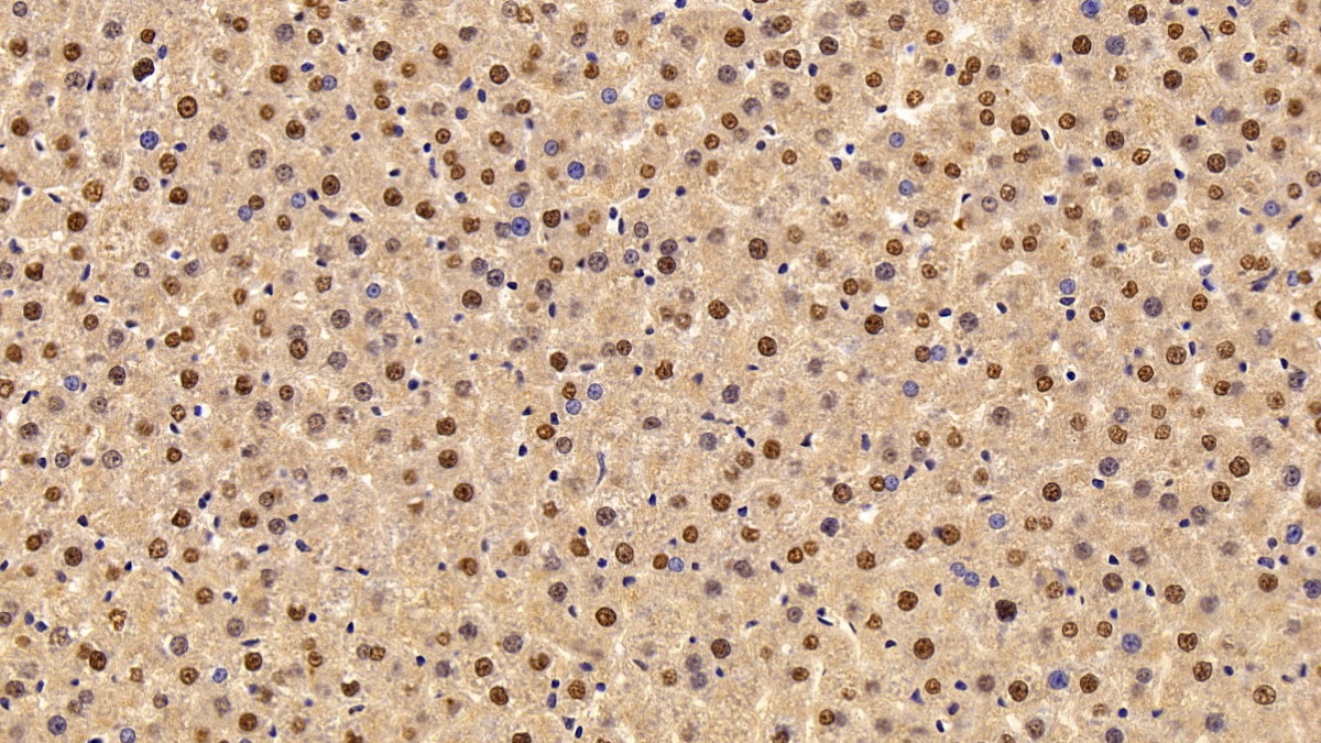
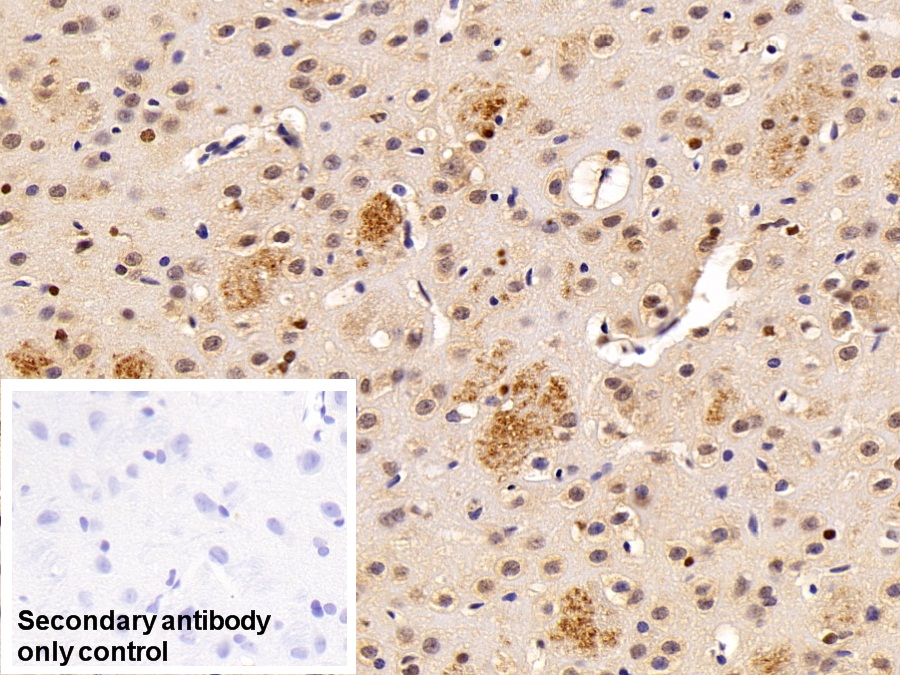
Polyclonal Antibody to Transketolase (TKT) (PAH019Hu01)
Реактивность подтвержденная:
человек
Источник (хозяин):
кролик
Валидировано для:
IHC
WB
Характеристики
Техническое описание
| Русское название | PAH019Hu01 Поликлональное антитело к TKT (человек) <Cloud-Clone,Китай> |
| Каталожный номер | PAH019Hu01 |
| Название антигена | Transketolase (TKT) |
| UNIPROT | P29401 |
| Иммуноген | RPH019Hu01-Recombinant Transketolase (TKT) |
| Английские синонимы | TK, Wernicke-Korsakoff Syndrome |
Реактивность подтвержденная Нужна другая реактивность? |
человек |
| Источник (хозяин) | кролик |
| Клональность | поликлональное |
| Рекомбинантное | нет |
| Готовое к использованию | нет |
| Концентрация | 0.5 мг/мл |
| Конъюгат | По запросу: HRP, biotin, PerCP, PE, Cy3, FITC, Cy7, Cy5.5, PE-Cy5, PE-Cy7, PerCp-Cy5.5, APC, Cy5, PE-Cy3, PE-Cy5.5, APC-Cy7, Biotin-APC, FITC-Biotin, TRITC, APC-Cy5, AF488, AF594, AF405, AF555, AF700, AF647, AF750 |
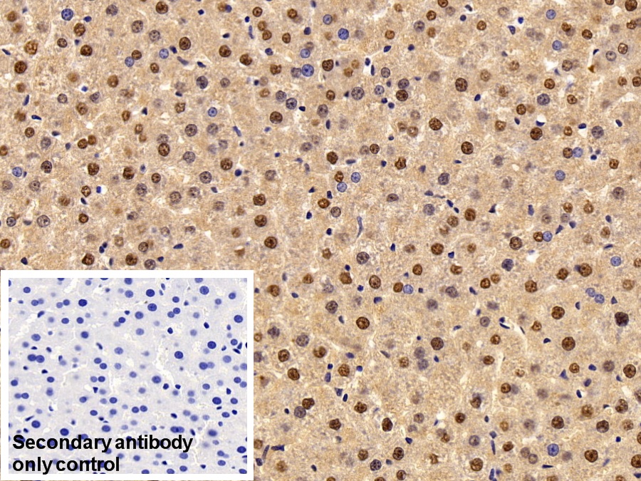
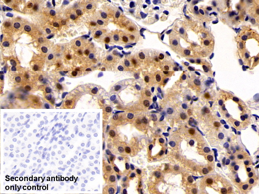
| Валидировано для | IHC WB Иммуногистохимия; Вестерн-блоттинг |
| Рекомендуемые разведения | WB: 0.01-2 мкг/мл; IHC: 5-20 мкг/мл; Оптимальное разведение определяется конечным потребителем |
| Метод очистки | Антигенспецифическая аффинная хроматография с последующей аффинной хроматографией с белком А |
| Состав буфера | 0.01M PBS, pH7.4, 0.05% Proclin-300, 50% глицерин |
| Условия доставки | термобокс с аккумуляторами холода |
| Условия хранения | Сразу после получения аликвотировать и хранить при -20ºС до 24 месяцев. Для частого использования хранить при +4ºС не более 2 недель. Избегать повторения циклов замерзания/оттаивания |
| Срок хранения | 24 месяца |
| Производитель | Cloud-Clone Corp. |
| Ссылка на страницу товара на сайте производителя | http://www.cloud-clone.com/products/PAH019Hu01.html |
|
Артикул
|
Наименование |
Производитель
|
|---|
|
Артикул
|
Наименование |
Производитель
|
|---|
|
Артикул
|
Наименование |
Производитель
|
|---|
Акции и предложения
Популярные продукты:
Canine Carbohyde sulfotransferase 6(CHST6) ELISA kit (E08C1713)
Организм: собака
Human Dentin Sialophosphoprotein ELISA kit (E01D0060)
Организм: человек
Диапазон определения: 5-100 нг/мл
Чувствительность: 1 нг/мл
Диапазон определения: 5-100 нг/мл
Чувствительность: 1 нг/мл
Recombinant Rat Layilin/LAYN Protein (PKSR030170)
Источник (хозяин): HEK293
Организм: крыса
Фрагмент: Met1-Glu224
Теги: без тега
Биоактивность: нет
Организм: крыса
Фрагмент: Met1-Glu224
Теги: без тега
Биоактивность: нет
Anti-Human LAYN/Layilin Antibody (SAA2096) (RHB96502)
Источник (хозяин): человек
Реактивность подтвержденная: человек, мышь
Валидировано для: ELISA
Реактивность подтвержденная: человек, мышь
Валидировано для: ELISA
Anti-Human LAYN/Layilin Antibody (SAA2097) (RHB96501)
Источник (хозяин): человек
Реактивность подтвержденная: человек
Валидировано для: ELISA, WB
Реактивность подтвержденная: человек
Валидировано для: ELISA, WB

