| UNIPROT | P67775 |
| Иммуноген | Синтетический пептид, соответствующий human PP2A alpha |
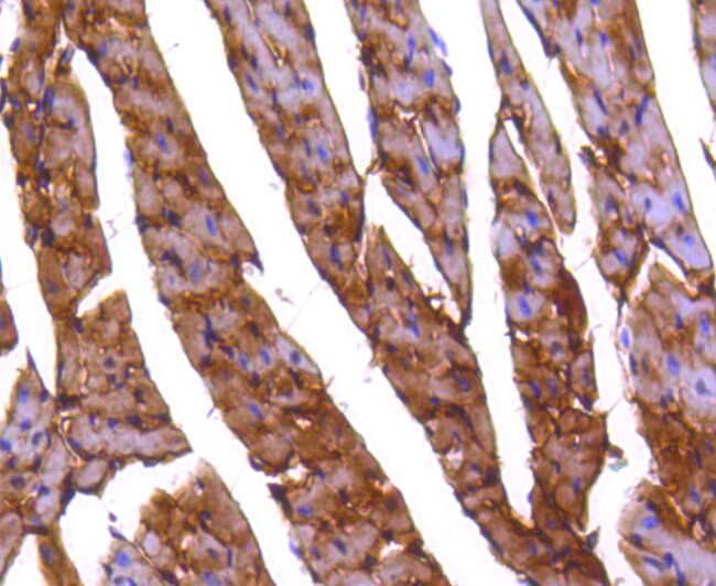
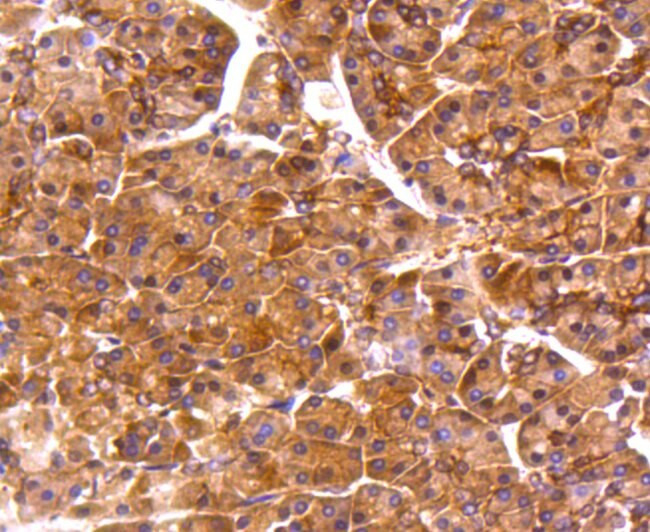
PP2A alpha/beta Recombinant Rabbit mAb (ARM1503)
Реактивность подтвержденная:
человек, мышь, крыса
Источник (хозяин):
кролик
Валидировано для:
FCM
IHC
IP
WB
IF
ICC
Характеристики
Техническое описание
| Каталожный номер | ARM1503 |
| Название антигена | Protein Phosphatase 2, Catalytic Subunit Alpha Isoform (PPP2Ca) |
| UNIPROT | P67775 |
| Иммуноген | Синтетический пептид, соответствующий human PP2A alpha |
| Английские синонимы | PP2CA, PP2Ac, RP-C, Replication protein C, Serine/threonine-protein phosphatase 2A catalytic subunit alpha isoform |
Реактивность подтвержденная Нужна другая реактивность? |
человек, мышь, крыса |
| Источник (хозяин) | кролик |
| Изотип | IgG |
| Клональность | моноклональное |
| Рекомбинантное | да |
| Готовое к использованию | нет |
| Концентрация | 1 мг/мл |
| Конъюгат | По запросу: HRP, biotin, Cy3, Cy5, APC, AF488, AF594, AF405 |
| Валидировано для | FCM IHC IP WB IF ICC Проточная цитометрия; Иммуногистохимия; Иммунопреципитация; Вестерн-блоттинг; Иммунофлуоресценция; Иммуноцитохимия |
| Рекомендуемые разведения | WB 1:500~1:2000; IHC 1:50~1:200; IF/ICC 1:50~1:200; FCM 1:50; IP 1:50 |
| Метод очистки | Антигенспецифическая аффинная хроматография |
| Состав буфера | 50 нмоль Tris-Glycine(pH 7.4); 0.15M NaCl; 40% глицерин; 0.01% азид натрия и 0.05% БСА |
| Условия доставки | термобокс с аккумуляторами холода |
| Условия хранения | Сразу после получения аликвотировать и хранить при -20ºС до 12 месяцев с момента получения. Избегать повторения циклов замерзания/оттаивания |
| Срок хранения | 12 месяцев |
| Производитель | AssayVector |
|
Артикул
|
Наименование |
Производитель
|
|---|
|
Артикул
|
Наименование |
Производитель
|
|---|
|
Артикул
|
Наименование |
Производитель
|
|---|
Акции и предложения
Популярные продукты:
Anti-Pig C3/Complement C3 Polyclonal Antibody (PPB89901)
Источник (хозяин): кролик
Реактивность подтвержденная: свинья
Валидировано для: ELISA, IHC, WB
Реактивность подтвержденная: свинья
Валидировано для: ELISA, IHC, WB
Anti-Human BPIFA2/SPLUNC2 Polyclonal Antibody (PHN92901)
Источник (хозяин): кролик
Реактивность подтвержденная: человек, мышь, крыса
Валидировано для: WB
Реактивность подтвержденная: человек, мышь, крыса
Валидировано для: WB
Monkey Dynamin 1 Like Protein ELISA kit (E09D0450)
Организм: обезьяна
Human Succinate dehydrogenase [ubiquinone] iron sulfur subunit, mitochondrial(SDHB) ELISA kit (E01S0353)
Организм: человек
Диапазон определения: 100-2500 пг/мл
Чувствительность: 1 пг/мл
Диапазон определения: 100-2500 пг/мл
Чувствительность: 1 пг/мл

