| UNIPROT | P49768 |
| Иммуноген | Синтетический пептид, соответствующий human Presenilin 1 |
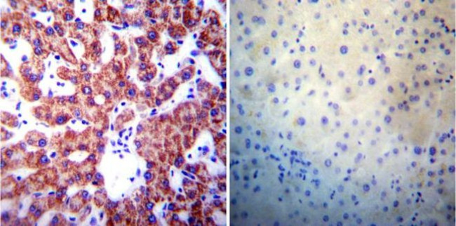
Presenilin 1 Recombinant Rabbit mAb (ARM1198)
Реактивность подтвержденная:
человек, мышь, крыса
Источник (хозяин):
кролик
Валидировано для:
FCM
IHC
IP
WB
IF
ICC
Характеристики
Техническое описание
| Каталожный номер | ARM1198 |
| Название антигена | Presenilin 1 (PSEN1) |
| UNIPROT | P49768 |
| Иммуноген | Синтетический пептид, соответствующий human Presenilin 1 |
| Английские синонимы | FAD, AD3, PS1, PSNL1, S182, Alzheimer Disease 3, Protein S182, Presenilin-1 CTF12 |
Реактивность подтвержденная Нужна другая реактивность? |
человек, мышь, крыса |
| Источник (хозяин) | кролик |
| Изотип | IgG |
| Клональность | моноклональное |
| Рекомбинантное | да |
| Готовое к использованию | нет |
| Концентрация | 1 мг/мл |
| Конъюгат | По запросу: HRP, biotin, Cy3, Cy5, APC, AF488, AF594, AF405 |
| Валидировано для | FCM IHC IP WB IF ICC Проточная цитометрия; Иммуногистохимия; Иммунопреципитация; Вестерн-блоттинг; Иммунофлуоресценция; Иммуноцитохимия |
| Рекомендуемые разведения | WB 1:500~1:2000; IHC 1:50~1:200; IF/ICC 1:50~1:200; FCM 1:50; IP 1:50 |
| Метод очистки | Антигенспецифическая аффинная хроматография |
| Состав буфера | 50 нмоль Tris-Glycine(pH 7.4); 0.15M NaCl; 40% глицерин; 0.01% азид натрия и 0.05% БСА |
| Условия доставки | термобокс с аккумуляторами холода |
| Условия хранения | Сразу после получения аликвотировать и хранить при -20ºС до 12 месяцев с момента получения. Избегать повторения циклов замерзания/оттаивания |
| Срок хранения | 12 месяцев |
| Производитель | AssayVector |
|
Артикул
|
Наименование |
Производитель
|
|---|
|
Артикул
|
Наименование |
Производитель
|
|---|
|
Артикул
|
Наименование |
Производитель
|
|---|
|
Артикул
|
Наименование |
Производитель
|
|---|
|
Артикул
|
Наименование |
Производитель
|
|---|
Акции и предложения
Популярные продукты:
Anti-Influenza A virus (H5N1) HA/Hemagglutinin Antibody (13D4) (VVV03810)
Источник (хозяин): человек
Реактивность подтвержденная: вирусы
Валидировано для: ELISA, NEUT
Реактивность подтвержденная: вирусы
Валидировано для: ELISA, NEUT
Goat Dentin Matrix Protein 1 ELISA kit (E06D0064)
Организм: коза
Chicken Proteoglycan 4 ELISA kit (E12P0163)
Организм: курица
Rat Catalase ELISA kit (E02C0086)
Организм: крыса
Диапазон определения: 2.5-50 нг/мл
Чувствительность: 0.1 нг/мл
Диапазон определения: 2.5-50 нг/мл
Чувствительность: 0.1 нг/мл
Rat Collectin 10(COLEC10) ELISA kit (E02C1925)
Организм: крыса
Rabbit Carnosine ELISA kit (E04C0361)
Организм: кролик

