| UNIPROT | Q8WWY3 |
| Иммуноген | Синтетический пептид, соответствующий human PRPF31 |
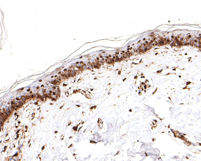
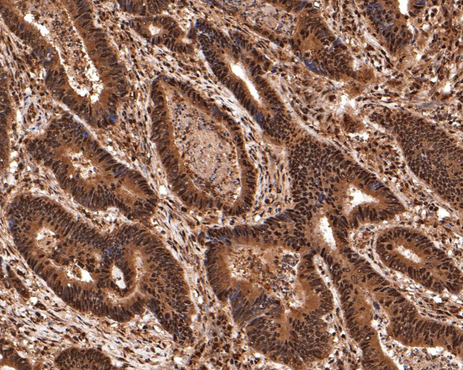
PRPF31 Recombinant Rabbit mAb (ARM1050)
Реактивность подтвержденная:
человек, крыса
Источник (хозяин):
кролик
Валидировано для:
FCM
WB
IF
ICC
Характеристики
Техническое описание
| Каталожный номер | ARM1050 |
| Название антигена | Pre-mRNA Processing Factor 31 (PRPF31) |
| UNIPROT | Q8WWY3 |
| Иммуноген | Синтетический пептид, соответствующий human PRPF31 |
| Английские синонимы | PRP31, RP11, SNRNP61, U4/U6 small nuclear ribonucleoprotein Prp31, Serologically defined breast cancer antigen NY-BR-99, U4/U6 snRNP 61 kDa protein |
Реактивность подтвержденная Нужна другая реактивность? |
человек, крыса |
| Источник (хозяин) | кролик |
| Изотип | IgG |
| Клональность | моноклональное |
| Рекомбинантное | да |
| Готовое к использованию | нет |
| Концентрация | 1 мг/мл |
| Конъюгат | По запросу: HRP, biotin, Cy3, Cy5, APC, AF488, AF594, AF405 |
| Валидировано для | FCM WB IF ICC Проточная цитометрия; Вестерн-блоттинг; Иммунофлуоресценция; Иммуноцитохимия |
| Рекомендуемые разведения | WB 1:500~1:2000; IF/ICC 1:50~1:200; FCM 1:50 |
| Метод очистки | Антигенспецифическая аффинная хроматография |
| Состав буфера | 50 нмоль Tris-Glycine(pH 7.4); 0.15M NaCl; 40% глицерин; 0.01% азид натрия и 0.05% БСА |
| Условия доставки | термобокс с аккумуляторами холода |
| Условия хранения | Сразу после получения аликвотировать и хранить при -20ºС до 12 месяцев с момента получения. Избегать повторения циклов замерзания/оттаивания |
| Срок хранения | 12 месяцев |
| Производитель | AssayVector |
|
Артикул
|
Наименование |
Производитель
|
|---|
|
Артикул
|
Наименование |
Производитель
|
|---|
Акции и предложения
Популярные продукты:
Anti-Trefoil Factor 1 (TFF1) Polyclonal Antibody (FAB049Hu01)
Источник (хозяин): кролик
Реактивность подтвержденная: человек
Валидировано для: FCM
Реактивность подтвержденная: человек
Валидировано для: FCM
ELISA Kit DIY Materials for Trefoil Factor 1 (TFF1) (KSB049Hu01)
Организм: человек
Диапазон определения: 0.156-10 нг/мл
Чувствительность: 0.056 нг/мл
Диапазон определения: 0.156-10 нг/мл
Чувствительность: 0.056 нг/мл
Polyclonal Antibody to Interleukin 6 (IL6) (PAA079Hu02)
Источник (хозяин): кролик
Реактивность подтвержденная: человек
Валидировано для: WB
Реактивность подтвержденная: человек
Валидировано для: WB
ELISA Kit for Thromboxane A2 (TXA2) (CEB396Ge)
Организм: для всех
Диапазон определения: 12.35-1,000 пг/мл
Чувствительность: 1.15 нг/мл
Диапазон определения: 12.35-1,000 пг/мл
Чувствительность: 1.15 нг/мл
Guinea Pig Argininosuccinate lyase(ASL) ELISA kit (E05A1722)
Организм: морская свинка
Porcine Cystatin SN(CST1) ELISA kit (E07C2119)
Организм: свинья

