| UNIPROT | Q12974 |
| Иммуноген | Синтетический пептид, соответствующий human PTP4A2 во внутренней части белка |
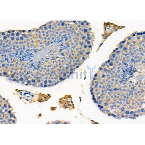
PTP4A2 Antibody (DF8076)
Реактивность подтвержденная:
человек
Источник (хозяин):
кролик
Валидировано для:
IHC
WB
IF
ICC
Характеристики
Техническое описание
| Каталожный номер | DF8076 |
| Название антигена | Protein Tyrosine Phosphatase Type IVA 2 (PTP4A2) |
| UNIPROT | Q12974 |
| Иммуноген | Синтетический пептид, соответствующий human PTP4A2 во внутренней части белка |
| Английские синонимы | HH13, HH7-2, HU-PP-1, OV-1, PRL-2, PRL2, PTP4A, PTPCAAX2, ptp-IV1a, ptp-IV1b, Protein-tyrosine phosphatase of regenerating liver 2, Protein-tyrosine phosphatase 4a2 |
Реактивность подтвержденная Нужна другая реактивность? |
человек |
| Реактивность предсказываемая | свинья, корова, лошадь, овца, кролик, собака, курица, лягушка |
| Источник (хозяин) | кролик |
| Изотип | IgG |
| Клональность | поликлональное |
| Рекомбинантное | нет |
| Готовое к использованию | нет |
| Концентрация | 1 мг/мл |
| Конъюгат | нет |
| Валидировано для | IHC WB IF ICC Иммуногистохимия; Вестерн-блоттинг; Иммунофлуоресценция; Иммуноцитохимия |
| Рекомендуемые разведения | WB: 1:1000-3000; IHC: 1:50-1:200; IF/ICC: 1:100-1:500; Оптимальное разведение определяется конечным потребителем |
| Метод очистки | Антисыворотку очищали методом аффинной хроматографии пептидов с использованием связывающей смолы SulfoLink® (Thermo Fisher Scientific) |
| Состав буфера | Rabbit IgG в PBS; pH 7.4; 150mM NaCl; 0.02% азид натрия и 50% глицерин |
| RRID | AB_2841430 |
| Условия доставки | Термобокс с аккумуляторами холода |
| Условия хранения | Хранить при -20ºС. Стабилен 12 месяцев с даты получения |
| Срок хранения | 12 месяцев |
| Производитель | Affinity |
| Ссылка на страницу товара на сайте производителя | https://www.affbiotech.com/goods-11698-DF8076-PTP4A2_Antibody.html |
|
Артикул
|
Наименование |
Производитель
|
|---|
|
Артикул
|
Наименование |
Производитель
|
|---|
Акции и предложения
Популярные продукты:
Anti-HPV18 E6/Protein E6 Antibody (R4D95) (RVV09006)
Источник (хозяин): мышь
Реактивность подтвержденная: вирусы
Валидировано для: ELISA
Реактивность подтвержденная: вирусы
Валидировано для: ELISA
Anti-Borreliella burgdorferi ospB Antibody (SAb2296) (RXX26001)
Источник (хозяин): человек
Реактивность подтвержденная: бактерии
Валидировано для: ELISA, WB
Реактивность подтвержденная: бактерии
Валидировано для: ELISA, WB
Canine Omentin ELISA kit (E08O0010)
Организм: собака
Guinea Pig Anterior gradient protein 3 homolog(AGR3) ELISA kit (E05A1327)
Организм: морская свинка
Sheep Paired Box Protein Pax-7 ELISA Kit (E14P1242)
Организм: овца

