| UNIPROT | Q14289 |
| Иммуноген | Синтетический пептид, соответствующий human PYK2 |
PYK2 Recombinant Rabbit mAb (ARM2341)
Реактивность подтвержденная:
человек, крыса
Источник (хозяин):
кролик
Валидировано для:
IHC
IP
WB
Характеристики
Техническое описание
| Каталожный номер | ARM2341 |
| Название антигена | Protein Tyrosine Kinase 2 Beta (PTK2b) |
| UNIPROT | Q14289 |
| Иммуноген | Синтетический пептид, соответствующий human PYK2 |
| Английские синонимы | PKB, CADTK, CAKB, FADK2, FAK2, PTK, PYK2, RAFTK, Calcium-dependent tyrosine kinase, Cell adhesion kinase beta, Focal adhesion kinase 2, Proline-rich tyrosine kinase 2 |
Реактивность подтвержденная Нужна другая реактивность? |
человек, крыса |
| Источник (хозяин) | кролик |
| Изотип | IgG |
| Клональность | моноклональное |
| Рекомбинантное | да |
| Готовое к использованию | нет |
| Концентрация | 1 мг/мл |
| Конъюгат | По запросу: HRP, biotin, Cy3, Cy5, APC, AF488, AF594, AF405 |
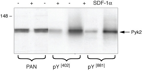
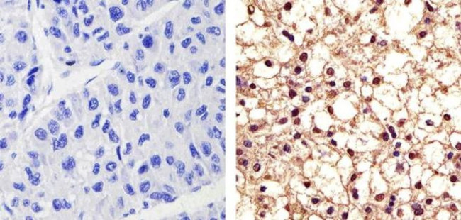
| Валидировано для | IHC IP WB Иммуногистохимия; Иммунопреципитация; Вестерн-блоттинг |
| Рекомендуемые разведения | WB 1:500~1:2000; IHC 1:50~1:200; IP 1:50 |
| Метод очистки | Антигенспецифическая аффинная хроматография |
| Состав буфера | 50 нмоль Tris-Glycine(pH 7.4); 0.15M NaCl; 40% глицерин; 0.01% азид натрия и 0.05% БСА |
| Условия доставки | термобокс с аккумуляторами холода |
| Условия хранения | Сразу после получения аликвотировать и хранить при -20ºС до 12 месяцев с момента получения. Избегать повторения циклов замерзания/оттаивания |
| Срок хранения | 12 месяцев |
| Производитель | AssayVector |
|
Артикул
|
Наименование |
Производитель
|
|---|
|
Артикул
|
Наименование |
Производитель
|
|---|
|
Артикул
|
Наименование |
Производитель
|
|---|
|
Артикул
|
Наименование |
Производитель
|
|---|
Акции и предложения
Популярные продукты:
Rabbit Aromatic L amino acid decarboxylase(DDC) ELISA kit (E04A1091)
Организм: кролик
Porcine Interleukin 1β ELISA kit (E07I0010)
Организм: свинья
Диапазон определения: 50-1000 пг/мл
Чувствительность: 1 пг/мл
Диапазон определения: 50-1000 пг/мл
Чувствительность: 1 пг/мл
PTK2B Polyclonal Antibody (E-AB-66666)
Источник (хозяин): кролик
Реактивность подтвержденная: человек, мышь, крыса
Валидировано для: IF
Реактивность подтвержденная: человек, мышь, крыса
Валидировано для: IF
PTK2B Polyclonal Antibody (E-AB-11212)
Источник (хозяин): кролик
Реактивность подтвержденная: человек, мышь, крыса
Валидировано для: IHC
Реактивность подтвержденная: человек, мышь, крыса
Валидировано для: IHC
Elab Fluor® 647 Anti-Human CD39 Antibody[A1] (E-AB-F1165M)
Источник (хозяин): мышь
Реактивность подтвержденная: человек
Валидировано для: FCM
Реактивность подтвержденная: человек
Валидировано для: FCM
PYK2 Recombinant Rabbit mAb (ARM2341)
Источник (хозяин): кролик
Реактивность подтвержденная: человек, крыса
Валидировано для: IHC, IP, WB
Реактивность подтвержденная: человек, крыса
Валидировано для: IHC, IP, WB

