| UNIPROT | P51151 |
| Иммуноген | Синтетический пептид, соответствующий human Rab9 |
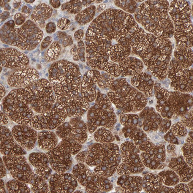
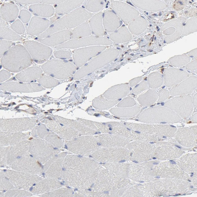
Rab9 Recombinant Rabbit mAb (ARM2716)
Реактивность подтвержденная:
человек, мышь, крыса
Источник (хозяин):
кролик
Валидировано для:
IHC
WB
IF
ICC
Характеристики
Техническое описание
| Каталожный номер | ARM2716 |
| Название антигена | RAB9A, Member RAS Oncogene Family (RAB9A) |
| UNIPROT | P51151 |
| Иммуноген | Синтетический пептид, соответствующий human Rab9 |
| Английские синонимы | RAB9, Ras-related protein Rab-9A |
Реактивность подтвержденная Нужна другая реактивность? |
человек, мышь, крыса |
| Источник (хозяин) | кролик |
| Изотип | IgG |
| Клональность | моноклональное |
| Рекомбинантное | да |
| Готовое к использованию | нет |
| Концентрация | 1 мг/мл |
| Конъюгат | По запросу: HRP, biotin, Cy3, Cy5, APC, AF488, AF594, AF405 |
| Валидировано для | IHC WB IF ICC Иммуногистохимия; Вестерн-блоттинг; Иммунофлуоресценция; Иммуноцитохимия |
| Рекомендуемые разведения | WB 1:500~1:2000; IHC 1:50~1:200; IF/ICC 1:50~1:200 |
| Метод очистки | Антигенспецифическая аффинная хроматография |
| Состав буфера | 50 нмоль Tris-Glycine(pH 7.4); 0.15M NaCl; 40% глицерин; 0.01% азид натрия и 0.05% БСА |
| Условия доставки | термобокс с аккумуляторами холода |
| Условия хранения | Сразу после получения аликвотировать и хранить при -20ºС до 12 месяцев с момента получения. Избегать повторения циклов замерзания/оттаивания |
| Срок хранения | 12 месяцев |
| Производитель | AssayVector |
|
Артикул
|
Наименование |
Производитель
|
|---|
|
Артикул
|
Наименование |
Производитель
|
|---|
|
Артикул
|
Наименование |
Производитель
|
|---|
Акции и предложения
Популярные продукты:
Anti-Human CD4 Antibody (HIT4a), PerCP (FHB95944)
Источник (хозяин): мышь
Реактивность подтвержденная: человек
Валидировано для: FCM
Реактивность подтвержденная: человек
Валидировано для: FCM
Goat Valine ELISA kit (E06V0100)
Организм: коза
Monkey Purinergic receptor P2Y, G protein coupled, 12 ELISA kit (E09P0017)
Организм: обезьяна
Guinea Pig F box only protein 24(FBXO24) ELISA kit (E05F0284)
Организм: морская свинка
Rabbit Nuclear factor kB ELISA kit (E04N0011)
Организм: кролик

