| UNIPROT | Q99623 |
| Иммуноген | Синтетический пептид, соответствующий human REA |
REA Recombinant Rabbit mAb (ARM1927)
Реактивность подтвержденная:
человек, мышь, крыса
Источник (хозяин):
кролик
Валидировано для:
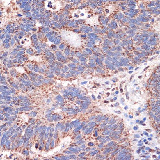
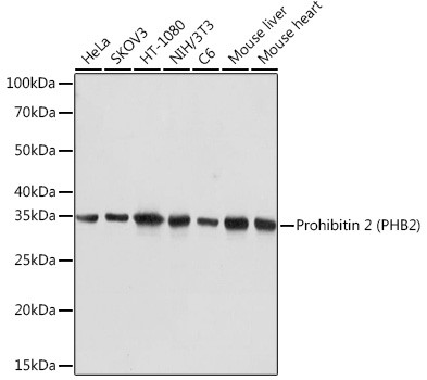
IHC
WB
IF
ICC
Характеристики
Техническое описание
| Каталожный номер | ARM1927 |
| Название антигена | Prohibitin 2 (PHB2) |
| UNIPROT | Q99623 |
| Иммуноген | Синтетический пептид, соответствующий human REA |
| Английские синонимы | BAP, p22, BCAP37, Bap37, PNAS-141, REA, Repressor Of Estrogen Receptor Activity, D-prohibitin, B-cell receptor-associated protein BAP37 |
Реактивность подтвержденная Нужна другая реактивность? |
человек, мышь, крыса |
| Источник (хозяин) | кролик |
| Изотип | IgG |
| Клональность | моноклональное |
| Рекомбинантное | да |
| Готовое к использованию | нет |
| Концентрация | 1 мг/мл |
| Конъюгат | По запросу: HRP, biotin, Cy3, Cy5, APC, AF488, AF594, AF405 |
| Валидировано для | IHC WB IF ICC Иммуногистохимия; Вестерн-блоттинг; Иммунофлуоресценция; Иммуноцитохимия |
| Рекомендуемые разведения | WB 1:500~1:2000; IHC 1:50~1:200; IF/ICC 1:50~1:200 |
| Метод очистки | Антигенспецифическая аффинная хроматография |
| Состав буфера | 50 нмоль Tris-Glycine(pH 7.4); 0.15M NaCl; 40% глицерин; 0.01% азид натрия и 0.05% БСА |
| Условия доставки | термобокс с аккумуляторами холода |
| Условия хранения | Сразу после получения аликвотировать и хранить при -20ºС до 12 месяцев с момента получения. Избегать повторения циклов замерзания/оттаивания |
| Срок хранения | 12 месяцев |
| Производитель | AssayVector |
|
Артикул
|
Наименование |
Производитель
|
|---|
|
Артикул
|
Наименование |
Производитель
|
|---|
Акции и предложения
Популярные продукты:
Hydroxyl Free Radical Scavenging Capacity Colorimetric Assay Kit (Fenton Method) (E-BC-K042-M)
Организм: для всех
Диапазон определения: 1.46 Ед/мл
Чувствительность: 1.46-82.89 Ед/мл
Диапазон определения: 1.46 Ед/мл
Чувствительность: 1.46-82.89 Ед/мл
Polyclonal Antibody to Synaptophysin (SYP) (PAA425Hu02)
Источник (хозяин): кролик
Реактивность подтвержденная: человек
Валидировано для: WB
Реактивность подтвержденная: человек
Валидировано для: WB
Chicken Integrin Linked Kinase 1 ELISA kit (E12I0393)
Организм: курица
Canine Nitric oxide synthase ELISA kit (E08N0092)
Организм: собака

