| UNIPROT | Q01201 |
| Иммуноген | Синтетический пептид, соответствующий human Rel B |
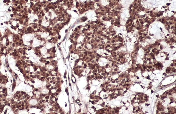
Rel B Recombinant Rabbit mAb (ARM2527)
Реактивность подтвержденная:
человек, мышь, крыса
Источник (хозяин):
кролик
Валидировано для:
FCM
IHC
IP
WB
IF
ICC
Характеристики
Техническое описание
| Каталожный номер | ARM2527 |
| Название антигена | V-Rel Reticuloendotheliosis Viral Oncogene Homolog B (RELB) |
| UNIPROT | Q01201 |
| Иммуноген | Синтетический пептид, соответствующий human Rel B |
| Английские синонимы | REL-B, I-REL, Transcription Factor RelB, Nuclear Factor Of Kappa Light Polypeptide Gene Enhancer In B-Cells 3 |
Реактивность подтвержденная Нужна другая реактивность? |
человек, мышь, крыса |
| Источник (хозяин) | кролик |
| Изотип | IgG |
| Клональность | моноклональное |
| Рекомбинантное | да |
| Готовое к использованию | нет |
| Концентрация | 1 мг/мл |
| Конъюгат | По запросу: HRP, biotin, Cy3, Cy5, APC, AF488, AF594, AF405 |
| Валидировано для | FCM IHC IP WB IF ICC Проточная цитометрия; Иммуногистохимия; Иммунопреципитация; Вестерн-блоттинг; Иммунофлуоресценция; Иммуноцитохимия |
| Рекомендуемые разведения | WB 1:500~1:2000; IHC 1:50~1:200; IF/ICC 1:50~1:200; FCM 1:50; IP 1:50 |
| Метод очистки | Антигенспецифическая аффинная хроматография |
| Состав буфера | 50 нмоль Tris-Glycine(pH 7.4); 0.15M NaCl; 40% глицерин; 0.01% азид натрия и 0.05% БСА |
| Условия доставки | термобокс с аккумуляторами холода |
| Условия хранения | Сразу после получения аликвотировать и хранить при -20ºС до 12 месяцев с момента получения. Избегать повторения циклов замерзания/оттаивания |
| Срок хранения | 12 месяцев |
| Производитель | AssayVector |
|
Артикул
|
Наименование |
Производитель
|
|---|
|
Артикул
|
Наименование |
Производитель
|
|---|
|
Артикул
|
Наименование |
Производитель
|
|---|
|
Артикул
|
Наименование |
Производитель
|
|---|
|
Артикул
|
Наименование |
Производитель
|
|---|
Акции и предложения
Популярные продукты:
ELISA Kit DIY Materials for Orexin (OX) (KSA346Mu01)
Организм: мышь
Диапазон определения: 6.17-500 пг/мл
Чувствительность: 2.13 пг/мл
Диапазон определения: 6.17-500 пг/мл
Чувствительность: 2.13 пг/мл
ELISA Kit DIY Materials for B-Raf Proto Oncogene Serine/Threonine Protein Kinase (BRAF) (KSG347Hu01)
Организм: человек
Диапазон определения: 0.312-20 нг/мл
Чувствительность: 0.119 нг/мл
Диапазон определения: 0.312-20 нг/мл
Чувствительность: 0.119 нг/мл
ELISA Kit DIY Materials for Pregnancy Associated Plasma Protein A (PAPPA) (KSA800Hu01)
Организм: человек
Диапазон определения: 31.2-2000 пг/мл
Чувствительность: 11.5 пг/мл
Диапазон определения: 31.2-2000 пг/мл
Чувствительность: 11.5 пг/мл
Polyclonal Antibody to Copeptin (CPP) (PAA365Hu02)
Источник (хозяин): кролик
Реактивность подтвержденная: человек
Валидировано для: WB
Реактивность подтвержденная: человек
Валидировано для: WB
Monoclonal Antibody to REV1 Homolog (REV1) (MAM132Hu25)
Источник (хозяин): мышь
Реактивность подтвержденная: человек
Валидировано для: ICC, IF
Реактивность подтвержденная: человек
Валидировано для: ICC, IF
Rat Calsenilin(KCNIP3) ELISA kit (E02C2313)
Организм: крыса

