| UNIPROT | Q13546 |
| Иммуноген | Рекомбинантный белок human RIP |
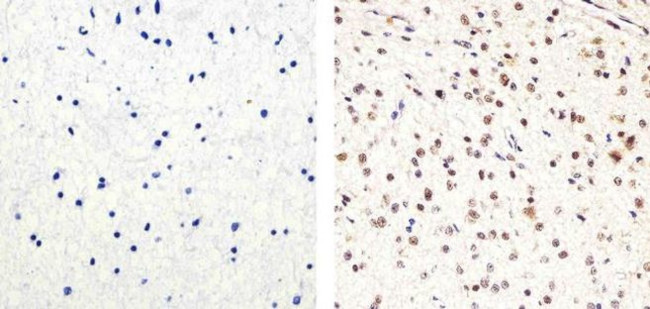
RIP Recombinant Rabbit mAb (ARM2560)
Реактивность подтвержденная:
человек
Источник (хозяин):
кролик
Валидировано для:
FCM
WB
Характеристики
Техническое описание
| Каталожный номер | ARM2560 |
| Название антигена | Receptor Interacting Serine Threonine Kinase 1 (RIPK1) |
| UNIPROT | Q13546 |
| Иммуноген | Рекомбинантный белок human RIP |
| Английские синонимы | RIP, Receptor-Interacting Protein, Cell death protein RIP, Serine/threonine-protein kinase RIP |
Реактивность подтвержденная Нужна другая реактивность? |
человек |
| Источник (хозяин) | кролик |
| Изотип | IgG |
| Клональность | моноклональное |
| Рекомбинантное | да |
| Готовое к использованию | нет |
| Концентрация | 1 мг/мл |
| Конъюгат | По запросу: HRP, biotin, Cy3, Cy5, APC, AF488, AF594, AF405 |
| Валидировано для | FCM WB Проточная цитометрия; Вестерн-блоттинг |
| Рекомендуемые разведения | WB 1:500~1:2000; FCM 1:50 |
| Метод очистки | Антигенспецифическая аффинная хроматография |
| Состав буфера | 50 нмоль Tris-Glycine(pH 7.4); 0.15M NaCl; 40% глицерин; 0.01% азид натрия и 0.05% БСА |
| Условия доставки | термобокс с аккумуляторами холода |
| Условия хранения | Сразу после получения аликвотировать и хранить при -20ºС до 12 месяцев с момента получения. Избегать повторения циклов замерзания/оттаивания |
| Срок хранения | 12 месяцев |
| Производитель | AssayVector |
|
Артикул
|
Наименование |
Производитель
|
|---|
|
Артикул
|
Наименование |
Производитель
|
|---|
|
Артикул
|
Наименование |
Производитель
|
|---|
|
Артикул
|
Наименование |
Производитель
|
|---|
|
Артикул
|
Наименование |
Производитель
|
|---|
Акции и предложения
Популярные продукты:
UNG Mouse Monoclonal Antibody (BF9603)
Источник (хозяин): мышь
Реактивность подтвержденная: человек, крыса
Валидировано для: WB
Реактивность подтвержденная: человек, крыса
Валидировано для: WB
ELISA Kit DIY Materials for Secernin 1 (SCRN1) (KSC836Hu01)
Организм: человек
Диапазон определения: 0.312-20 нг/мл
Чувствительность: 0.124 нг/мл
Диапазон определения: 0.312-20 нг/мл
Чувствительность: 0.124 нг/мл
ELISA Kit DIY Materials for Adenosine Monophosphate Deaminase 2 (AMPD2) (KSG009Hu01)
Организм: человек
Диапазон определения: 125-8000 пг/мл
Чувствительность: 49 пг/мл
Диапазон определения: 125-8000 пг/мл
Чувствительность: 49 пг/мл
ELISA Kit DIY Materials for Lipase, Monoacylglycerol (MGL) (KSD223Hu01)
Организм: человек
Диапазон определения: 0.156-10 нг/мл
Чувствительность: 0.059 нг/мл
Диапазон определения: 0.156-10 нг/мл
Чувствительность: 0.059 нг/мл
ELISA Kit DIY Materials for Uracil DNA Glycosylase (UNG) (KSG917Hu01)
Организм: человек
Диапазон определения: 0.156-10 нг/мл
Чувствительность: 0.055 нг/мл
Диапазон определения: 0.156-10 нг/мл
Чувствительность: 0.055 нг/мл
ELISA Kit DIY Materials for Interleukin 1 Alpha (IL1a) (KSA071Mu01)
Организм: мышь
Диапазон определения: 7.8-500 пг/мл
Чувствительность: 3.2 пг/мл
Диапазон определения: 7.8-500 пг/мл
Чувствительность: 3.2 пг/мл

