| UNIPROT | P47985 |
| Иммуноген | Синтетический пептид, соответствующий human RISP |
RISP Recombinant Rabbit mAb (ARM1993)
Реактивность подтвержденная:
человек, мышь, крыса
Источник (хозяин):
кролик
Валидировано для:
IHC
IP
WB
IF
ICC
Характеристики
Техническое описание
| Каталожный номер | ARM1993 |
| Название антигена | Ubiquinol Cytochrome C Reductase, Rieske Iron Sulfur Polypeptide 1 (UQCRFS1) |
| UNIPROT | P47985 |
| Иммуноген | Синтетический пептид, соответствующий human RISP |
| Английские синонимы | RIS1, RIP1, UQCR5, RISP, Cytochrome b-c1 Complex Subunit 5, Rieske iron-sulfur protein, Ubiquinol-cytochrome c reductase iron-sulfur, Ubiquinol-cytochrome c reductase 8 kDa |
Реактивность подтвержденная Нужна другая реактивность? |
человек, мышь, крыса |
| Источник (хозяин) | кролик |
| Изотип | IgG |
| Клональность | моноклональное |
| Рекомбинантное | да |
| Готовое к использованию | нет |
| Концентрация | 1 мг/мл |
| Конъюгат | По запросу: HRP, biotin, Cy3, Cy5, APC, AF488, AF594, AF405 |
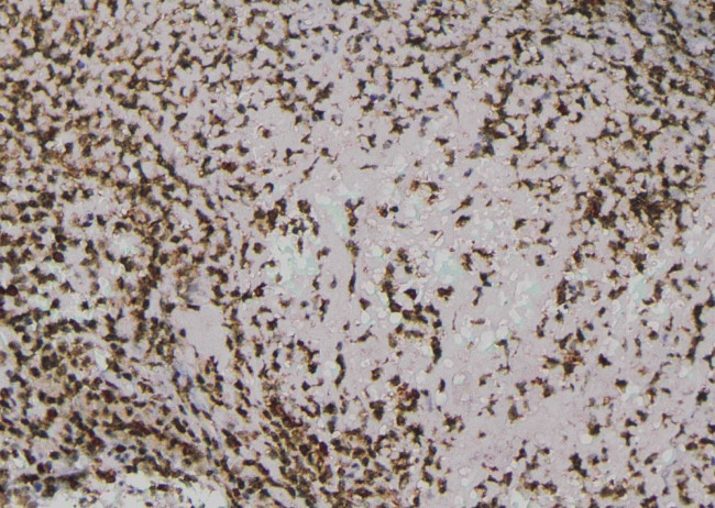
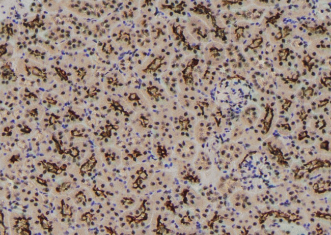
| Валидировано для | IHC IP WB IF ICC Иммуногистохимия; Иммунопреципитация; Вестерн-блоттинг; Иммунофлуоресценция; Иммуноцитохимия |
| Рекомендуемые разведения | WB 1:500~1:2000; IHC 1:50~1:200; IF/ICC 1:50~1:200; IP 1:50 |
| Метод очистки | Антигенспецифическая аффинная хроматография |
| Состав буфера | 50 нмоль Tris-Glycine(pH 7.4); 0.15M NaCl; 40% глицерин; 0.01% азид натрия и 0.05% БСА |
| Условия доставки | термобокс с аккумуляторами холода |
| Условия хранения | Сразу после получения аликвотировать и хранить при -20ºС до 12 месяцев с момента получения. Избегать повторения циклов замерзания/оттаивания |
| Срок хранения | 12 месяцев |
| Производитель | AssayVector |
|
Артикул
|
Наименование |
Производитель
|
|---|
|
Артикул
|
Наименование |
Производитель
|
|---|
Акции и предложения
Популярные продукты:
Monkey Actin related protein T2(ACTRT2) ELISA kit (E09A0996)
Организм: обезьяна
Porcine G protein coupled receptor 4(GPR4) ELISA kit (E07G0439)
Организм: свинья
Rat Ataxin 10(ATXN10) ELISA kit (E02A1767)
Организм: крыса
Guinea Pig Serum paraoxonase/arylesterase 2(PON2) ELISA kit (E05S0342)
Организм: морская свинка
Mouse Chemokine Like Factor ELISA kit (E03C0596)
Организм: мышь
Диапазон определения: 50-1000 пг/мл
Чувствительность: 1 пг/мл
Диапазон определения: 50-1000 пг/мл
Чувствительность: 1 пг/мл
Guinea Pig Adenylate cyclase type 8(ADCY8) ELISA kit (E05A1261)
Организм: морская свинка

