| UNIPROT | P15927 |
| Иммуноген | Синтетический пептид, соответствующий human RPA32/RPA2 |
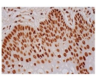
RPA32/RPA2 Recombinant Rabbit mAb (ARM1618)
Реактивность подтвержденная:
человек, крыса
Источник (хозяин):
кролик
Валидировано для:
IHC
WB
Характеристики
Техническое описание
| Каталожный номер | ARM1618 |
| Название антигена | Replication Protein A2 (RPA2) |
| UNIPROT | P15927 |
| Иммуноген | Синтетический пептид, соответствующий human RPA32/RPA2 |
| Английские синонимы | REPA2, RPA32, RP-A p34, Replication protein A 32 kDa subunit, Replication protein A 34 kDa subunit |
Реактивность подтвержденная Нужна другая реактивность? |
человек, крыса |
| Источник (хозяин) | кролик |
| Изотип | IgG |
| Клональность | моноклональное |
| Рекомбинантное | да |
| Готовое к использованию | нет |
| Концентрация | 1 мг/мл |
| Конъюгат | По запросу: HRP, biotin, Cy3, Cy5, APC, AF488, AF594, AF405 |
| Валидировано для | IHC WB Иммуногистохимия; Вестерн-блоттинг |
| Рекомендуемые разведения | WB 1:500~1:2000; IHC 1:50~1:200 |
| Метод очистки | Антигенспецифическая аффинная хроматография |
| Состав буфера | 50 нмоль Tris-Glycine(pH 7.4); 0.15M NaCl; 40% глицерин; 0.01% азид натрия и 0.05% БСА |
| Условия доставки | термобокс с аккумуляторами холода |
| Условия хранения | Сразу после получения аликвотировать и хранить при -20ºС до 12 месяцев с момента получения. Избегать повторения циклов замерзания/оттаивания |
| Срок хранения | 12 месяцев |
| Производитель | AssayVector |
|
Артикул
|
Наименование |
Производитель
|
|---|
|
Артикул
|
Наименование |
Производитель
|
|---|
|
Артикул
|
Наименование |
Производитель
|
|---|
|
Артикул
|
Наименование |
Производитель
|
|---|
Акции и предложения
Популярные продукты:
Anti-HPV52 Major capsid protein L1 Antibody (8D11) (RVV19507)
Источник (хозяин): мышь
Реактивность подтвержденная: вирусы
Валидировано для: ELISA, NEUT
Реактивность подтвержденная: вирусы
Валидировано для: ELISA, NEUT
ELISA Kit DIY Materials for Absent In Melanoma 2 (AIM2) (KSG302Hu01)
Организм: человек
Диапазон определения: 0.156-10 нг/мл
Чувствительность: 0.061 нг/мл
Диапазон определения: 0.156-10 нг/мл
Чувствительность: 0.061 нг/мл
Monoclonal Antibody to Integrin Beta 3 (ITGb3) (MAB262Hu24)
Источник (хозяин): мышь
Реактивность подтвержденная: человек
Валидировано для: WB
Реактивность подтвержденная: человек
Валидировано для: WB
Bovine Lymphocyte antigen 86 ELISA kit (E11L1200)
Организм: корова
Guinea Pig Tubulin, gamma 1 ELISA kit (E05T0948)
Организм: морская свинка

