| UNIPROT | P80511 |
| Иммуноген | Синтетический пептид, соответствующий human S100A12 во внутренней части белка |
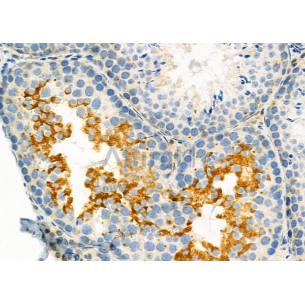
S100A12 Antibody (DF7277)
Реактивность подтвержденная:
человек, мышь
Источник (хозяин):
кролик
Валидировано для:
IHC
WB
Характеристики
Техническое описание
| Каталожный номер | DF7277 |
| Название антигена | S100 Calcium Binding Protein A12 (S100A12) |
| UNIPROT | P80511 |
| Иммуноген | Синтетический пептид, соответствующий human S100A12 во внутренней части белка |
| Английские синонимы | CGRP, P6, CAAF1, CAGC, ENRAGE, MRP6, Calgranulin C, Calcium-binding protein in amniotic fluid 1, Extracellular newly identified RAGE-binding, Migration inhibitory factor-related 6 |
Реактивность подтвержденная Нужна другая реактивность? |
человек, мышь |
| Реактивность предсказываемая | корова, лошадь, кролик, собака |
| Источник (хозяин) | кролик |
| Изотип | IgG |
| Клональность | поликлональное |
| Рекомбинантное | нет |
| Готовое к использованию | нет |
| Концентрация | 1 мг/мл |
| Конъюгат | нет |
| Валидировано для | IHC WB Иммуногистохимия; Вестерн-блоттинг |
| Рекомендуемые разведения | WB: 1:500-1:2000; IHC: 1:50-1:200; Оптимальное разведение определяется конечным потребителем |
| Метод очистки | Антисыворотку очищали методом аффинной хроматографии пептидов с использованием связывающей смолы SulfoLink® (Thermo Fisher Scientific) |
| Состав буфера | Rabbit IgG в PBS; pH 7.4; 150mM NaCl; 0.02% азид натрия и 50% глицерин |
| RRID | AB_2839216 |
| Условия доставки | Термобокс с аккумуляторами холода |
| Условия хранения | Хранить при -20ºС. Стабилен 12 месяцев с даты получения |
| Срок хранения | 12 месяцев |
| Производитель | Affinity |
| Ссылка на страницу товара на сайте производителя | https://www.affbiotech.com/goods-6071-DF7277-S100A12_Antibody.html |
|
Артикул
|
Наименование |
Производитель
|
|---|
|
Артикул
|
Наименование |
Производитель
|
|---|
|
Артикул
|
Наименование |
Производитель
|
|---|
|
Артикул
|
Наименование |
Производитель
|
|---|
Акции и предложения
Популярные продукты:
Chicken B cell lymphoma/leukemia 11A(BCL11A) ELISA kit (E12B0761)
Организм: курица
Rat B cell lymphoma/leukemia 11A(BCL11A) ELISA kit (E02B0761)
Организм: крыса
Goat Creatine Kinase, Mitochondrial 1A ELISA kit (E06C0486)
Организм: коза
KRIBIOLISA Fasinumab ELISA (KBI1328)
Организм: человек
Диапазон определения: 0 - 2000 нг/мл
Чувствительность: 15 нг/мл
Диапазон определения: 0 - 2000 нг/мл
Чувствительность: 15 нг/мл

