| UNIPROT | P48061 |
| Иммуноген | Синтетический пептид, соответствующий human SDF 1 на С-конце |
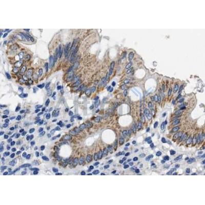
SDF 1 Antibody (AF5166)
Реактивность подтвержденная:
человек, мышь, крыса
Источник (хозяин):
кролик
Валидировано для:
IHC
WB
Характеристики
Техническое описание
| Каталожный номер | AF5166 |
| Название антигена | Stromal Cell Derived Factor 1 (SDF1) |
| UNIPROT | P48061 |
| Иммуноген | Синтетический пептид, соответствующий human SDF 1 на С-конце |
| Английские синонимы | CXCL12, PBSF, P-BSF, SCYB12, SDF1-A, SDF1-B, SDF1A, SDF1B, TLSF-A, TLSF-B, TPAR1, Pre-B Cell Growth-Stimulating Factor, Chemokine C-X-C-Motif Ligand 12 |
Реактивность подтвержденная Нужна другая реактивность? |
человек, мышь, крыса |
| Реактивность предсказываемая | свинья, корова, лошадь, овца, собака, курица, лягушка |
| Источник (хозяин) | кролик |
| Изотип | IgG |
| Клональность | поликлональное |
| Рекомбинантное | нет |
| Готовое к использованию | нет |
| Концентрация | 1 мг/мл |
| Конъюгат | нет |
| Валидировано для | IHC WB Иммуногистохимия; Вестерн-блоттинг |
| Рекомендуемые разведения | WB: 1:500-1:2000; IHC: 1:50-1:200; Оптимальное разведение определяется конечным потребителем |
| Метод очистки | Антисыворотку очищали методом аффинной хроматографии пептидов с использованием связывающей смолы SulfoLink® (Thermo Fisher Scientific) |
| Состав буфера | Rabbit IgG в PBS; pH 7.4; 150mM NaCl; 0.02% азид натрия и 50% глицерин |
| RRID | AB_2837652 |
| Условия доставки | Термобокс с аккумуляторами холода |
| Условия хранения | Хранить при -20ºС. Стабилен 12 месяцев с даты получения |
| Срок хранения | 12 месяцев |
| Производитель | Affinity |
| Ссылка на страницу товара на сайте производителя | https://www.affbiotech.com/goods-4473-AF5166-SDF_1_Antibody.html |
|
Артикул
|
Наименование |
Производитель
|
|---|
|
Артикул
|
Наименование |
Производитель
|
|---|
|
Артикул
|
Наименование |
Производитель
|
|---|
|
Артикул
|
Наименование |
Производитель
|
|---|
|
Артикул
|
Наименование |
Производитель
|
|---|
|
Артикул
|
Наименование |
Производитель
|
|---|
|
Артикул
|
Наименование |
Производитель
|
|---|
Акции и предложения
Популярные продукты:
VWF Mouse Monoclonal Antibody (BF8069)
Источник (хозяин): мышь
Реактивность подтвержденная: человек
Валидировано для: IHC
Реактивность подтвержденная: человек
Валидировано для: IHC
EGFR Mouse Monoclonal Antibody (BF8216)
Источник (хозяин): мышь
Реактивность подтвержденная: человек, мышь
Валидировано для: WB
Реактивность подтвержденная: человек, мышь
Валидировано для: WB
ELISA Kit DIY Materials for Anandamide (AEA) (KSO440Ge11)
Организм: для всех
Диапазон определения: 2.47-200 нг/мл
Чувствительность: 0.86 нг/мл
Диапазон определения: 2.47-200 нг/мл
Чувствительность: 0.86 нг/мл

