| UNIPROT | P20848 |
| Иммуноген | Синтетический пептид, соответствующий human SERPINA2 во внутренней части белка |
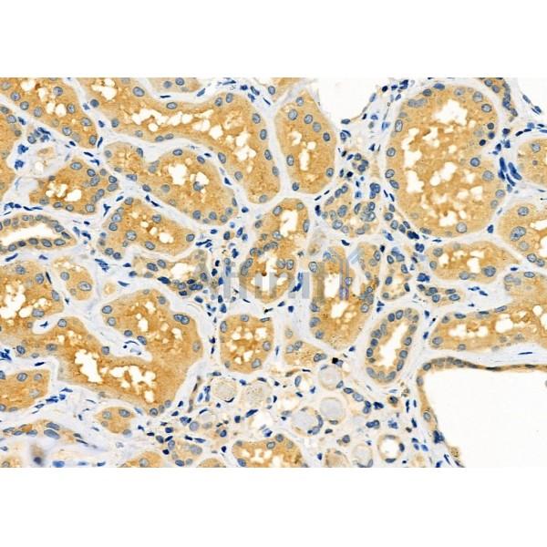
SERPINA2 Antibody (DF9193)
Реактивность подтвержденная:
человек, мышь, крыса
Источник (хозяин):
кролик
Валидировано для:
IHC
WB
Характеристики
Техническое описание
| Каталожный номер | DF9193 |
| Название антигена | Antitrypsin Related Protein (ATR) |
| UNIPROT | P20848 |
| Иммуноген | Синтетический пептид, соответствующий human SERPINA2 во внутренней части белка |
| Английские синонимы | SERPINA2, ARGS, PIL, Putative alpha-1-antitrypsin-related, Protease inhibitor 1-like, Serine(Cysteine)Proteinase Inhibitor,Clade A(Alpha-1 Antiproteinase,Antitrypsin)Member 2 |
Реактивность подтвержденная Нужна другая реактивность? |
человек, мышь, крыса |
| Источник (хозяин) | кролик |
| Изотип | IgG |
| Клональность | поликлональное |
| Рекомбинантное | нет |
| Готовое к использованию | нет |
| Концентрация | 1 мг/мл |
| Конъюгат | нет |
| Валидировано для | IHC WB Иммуногистохимия; Вестерн-блоттинг |
| Рекомендуемые разведения | WB: 1:1000-3000; IHC: 1:50-1:200; Оптимальное разведение определяется конечным потребителем |
| Метод очистки | Антисыворотку очищали методом аффинной хроматографии пептидов с использованием связывающей смолы SulfoLink® (Thermo Fisher Scientific) |
| Состав буфера | Rabbit IgG в PBS; pH 7.4; 150mM NaCl; 0.02% азид натрия и 50% глицерин |
| RRID | AB_2842389 |
| Условия доставки | Термобокс с аккумуляторами холода |
| Условия хранения | Хранить при -20ºС. Стабилен 12 месяцев с даты получения |
| Срок хранения | 12 месяцев |
| Производитель | Affinity |
| Ссылка на страницу товара на сайте производителя | https://www.affbiotech.com/goods-12666-DF9193-SERPINA2_Antibody.html |
|
Артикул
|
Наименование |
Производитель
|
|---|
Акции и предложения
Популярные продукты:
Anti-Cytokeratin 7 (CK7) Polyclonal Antibody (FAA556Ra03)
Источник (хозяин): кролик
Реактивность подтвержденная: крыса
Валидировано для: FCM
Реактивность подтвержденная: крыса
Валидировано для: FCM
Rabbit Arylsulfatase D(ARSD) ELISA kit (E04A1685)
Организм: кролик
Rabbit Immunoglobulin Transcription Factor 1 ELISA kit (E04I0762)
Организм: кролик
EMC8 Polyclonal Antibody (E-AB-14013)
Источник (хозяин): кролик
Реактивность подтвержденная: человек, мышь, крыса
Валидировано для: IHC, WB
Реактивность подтвержденная: человек, мышь, крыса
Валидировано для: IHC, WB
ELISA Kit for Double C2 Like Domains Alpha (DOC2a) (SEG173Hu)
Организм: человек
Диапазон определения: 0.156-10 нг/мл
Чувствительность: 5.9 пг/мл
Диапазон определения: 0.156-10 нг/мл
Чувствительность: 5.9 пг/мл
Rabbit Arylacetamide deacetylase(AADAC) ELISA kit (E04A1115)
Организм: кролик

