| UNIPROT | Q01105 |
| Иммуноген | Синтетический пептид, соответствующий human SET |
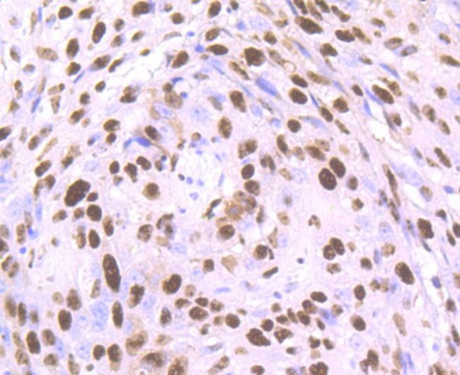
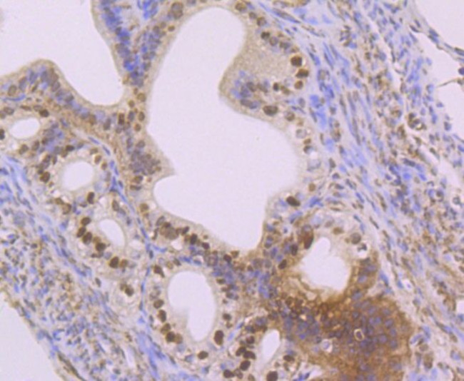
SET Recombinant Rabbit mAb (ARM2685)
Реактивность подтвержденная:
человек, мышь, крыса
Источник (хозяин):
кролик
Валидировано для:
FCM
IHC
IP
WB
IF
ICC
Характеристики
Техническое описание
| Каталожный номер | ARM2685 |
| Название антигена | SET Nuclear Oncogene (SET) |
| UNIPROT | Q01105 |
| Иммуноген | Синтетический пептид, соответствующий human SET |
| Английские синонимы | PHAPII, 2PP2A, IPP2A2, Protein Phosphatase Type 2A Inhibitor, Template-Activating Factor-I,Chromatin Remodelling Factor, Myeloid Leukemia-Associated SET Translocation |
Реактивность подтвержденная Нужна другая реактивность? |
человек, мышь, крыса |
| Источник (хозяин) | кролик |
| Изотип | IgG |
| Клональность | моноклональное |
| Рекомбинантное | да |
| Готовое к использованию | нет |
| Концентрация | 1 мг/мл |
| Конъюгат | По запросу: HRP, biotin, Cy3, Cy5, APC, AF488, AF594, AF405 |
| Валидировано для | FCM IHC IP WB IF ICC Проточная цитометрия; Иммуногистохимия; Иммунопреципитация; Вестерн-блоттинг; Иммунофлуоресценция; Иммуноцитохимия |
| Рекомендуемые разведения | WB 1:500~1:2000; IHC 1:50~1:200; IF/ICC 1:50~1:200; FCM 1:50; IP 1:50 |
| Метод очистки | Антигенспецифическая аффинная хроматография |
| Состав буфера | 50 нмоль Tris-Glycine(pH 7.4); 0.15M NaCl; 40% глицерин; 0.01% азид натрия и 0.05% БСА |
| Условия доставки | термобокс с аккумуляторами холода |
| Условия хранения | Сразу после получения аликвотировать и хранить при -20ºС до 12 месяцев с момента получения. Избегать повторения циклов замерзания/оттаивания |
| Срок хранения | 12 месяцев |
| Производитель | AssayVector |
|
Артикул
|
Наименование |
Производитель
|
|---|
|
Артикул
|
Наименование |
Производитель
|
|---|
|
Артикул
|
Наименование |
Производитель
|
|---|
Акции и предложения
Популярные продукты:
ELISA Kit for Fibroblast Growth Factor 23 (FGF23) (CEA746Ra)
Организм: крыса
Диапазон определения: 62.5-1000 пг/мл
Чувствительность: 21.6 пг/мл
Диапазон определения: 62.5-1000 пг/мл
Чувствительность: 21.6 пг/мл
Guinea Pig 6 phosphofructo 2 kinase/fructose 2,6 biphosphatase 3(PFKFB3) ELISA kit (E05P0902)
Организм: морская свинка

