| UNIPROT | Q08170 |
| Иммуноген | Синтетический пептид, соответствующий human SFRS4 во внутренней части белка |
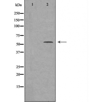
SFRS4 Antibody (DF3245)
Реактивность подтвержденная:
человек, мышь
Источник (хозяин):
кролик
Валидировано для:
WB
IF
ICC
Характеристики
Техническое описание
| Каталожный номер | DF3245 |
| Название антигена | Serine/Arginine Rich Splicing Factor 4 (SRSF4) |
| UNIPROT | Q08170 |
| Иммуноген | Синтетический пептид, соответствующий human SFRS4 во внутренней части белка |
| Английские синонимы | SFRS4, SRP75, SRP001LB, Pre-mRNA-splicing factor SRP75, Splicing factor, arginine/serine-rich 4 |
Реактивность подтвержденная Нужна другая реактивность? |
человек, мышь |
| Реактивность предсказываемая | рыба, корова, лошадь, овца, кролик, собака |
| Источник (хозяин) | кролик |
| Изотип | IgG |
| Клональность | поликлональное |
| Рекомбинантное | нет |
| Готовое к использованию | нет |
| Концентрация | 1 мг/мл |
| Конъюгат | нет |
| Валидировано для | WB IF ICC Вестерн-блоттинг; Иммунофлуоресценция; Иммуноцитохимия |
| Рекомендуемые разведения | WB: 1:500-1:1000; IF/ICC: 1:100-1:500; Оптимальное разведение определяется конечным потребителем |
| Метод очистки | Антисыворотку очищали методом аффинной хроматографии пептидов с использованием связывающей смолы SulfoLink® (Thermo Fisher Scientific) |
| Состав буфера | Rabbit IgG в PBS; pH 7.4; 150mM NaCl; 0.02% азид натрия и 50% глицерин |
| RRID | AB_2835625 |
| Условия доставки | Термобокс с аккумуляторами холода |
| Условия хранения | Хранить при -20ºС. Стабилен 12 месяцев с даты получения |
| Срок хранения | 12 месяцев |
| Производитель | Affinity |
| Ссылка на страницу товара на сайте производителя | https://www.affbiotech.com/goods-2394-DF3245-SFRS4_Antibody.html |
|
Артикул
|
Наименование |
Производитель
|
|---|
Акции и предложения
Популярные продукты:
Bovine Anti centriole and centrosome antibody ELISA kit (E11A0696)
Организм: корова
Goat Thymus Expressed Chemokine ELISA kit (E06T0114)
Организм: коза
Rat Prostaglandin E Synthase, Microsomal ELISA kit (E02P0155)
Организм: крыса
Диапазон определения: 0.5-10 нг/мл
Чувствительность: 0.1 нг/мл
Диапазон определения: 0.5-10 нг/мл
Чувствительность: 0.1 нг/мл

