| UNIPROT | P14410 |
| Иммуноген | Синтетический пептид, соответствующий human SI |
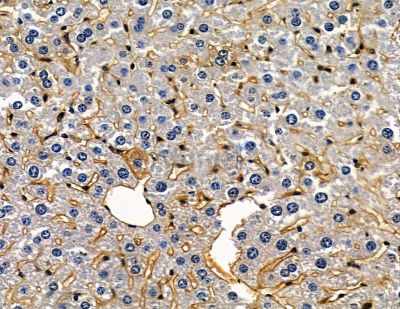
SI Antibody (DF15904)
Реактивность подтвержденная:
человек
Источник (хозяин):
кролик
Валидировано для:
IHC
Характеристики
Техническое описание
| Каталожный номер | DF15904 |
| Название антигена | Sucrase Isomaltase (SI) |
| UNIPROT | P14410 |
| Иммуноген | Синтетический пептид, соответствующий human SI |
| Английские синонимы | Oligosaccharide Alpha-1,6-Glucosidase |
Реактивность подтвержденная Нужна другая реактивность? |
человек |
| Источник (хозяин) | кролик |
| Изотип | IgG |
| Клональность | поликлональное |
| Рекомбинантное | нет |
| Готовое к использованию | нет |
| Концентрация | 1 мг/мл |
| Конъюгат | нет |
| Валидировано для | IHC Иммуногистохимия |
| Рекомендуемые разведения | IHC: 1:50-1:200; Оптимальное разведение определяется конечным потребителем |
| Метод очистки | Антисыворотку очищали методом аффинной хроматографии пептидов с использованием связывающей смолы SulfoLink® (Thermo Fisher Scientific) |
| Состав буфера | Rabbit IgG в PBS; pH 7.4; 150mM NaCl; 0.02% азид натрия и 50% глицерин |
| Условия доставки | Термобокс с аккумуляторами холода |
| Условия хранения | Хранить при -20ºС. Стабилен 12 месяцев с даты получения |
| Срок хранения | 12 месяцев |
| Производитель | Affinity |
| Ссылка на страницу товара на сайте производителя | https://www.affbiotech.com/goods-20348-DF15904-SI_Antibody.html |
|
Артикул
|
Наименование |
Производитель
|
|---|
Акции и предложения
Популярные продукты:
ELISA Kit DIY Materials for TNFRSF1A Associated Via Death Domain Protein (TRADD) (KSM390Hu01)
Организм: человек
Диапазон определения: 0.156-10 нг/мл
Чувствительность: 0.055 нг/мл
Диапазон определения: 0.156-10 нг/мл
Чувствительность: 0.055 нг/мл
Rabbit 3 ketoacyl CoA thiolase, mitochondrial ELISA kit (E04A2144)
Организм: кролик
Guinea Pig A Kinase Anchor Protein 1 ELISA kit (E05A0541)
Организм: морская свинка
Rat Granulysin ELISA kit (E02G0638)
Организм: крыса
Recombinant SARS-CoV-2 Spike RBD(E484K, K417T, N501Y)(His Tag) (PKSV030317)
Источник (хозяин): клетки млекопитающих
Организм: вирусы
Теги: C-His
Биоактивность: нет
Организм: вирусы
Теги: C-His
Биоактивность: нет
Anti-Human USP24 Polyclonal Antibody (PHK77501)
Источник (хозяин): кролик
Реактивность подтвержденная: человек
Валидировано для: ELISA, IHC, WB
Реактивность подтвержденная: человек
Валидировано для: ELISA, IHC, WB

