| UNIPROT | Q9BZZ2 |
| Иммуноген | Синтетический пептид, соответствующий human Sialoadhesin во внутренней части белка |
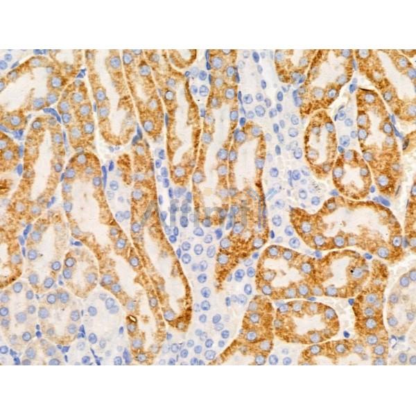
Sialoadhesin Antibody (DF13669)
Реактивность подтвержденная:
человек, мышь
Источник (хозяин):
кролик
Валидировано для:
IHC
WB
IF
ICC
Характеристики
Техническое описание
| Каталожный номер | DF13669 |
| Название антигена | Sialic Acid Binding Ig Like Lectin 1 (SIGLEC1) |
| UNIPROT | Q9BZZ2 |
| Иммуноген | Синтетический пептид, соответствующий human Sialoadhesin во внутренней части белка |
| Английские синонимы | CD169, CD 169, CD-169, SN, Sialoadhesin |
Реактивность подтвержденная Нужна другая реактивность? |
человек, мышь |
| Реактивность предсказываемая | свинья, овца |
| Источник (хозяин) | кролик |
| Изотип | IgG |
| Клональность | поликлональное |
| Рекомбинантное | нет |
| Готовое к использованию | нет |
| Концентрация | 1 мг/мл |
| Конъюгат | нет |
| Валидировано для | IHC WB IF ICC Иммуногистохимия; Вестерн-блоттинг; Иммунофлуоресценция; Иммуноцитохимия |
| Рекомендуемые разведения | WB: 1:500-1:2000; IF/ICC: 1:100-1:500; IHC: 1:50-1:200; Оптимальное разведение определяется конечным потребителем |
| Метод очистки | Антисыворотку очищали методом аффинной хроматографии пептидов с использованием связывающей смолы SulfoLink® (Thermo Fisher Scientific) |
| Состав буфера | Rabbit IgG в PBS; pH 7.4; 150mM NaCl; 0.02% азид натрия и 50% глицерин |
| RRID | AB_2846688 |
| Условия доставки | Термобокс с аккумуляторами холода |
| Условия хранения | Хранить при -20ºС. Стабилен 12 месяцев с даты получения |
| Срок хранения | 12 месяцев |
| Производитель | Affinity |
| Ссылка на страницу товара на сайте производителя | https://www.affbiotech.com/goods-17047-DF13669-Sialoadhesin_Antibody.html |
|
Артикул
|
Наименование |
Производитель
|
|---|
|
Артикул
|
Наименование |
Производитель
|
|---|
Акции и предложения
Популярные продукты:
Mouse Alpha B Crystallin ELISA kit (E03C0343)
Организм: мышь
Porcine Transcription factor SOX-3(SOX3) ELISA kit (E07T0648)
Организм: свинья
Recombinant Human PLOD1 Protein, N-GST (YHF95901)
Источник (хозяин): E.coli
Организм: человек
Фрагмент: Gln636-Pro727
Теги: N-GST
Биоактивность: нет
Организм: человек
Фрагмент: Gln636-Pro727
Теги: N-GST
Биоактивность: нет
Recombinant Human CNN1 Protein, N-His (YHE89901)
Источник (хозяин): E.coli
Организм: человек
Фрагмент: Met1-Tyr268
Теги: N-His
Биоактивность: нет
Организм: человек
Фрагмент: Met1-Tyr268
Теги: N-His
Биоактивность: нет
PTPRJ Polyclonal Antibody (E-AB-65741)
Источник (хозяин): кролик
Реактивность подтвержденная: человек, мышь
Валидировано для: WB
Реактивность подтвержденная: человек, мышь
Валидировано для: WB
CYB5R3 Polyclonal Antibody (E-AB-19777)
Источник (хозяин): кролик
Реактивность подтвержденная: человек, мышь, крыса
Валидировано для: IHC
Реактивность подтвержденная: человек, мышь, крыса
Валидировано для: IHC

