| UNIPROT | O95429 |
| Иммуноген | Синтетический пептид, соответствующий human Silencer Death Domain |
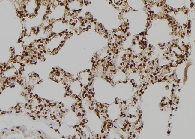
Silencer of Death Domain Recombinant Rabbit mAb (ARM2570)
Реактивность подтвержденная:
человек
Источник (хозяин):
кролик
Валидировано для:
IHC
WB
IF
ICC
Характеристики
Техническое описание
| Каталожный номер | ARM2570 |
| Название антигена | Bcl2 Associated Athanogene 4 (BAG4) |
| UNIPROT | O95429 |
| Иммуноген | Синтетический пептид, соответствующий human Silencer Death Domain |
| Английские синонимы | SODD, Silencer Of Death Domains, BAG family molecular chaperone regulator 4 |
Реактивность подтвержденная Нужна другая реактивность? |
человек |
| Источник (хозяин) | кролик |
| Изотип | IgG |
| Клональность | моноклональное |
| Рекомбинантное | да |
| Готовое к использованию | нет |
| Концентрация | 1 мг/мл |
| Конъюгат | По запросу: HRP, biotin, Cy3, Cy5, APC, AF488, AF594, AF405 |
| Валидировано для | IHC WB IF ICC Иммуногистохимия; Вестерн-блоттинг; Иммунофлуоресценция; Иммуноцитохимия |
| Рекомендуемые разведения | WB 1:500~1:2000; IHC 1:50~1:200; IF/ICC 1:50~1:200 |
| Метод очистки | Антигенспецифическая аффинная хроматография |
| Состав буфера | 50 нмоль Tris-Glycine(pH 7.4); 0.15M NaCl; 40% глицерин; 0.01% азид натрия и 0.05% БСА |
| Условия доставки | термобокс с аккумуляторами холода |
| Условия хранения | Сразу после получения аликвотировать и хранить при -20ºС до 12 месяцев с момента получения. Избегать повторения циклов замерзания/оттаивания |
| Срок хранения | 12 месяцев |
| Производитель | AssayVector |
|
Артикул
|
Наименование |
Производитель
|
|---|
|
Артикул
|
Наименование |
Производитель
|
|---|
|
Артикул
|
Наименование |
Производитель
|
|---|
Акции и предложения
Популярные продукты:
USP21 Mouse Monoclonal Antibody (BF8692)
Источник (хозяин): мышь
Реактивность подтвержденная: человек, мышь
Валидировано для: WB
Реактивность подтвержденная: человек, мышь
Валидировано для: WB
GRP78 Mouse monoclonal Antibody (BF8024)
Источник (хозяин): мышь
Реактивность подтвержденная: человек
Валидировано для: ICC, IF, IHC, WB
Реактивность подтвержденная: человек
Валидировано для: ICC, IF, IHC, WB
Rabbit Collectin 10(COLEC10) ELISA kit (E04C1925)
Организм: кролик
Porcine Involucrin(IVL) ELISA kit (E07I0449)
Организм: свинья
Monkey CC Chemokine Receptor 2,CCR2 ELISA kit (E09C1454)
Организм: обезьяна

